Suppr超能文献

内体分选转运复合体(ESCRT)途径和多囊泡体的上调加速了与神经退行性变相关蛋白质的降解。

Upregulation of the ESCRT pathway and multivesicular bodies accelerates degradation of proteins associated with neurodegeneration.

作者信息

Benyair Ron, Giridharan Sai Srinivas Panapakkam, Rivero-Ríos Pilar, Hasegawa Junya, Bristow Emily, Eskelinen Eeva-Liisa, Shmueli Merav D, Fishbain-Yoskovitz Vered, Merbl Yifat, Sharkey Lisa M, Paulson Henry L, Hanson Phyllis I, Patnaik Samarjit, Al-Ramahi Ismael, Botas Juan, Marugan Juan, Weisman Lois S

机构信息

Cell and Developmental Biology, University of Michigan, Ann Arbor, United States; Life Sciences Institute, University of Michigan, Ann Arbor, Michigan, United States.

Institute of Biomedicine, University of Turku, Turku, Finland.

出版信息

Autophagy Rep. 2023;2(1). doi: 10.1080/27694127.2023.2166722. Epub 2023 Jan 22.

Abstract

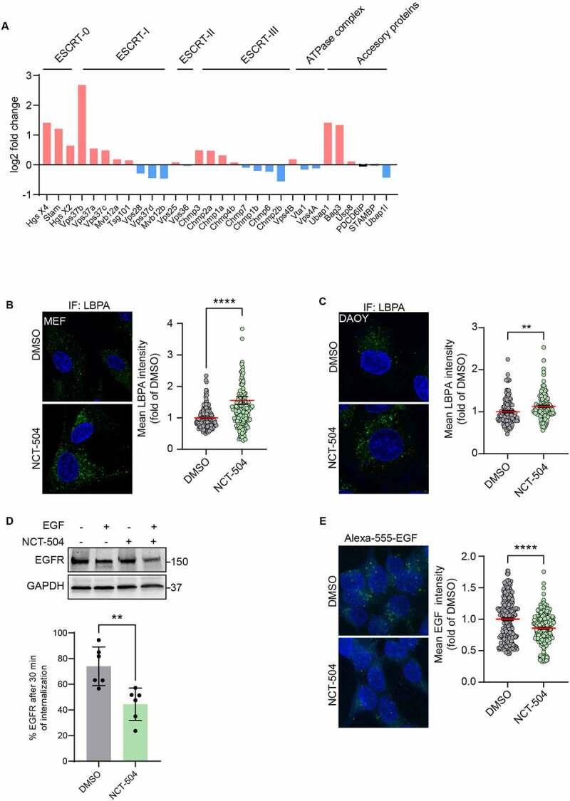
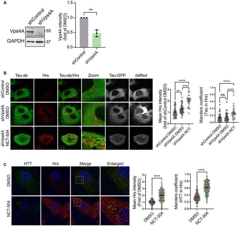
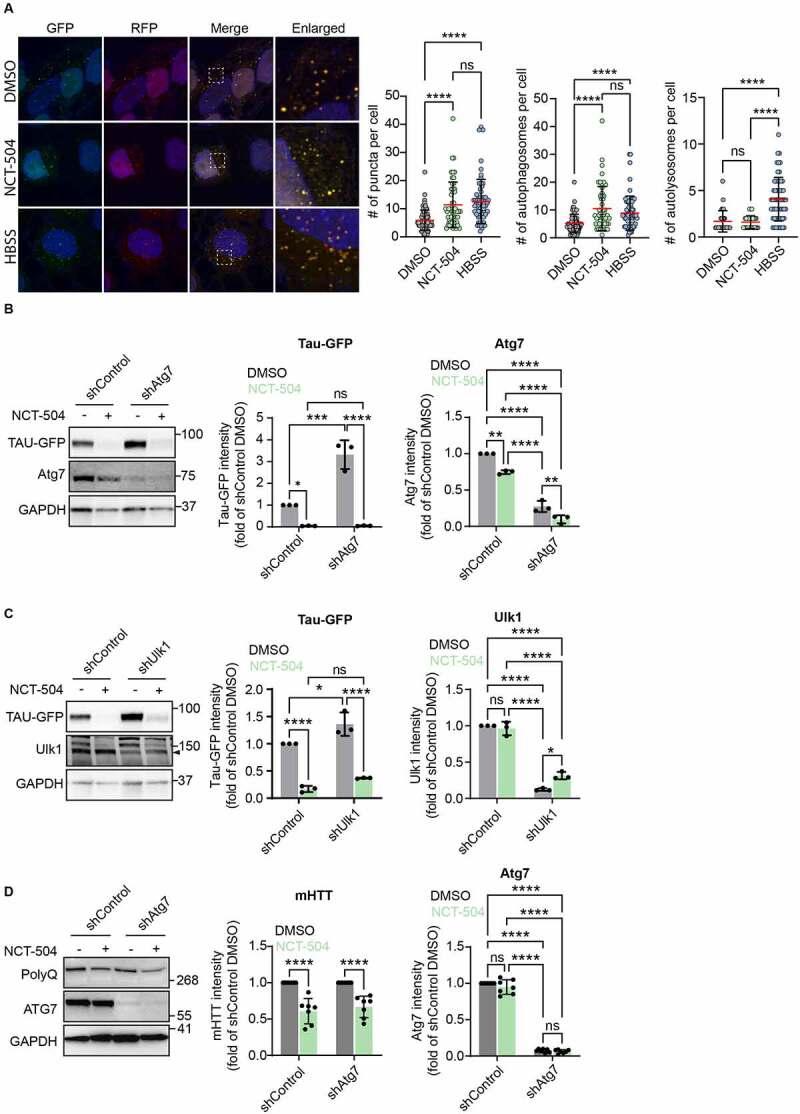
Many neurodegenerative diseases, including Huntington's disease (HD) and Alzheimer's disease (AD), occur due to an accumulation of aggregation-prone proteins, which results in neuronal death. Studies in animal and cell models show that reducing the levels of these proteins mitigates disease phenotypes. We previously reported a small molecule, NCT-504, which reduces cellular levels of mutant huntingtin (mHTT) in patient fibroblasts as well as mouse striatal and cortical neurons from an Hdh mutant mouse. Here, we show that NCT-504 has a broader potential, and in addition reduces levels of Tau, a protein associated with Alzheimer's disease, as well as other tauopathies. We find that in untreated cells, Tau and mHTT are degraded via autophagy. Notably, treatment with NCT-504 diverts these proteins to multivesicular bodies (MVB) and the ESCRT pathway. Specifically, NCT-504 causes a proliferation of endolysosomal organelles including MVB, and an enhanced association of mHTT and Tau with endosomes and MVB. Importantly, depletion of proteins that act late in the ESCRT pathway blocked NCT-504 dependent degradation of Tau. Moreover, NCT-504-mediated degradation of Tau occurred in cells where Atg7 is depleted, which indicates that this pathway is independent of canonical autophagy. Together, these studies reveal that upregulation of traffic through an ESCRT-dependent MVB pathway may provide a therapeutic approach for neurodegenerative diseases.

摘要

许多神经退行性疾病,包括亨廷顿舞蹈症(HD)和阿尔茨海默病(AD),都是由于易于聚集的蛋白质积累而发生的,这会导致神经元死亡。在动物和细胞模型中的研究表明,降低这些蛋白质的水平可减轻疾病表型。我们之前报道了一种小分子NCT-504,它能降低患者成纤维细胞以及来自Hdh突变小鼠的小鼠纹状体和皮质神经元中突变型亨廷顿蛋白(mHTT)的细胞水平。在此,我们表明NCT-504具有更广泛的潜力,此外还能降低与阿尔茨海默病以及其他tau蛋白病相关的Tau蛋白水平。我们发现,在未处理的细胞中,Tau和mHTT通过自噬降解。值得注意的是,用NCT-504处理会将这些蛋白质转移至多囊泡体(MVB)和内体分选转运复合体(ESCRT)途径。具体而言,NCT-504会导致包括MVB在内的内溶酶体细胞器增殖,以及mHTT和Tau与内体和MVB的关联增强。重要的是,对内体分选转运复合体(ESCRT)途径后期起作用的蛋白质进行敲除会阻断NCT-504依赖的Tau蛋白降解。此外,NCT-504介导的Tau蛋白降解发生在Atg7被敲除的细胞中,这表明该途径独立于经典自噬。总之,这些研究揭示了通过依赖内体分选转运复合体(ESCRT)的多囊泡体(MVB)途径上调转运可能为神经退行性疾病提供一种治疗方法。

https://cdn.ncbi.nlm.nih.gov/pmc/blobs/8ae1/12042482/c89a94b9898d/KAUO_A_2166722_F0001_OC.jpg

文献AI研究员

20分钟写一篇综述,助力文献阅读效率提升50倍。

立即体验

用中文搜PubMed

大模型驱动的PubMed中文搜索引擎

马上搜索

文档翻译

学术文献翻译模型,支持多种主流文档格式。

立即体验