Suppr超能文献

肝细胞中 RIPK3 启动子的高甲基化可防止胆汁酸诱导的炎症和坏死性凋亡。

RIPK3 promoter hypermethylation in hepatocytes protects from bile acid-induced inflammation and necroptosis.

机构信息

Department of Anesthesiology and Intensive Care Medicine, Nanophysiology Group, Jena University Hospital, Jena, 07747, Germany.

Center for Sepsis Control and Care, Jena University Hospital, Jena, 07743, Germany.

出版信息

Cell Death Dis. 2023 Apr 18;14(4):275. doi: 10.1038/s41419-023-05794-0.

Abstract

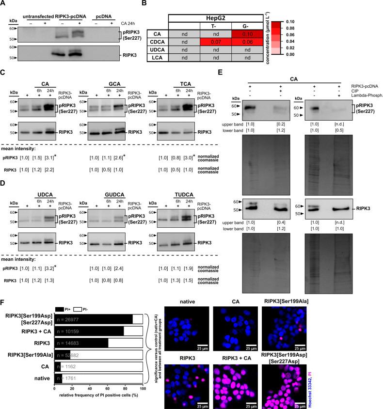
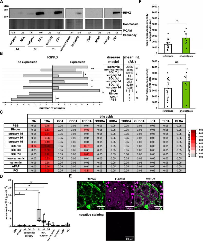
Necroptosis facilitates cell death in a controlled manner and is employed by many cell types following injury. It plays a significant role in various liver diseases, albeit the cell-type-specific regulation of necroptosis in the liver and especially hepatocytes, has not yet been conceptualized. We demonstrate that DNA methylation suppresses RIPK3 expression in human hepatocytes and HepG2 cells. In diseases leading to cholestasis, the RIPK3 expression is induced in mice and humans in a cell-type-specific manner. Overexpression of RIPK3 in HepG2 cells leads to RIPK3 activation by phosphorylation and cell death, further modulated by different bile acids. Additionally, bile acids and RIPK3 activation further facilitate JNK phosphorylation, IL-8 expression, and its release. This suggests that hepatocytes suppress RIPK3 expression to protect themselves from necroptosis and cytokine release induced by bile acid and RIPK3. In chronic liver diseases associated with cholestasis, induction of RIPK3 expression may be an early event signaling danger and repair through releasing IL-8.

摘要

细胞坏死促进以可控方式发生细胞死亡,并且在损伤后许多细胞类型都会采用这种方式。它在各种肝脏疾病中发挥着重要作用,尽管肝脏,特别是肝细胞中坏死的细胞类型特异性调控还没有概念化。我们证明了 DNA 甲基化可抑制人肝细胞和 HepG2 细胞中 RIPK3 的表达。在导致胆汁淤积的疾病中,RIPK3 在小鼠和人类中以细胞类型特异性的方式诱导表达。在 HepG2 细胞中过表达 RIPK3 会导致 RIPK3 通过磷酸化而被激活并引发细胞死亡,不同的胆汁酸会进一步对此进行调节。此外,胆汁酸和 RIPK3 的激活还会促进 JNK 的磷酸化、IL-8 的表达及其释放。这表明肝细胞抑制 RIPK3 的表达以防止自身受到胆汁酸和 RIPK3 诱导的细胞坏死和细胞因子释放的影响。在与胆汁淤积相关的慢性肝脏疾病中,RIPK3 表达的诱导可能是一个早期事件,通过释放 IL-8 来发出危险和修复信号。

https://cdn.ncbi.nlm.nih.gov/pmc/blobs/11d5/10113265/53c1fb0fd095/41419_2023_5794_Fig1_HTML.jpg

文献AI研究员

20分钟写一篇综述,助力文献阅读效率提升50倍。

立即体验

用中文搜PubMed

大模型驱动的PubMed中文搜索引擎

马上搜索

文档翻译

学术文献翻译模型,支持多种主流文档格式。

立即体验