Suppr超能文献

益生菌对兔非酒精性脂肪肝病及脂肪分解基因表达的改善作用。

Ameliorating effect of probiotic on nonalcoholic fatty liver disease and lipolytic gene expression in rabbits.

机构信息

Genetics and Genetic Engineering, Department of Animal Wealth Development, Faculty of Veterinary Medicine, Benha University, Banha, Egypt.

Department of Animal Husbandry and Animal Wealth Development, Faculty of Veterinary Medicine, Alexandria University, Alexandria, Egypt.

出版信息

Sci Rep. 2023 Apr 18;13(1):6312. doi: 10.1038/s41598-023-32584-7.

Abstract

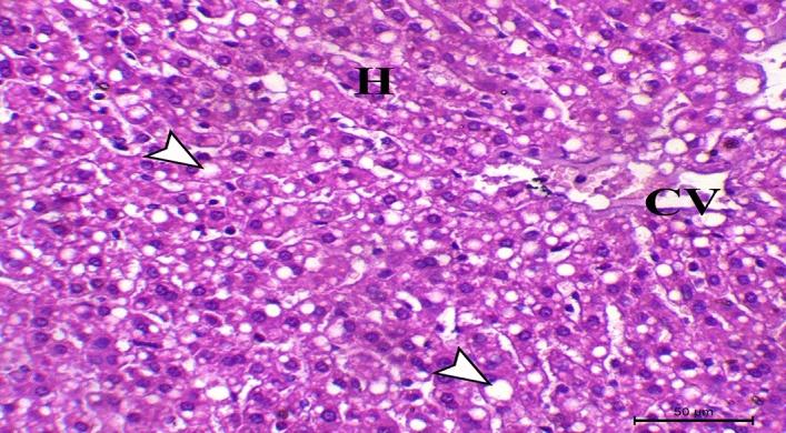
Nonalcoholic fatty liver disease (NAFLD) is a condition that affects about 24% of people worldwide. Increased liver fat, inflammation, and, in the most severe cases, cell death are all characteristics of NAFLD. However, NAFLD pathogenesis and therapy are still not clear enough. Thus, this study aimed to determine the effect of a high-cholesterol diet (HCD) inducing NAFLD on lipolytic gene expression, liver function, lipid profile, and antioxidant enzymes in rabbits and the modulatory effects of probiotic Lactobacillus acidophilus (L. acidophilus) on it. A total of 45 male New Zealand white rabbits, eight weeks old, were randomly divided into three groups of three replicates (5 rabbits/replicate). Rabbits in group I were given a basal diet; rabbits in group II were given a high-cholesterol diet that caused NAFLD; and rabbits in group III were given a high-cholesterol diet as well as probiotics in water for 8 weeks. The results showed that a high-cholesterol diet caused hepatic vacuolation and upregulated the genes for lipoprotein lipase (LPL), hepatic lipase (HL), and cholesteryl ester transfer protein (CETP). Downregulated low-density lipoprotein receptor (LDLr) gene, increased liver enzymes [alanine transaminase (ALT), aspartate transaminase (AST), alkaline phosphatase (ALP), lactate dehydrogenase (LDH)], cholesterol, triglycerides (TG), low-density lipoprotein (LDL), glucose, and total bilirubin. On the other hand, it decreased high-density lipoprotein (HDL), total protein, albumin, and liver antioxidants [glutathione peroxidase (GPx), catalase (CAT), reduced glutathione (GSH), and superoxide dismutase (SOD)]. Supplementing with probiotics helped to return all parameters to normal levels. In conclusion, probiotic supplementation, especially L. acidophilus, protected against NAFLD, and restored lipolytic gene expression, liver functions, and antioxidants to normal levels.

摘要

非酒精性脂肪性肝病(NAFLD)是一种影响全球约 24%人群的疾病。肝内脂肪增加、炎症,在最严重的情况下,还有细胞死亡,都是 NAFLD 的特征。然而,NAFLD 的发病机制和治疗方法还不够明确。因此,本研究旨在确定高胆固醇饮食(HCD)诱导的非酒精性脂肪性肝病对兔脂解基因表达、肝功能、血脂谱和抗氧化酶的影响,以及益生菌嗜酸乳杆菌(Lactobacillus acidophilus,L. acidophilus)对其的调节作用。总共 45 只 8 周龄雄性新西兰白兔被随机分为三组,每组 3 个重复(每组 5 只)。第 I 组给予基础日粮;第 II 组给予高胆固醇饮食导致非酒精性脂肪性肝病;第 III 组给予高胆固醇饮食和水益生菌 8 周。结果表明,高胆固醇饮食导致肝脏空泡化,并上调了脂蛋白脂肪酶(LPL)、肝脂肪酶(HL)和胆固醇酯转移蛋白(CETP)的基因。下调低密度脂蛋白受体(LDLr)基因,增加肝酶[丙氨酸转氨酶(ALT)、天冬氨酸转氨酶(AST)、碱性磷酸酶(ALP)、乳酸脱氢酶(LDH)]、胆固醇、甘油三酯(TG)、低密度脂蛋白(LDL)、葡萄糖和总胆红素。另一方面,它降低了高密度脂蛋白(HDL)、总蛋白、白蛋白和肝脏抗氧化剂[谷胱甘肽过氧化物酶(GPx)、过氧化氢酶(CAT)、还原型谷胱甘肽(GSH)和超氧化物歧化酶(SOD)]。补充益生菌有助于使所有参数恢复正常水平。总之,益生菌补充剂,特别是嗜酸乳杆菌,可以预防非酒精性脂肪性肝病,并使脂解基因表达、肝功能和抗氧化剂恢复正常水平。

https://cdn.ncbi.nlm.nih.gov/pmc/blobs/7a9f/10113232/bc39d4359458/41598_2023_32584_Fig1_HTML.jpg

文献AI研究员

20分钟写一篇综述,助力文献阅读效率提升50倍。

立即体验

用中文搜PubMed

大模型驱动的PubMed中文搜索引擎

马上搜索

文档翻译

学术文献翻译模型,支持多种主流文档格式。

立即体验