Suppr超能文献

对良性和恶性前列腺中的雄激素受体进行逐个细胞的定量分析,有助于更好地理解与癌症发生和进展相关的变化。

Cell-by-cell quantification of the androgen receptor in benign and malignant prostate leads to a better understanding of changes linked to cancer initiation and progression.

机构信息

Urologic Oncology Research Group, Cancer Research Program, Research Institute of the McGill University Health Center (RI-MUHC), Montreal, Canada.

Glickman Urological and Kidney Institute, Cleveland Clinic, Cleveland, OH, USA.

出版信息

J Pathol Clin Res. 2023 Jul;9(4):285-301. doi: 10.1002/cjp2.319. Epub 2023 Apr 18.

Abstract

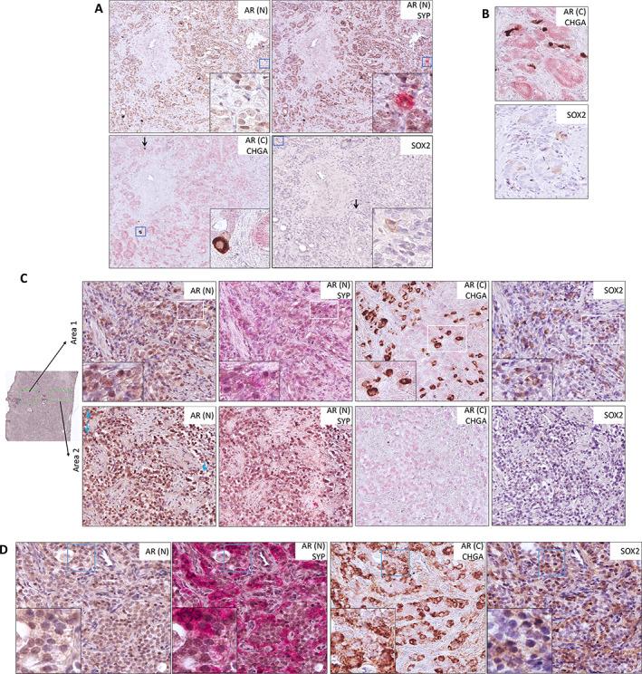
The androgen receptor (AR) plays a crucial role in the development and homeostasis of the prostate and is a key therapeutic target in prostate cancer (PCa). The gold standard therapy for advanced PCa is androgen deprivation therapy (ADT), which targets androgen production and AR signaling. However, resistance to ADT develops via AR-dependent and AR-independent mechanisms. As reports on AR expression patterns in PCa have been conflicting, we performed cell-by-cell AR quantification by immunohistochemistry in the benign and malignant prostate to monitor changes with disease development, progression, and hormonal treatment. Prostates from radical prostatectomy (RP) cases, both hormone-naïve and hormone-treated, prostate tissues from patients on palliative ADT, and bone metastases were included. In the normal prostate, AR is expressed in >99% of luminal cells, 51% of basal cells, and 61% of fibroblasts. An increase in the percentage of AR negative (%AR-) cancer cells along with a gradual loss of fibroblastic AR were observed with increasing Gleason grade and hormonal treatment. This was accompanied by a parallel increase in staining intensity of AR positive (AR+) cells under ADT. Staining AR with N- and C-terminal antibodies yielded similar results. The combination of %AR- cancer cells, %AR- fibroblasts, and AR intensity score led to the definition of an AR index, which was predictive of biochemical recurrence in the RP cohort and further stratified patients of intermediate risk. Lastly, androgen receptor variant 7 (ARV7)+ cells and AR- cells expressing neuroendocrine and stem markers were interspersed among a majority of AR+ cells in ADT cases. Altogether, the comprehensive quantification of AR expression in the prostate reveals concomitant changes in tumor cell subtypes and fibroblasts, emphasizing the significance of AR- cells with disease progression and palliative ADT.

摘要

雄激素受体(AR)在前列腺的发育和稳态中起着至关重要的作用,是前列腺癌(PCa)的关键治疗靶点。晚期 PCa 的金标准治疗方法是雄激素剥夺疗法(ADT),它针对雄激素的产生和 AR 信号。然而,由于 AR 依赖性和 AR 非依赖性机制的存在,ADT 会产生耐药性。由于关于 PCa 中 AR 表达模式的报告存在矛盾,我们通过免疫组织化学对良性和恶性前列腺中的 AR 进行了逐个细胞的定量,以监测疾病发展、进展和激素治疗过程中的变化。包括接受根治性前列腺切除术(RP)的病例(包括激素初治和激素治疗的病例)、接受姑息性 ADT 的患者的前列腺组织以及骨转移灶。在正常前列腺中,AR 在>99%的腔细胞、51%的基底细胞和 61%的成纤维细胞中表达。随着 Gleason 分级和激素治疗的增加,观察到 AR 阴性(%AR-)癌细胞的比例增加,同时成纤维细胞的 AR 逐渐丢失。这伴随着 ADT 下 AR 阳性(AR+)细胞染色强度的平行增加。使用 N 端和 C 端抗体染色 AR 得到了相似的结果。%AR-癌细胞、%AR-成纤维细胞和 AR 强度评分的组合定义了一个 AR 指数,该指数可预测 RP 队列中的生化复发,并进一步对中危患者进行分层。最后,在接受 ADT 的病例中,AR 变体 7(ARV7)+细胞和表达神经内分泌和干细胞标志物的 AR-细胞散布在大多数 AR+细胞之间。总之,前列腺中 AR 表达的综合定量揭示了肿瘤细胞亚型和成纤维细胞的伴随变化,强调了 AR-细胞在疾病进展和姑息性 ADT 中的重要性。

https://cdn.ncbi.nlm.nih.gov/pmc/blobs/39c4/10240153/4b0b48fd9377/CJP2-9-285-g001.jpg

文献AI研究员

20分钟写一篇综述,助力文献阅读效率提升50倍。

立即体验

用中文搜PubMed

大模型驱动的PubMed中文搜索引擎

马上搜索

文档翻译

学术文献翻译模型,支持多种主流文档格式。

立即体验