Suppr超能文献

二甲双胍和利培酮在丙戊酸致自闭症大鼠模型中的比较效果,增强自噬的潜在作用。

The comparative effectiveness of metformin and risperidone in a rat model of valproic acid-induced autism, Potential role for enhanced autophagy.

机构信息

Department of Clinical Pharmacology, Faculty of Medicine, Mansoura University, 60 El-Gomhoria Street, Mansoura, Al-Dakahlia, 35516, Egypt.

Department of Pathology, Faculty of Medicine, Mansoura University, 60 El-Gomhoria Street, Mansoura, Al-Dakahlia, 35516, Egypt.

出版信息

Psychopharmacology (Berl). 2023 Jun;240(6):1313-1332. doi: 10.1007/s00213-023-06371-1. Epub 2023 May 3.

Abstract

RATIONALE

Risperidone is the first antipsychotic to be approved by Food and Drug Administration (FDA) for treating autism spectrum disorder (ASD). The potential efficacy of metformin in preventing and/or controlling ASD behavioral deficits was also recently reported. Suppression of hippocampus autophagy was suggested as a potential pathologic mechanism in ASD.

OBJECTIVES

Is metformin's ability to improve ASD clinical phenotype driven by its autophagy-enhancing properties? And does hippocampus autophagy enhancement underlie risperidone's efficacy as well? Both questions are yet to be answered.

METHODS

The effectiveness of metformin on alleviation of ASD-like behavioral deficits in adolescent rats exposed prenatally to valproic acid (VPA) was compared to that of risperidone. The potential modulatory effects of risperidone on hippocampal autophagic activity were also assessed and compared to those of metformin.

RESULTS

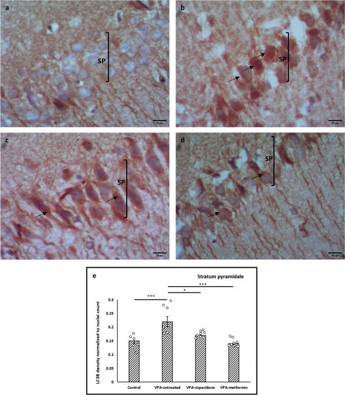
Male offspring exposed to VPA during gestation exhibited marked anxiety, social impairment and aggravation of stereotyped grooming; such deficits were efficiently rescued by postnatal risperidone or metformin therapy. This autistic phenotype was associated with suppressed hippocampal autophagy; as evidenced by reduced gene/dendritic protein expression of LC3B (microtubule-associated proteins 1 light chain 3B) and increased somatic P62 (Sequestosome 1) protein aggregates. Interestingly, compared to risperidone, the effectiveness of metformin in controlling ASD symptoms and improving hippocampal neuronal survival was well correlated to its ability to markedly induce pyramidal neuronal LC3B expression while lowering P62 accumulation.

CONCLUSIONS

Our work highlights, for the first time, positive modulation of hippocampus autophagy as potential mechanism underlying improvements in autistic behaviors, observed with metformin, as well as risperidone, therapy.

摘要

背景

利培酮是第一个经美国食品和药物管理局(FDA)批准用于治疗自闭症谱系障碍(ASD)的抗精神病药。最近也有报道称二甲双胍在预防和/或控制 ASD 行为缺陷方面具有潜在疗效。抑制海马自噬被认为是 ASD 的一种潜在病理机制。

目的

二甲双胍改善 ASD 临床表型的能力是否与其增强自噬的特性有关?而利培酮的疗效是否也与增强海马自噬有关?这两个问题仍有待回答。

方法

比较了二甲双胍对产前暴露于丙戊酸(VPA)的青少年大鼠 ASD 样行为缺陷的缓解作用与利培酮的疗效。还评估了利培酮对海马自噬活性的潜在调节作用,并与二甲双胍进行了比较。

结果

在妊娠期间暴露于 VPA 的雄性后代表现出明显的焦虑、社交障碍和刻板性梳理行为加重;这些缺陷通过产后利培酮或二甲双胍治疗得到有效挽救。这种自闭症表型与海马自噬受抑制有关;这表现在 LC3B(微管相关蛋白 1 轻链 3B)的基因/树突蛋白表达减少和体细胞 P62(自噬体相关蛋白 1)蛋白聚集体增加。有趣的是,与利培酮相比,二甲双胍控制 ASD 症状和改善海马神经元存活的效果与它显著诱导锥体神经元 LC3B 表达而降低 P62 积累的能力密切相关。

结论

我们的工作首次强调了增强海马自噬作为改善自闭症行为的潜在机制,这一机制与二甲双胍和利培酮的治疗作用有关。

https://cdn.ncbi.nlm.nih.gov/pmc/blobs/82d7/10172247/9348ba4d07db/213_2023_6371_Fig1_HTML.jpg

文献AI研究员

20分钟写一篇综述,助力文献阅读效率提升50倍。

立即体验

用中文搜PubMed

大模型驱动的PubMed中文搜索引擎

马上搜索

文档翻译

学术文献翻译模型,支持多种主流文档格式。

立即体验