Suppr超能文献

E3泛素连接酶NEDD4-1通过靶向VDAC1进行降解来保护机体免受对乙酰氨基酚诱导的肝损伤。

The E3 ubiquitin ligase NEDD4-1 protects against acetaminophen-induced liver injury by targeting VDAC1 for degradation.

作者信息

Zhu Yiwei, Lei Lin, Wang Xinghui, Chen Linfang, Li Wei, Li Jinxia, Zhao Chenchen, Du Xiliang, Song Yuxiang, Gao Wenwen, Liu Guowen, Li Xinwei

机构信息

State Key Laboratory for Zoonotic Diseases, Key Laboratory of Zoonosis Research, Ministry of Education, College of Veterinary Medicine, Jilin University, Changchun 130062, China.

出版信息

Acta Pharm Sin B. 2023 Apr;13(4):1616-1630. doi: 10.1016/j.apsb.2023.01.019. Epub 2023 Jan 29.

Abstract

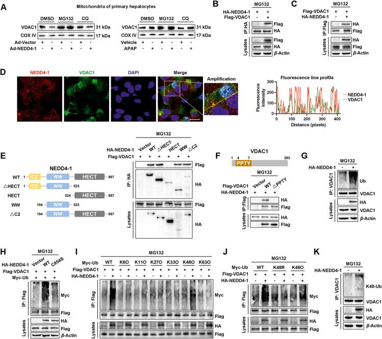
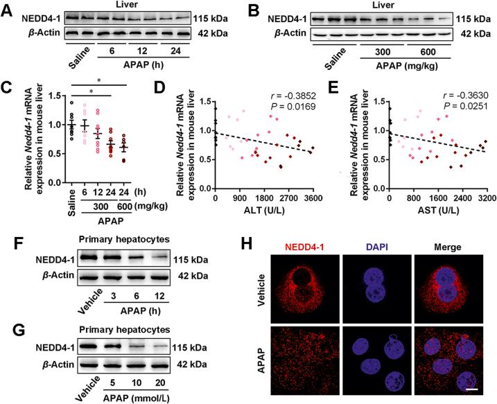
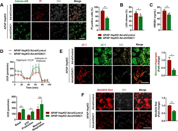
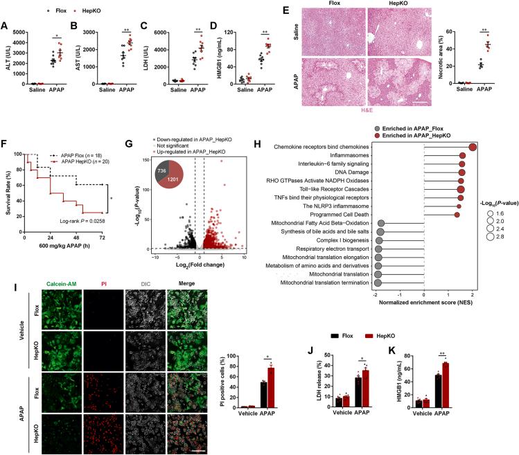
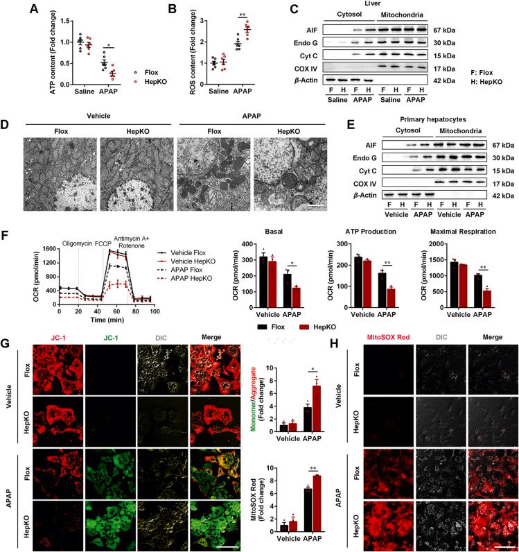
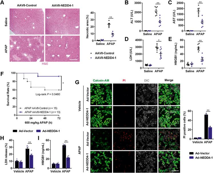
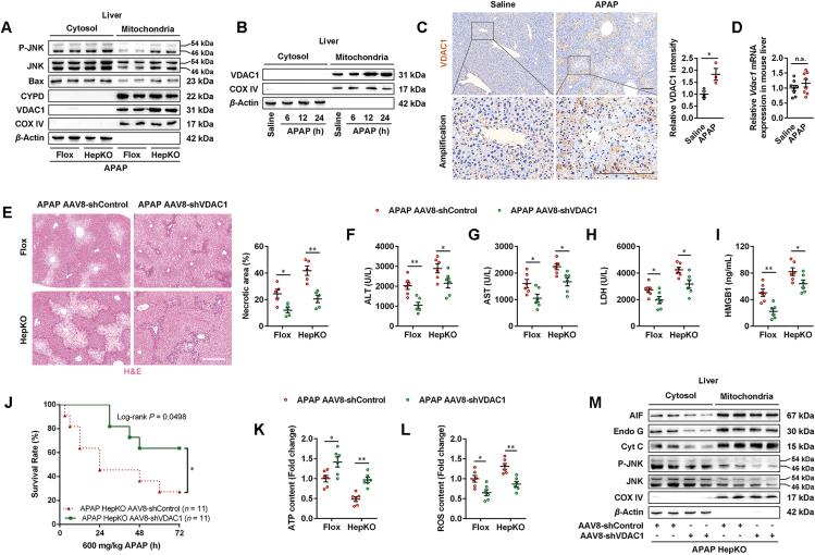
Acetaminophen (APAP) overdose is a major cause of liver injury. Neural precursor cell expressed developmentally downregulated 4-1 (NEDD4-1) is an E3 ubiquitin ligase that has been implicated in the pathogenesis of numerous liver diseases; however, its role in APAP-induced liver injury (AILI) is unclear. Thus, this study aimed to investigate the role of NEDD4-1 in the pathogenesis of AILI. We found that NEDD4-1 was dramatically downregulated in response to APAP treatment in mouse livers and isolated mouse hepatocytes. Hepatocyte-specific NEDD4-1 knockout exacerbated APAP-induced mitochondrial damage and the resultant hepatocyte necrosis and liver injury, while hepatocyte-specific NEDD4-1 overexpression mitigated these pathological events both and . Additionally, hepatocyte NEDD4-1 deficiency led to marked accumulation of voltage-dependent anion channel 1 (VDAC1) and increased VDAC1 oligomerization. Furthermore, VDAC1 knockdown alleviated AILI and weakened the exacerbation of AILI caused by hepatocyte NEDD4-1 deficiency. Mechanistically, NEDD4-1 was found to interact with the PPTY motif of VDAC1 through its WW domain and regulate K48-linked ubiquitination and degradation of VDAC1. Our present study indicates that NEDD4-1 is a suppressor of AILI and functions by regulating the degradation of VDAC1.

摘要

对乙酰氨基酚(APAP)过量是肝损伤的主要原因。神经前体细胞表达发育下调蛋白4-1(NEDD4-1)是一种E3泛素连接酶,与多种肝脏疾病的发病机制有关;然而,其在APAP诱导的肝损伤(AILI)中的作用尚不清楚。因此,本研究旨在探讨NEDD4-1在AILI发病机制中的作用。我们发现,在小鼠肝脏和分离的小鼠肝细胞中,NEDD4-1在APAP处理后显著下调。肝细胞特异性NEDD4-1基因敲除加剧了APAP诱导的线粒体损伤以及由此导致的肝细胞坏死和肝损伤,而肝细胞特异性NEDD4-1过表达减轻了这些病理事件。此外,肝细胞NEDD4-1缺乏导致电压依赖性阴离子通道1(VDAC1)明显积聚,并增加VDAC1寡聚化。此外,VDAC1基因敲低减轻了AILI,并减弱了肝细胞NEDD4-1缺乏引起的AILI加重。机制上,发现NEDD4-1通过其WW结构域与VDAC1的PPTY基序相互作用,并调节VDAC1的K48连接的泛素化和降解。我们目前的研究表明,NEDD4-1是AILI的抑制因子,通过调节VDAC1的降解发挥作用。

https://cdn.ncbi.nlm.nih.gov/pmc/blobs/1d81/10150139/d2a05219d35c/ga1.jpg

文献AI研究员

20分钟写一篇综述,助力文献阅读效率提升50倍。

立即体验

用中文搜PubMed

大模型驱动的PubMed中文搜索引擎

马上搜索

文档翻译

学术文献翻译模型,支持多种主流文档格式。

立即体验