Suppr超能文献

ELFN1-AS1通过促进GCN5与SND1的结合,增强GDF15介导的结直肠癌对自然杀伤细胞的免疫逃逸。

ELFN1-AS1 promotes GDF15-mediated immune escape of colorectal cancer from NK cells by facilitating GCN5 and SND1 association.

作者信息

Han Bin, He Jinsong, Chen Qing, Yuan Min, Zeng Xi, Li Yuanting, Zeng Yan, He Meibo, Zhou Qilin, Feng Dan, Ma Daiyuan

机构信息

GCP Center/Institute of Drug Clinical Trials, Affiliated Hospital of North Sichuan Medical College, Nanchong, China.

Department of Pharmacy, Affiliated Hospital of North Sichuan Medical College, Nanchong, China.

出版信息

Discov Oncol. 2023 May 6;14(1):56. doi: 10.1007/s12672-023-00675-6.

Abstract

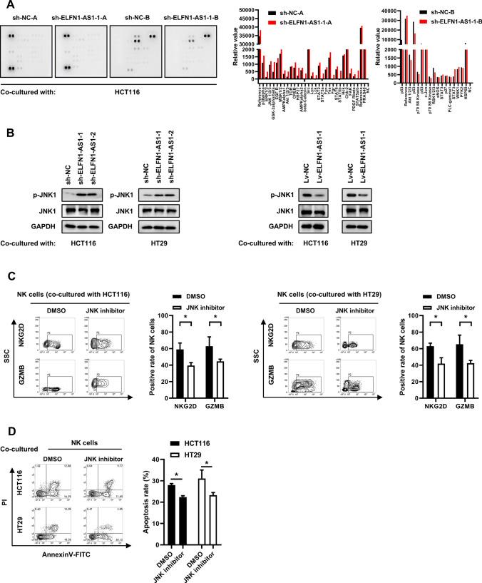
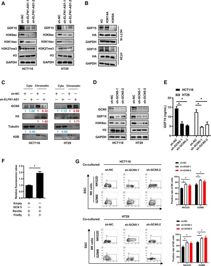
The ability of colorectal cancer (CRC) cells to escape from natural killer (NK) cell immune surveillance leads to anti-tumor treatment failure. The long non-coding RNA (lncRNA) ELFN1-AS1 is aberrantly expressed in multiple tumors suggesting a role as an oncogene in cancer development. However, whether ELFN1-AS1 regulates immune surveillance in CRC is unclear. Here, we determined that ELFN1-AS1 enhanced the ability of CRC cells to escape from NK cell surveillance in vitro and in vivo. In addition, we confirmed that ELFN1-AS1 in CRC cells attenuated the activity of NK cell by down-regulating NKG2D and GZMB via the GDF15/JNK pathway. Furthermore, mechanistic investigations demonstrated that ELFN1-AS1 enhanced the interaction between the GCN5 and SND1 protein and this influenced H3k9ac enrichment at the GDF15 promotor to stimulate GDF15 production in CRC cells. Taken together, our findings indicate that ELFN1-AS1 in CRC cells suppresses NK cell cytotoxicity and ELFN1-AS1 is a potential therapeutic target for CRC.

摘要

结直肠癌(CRC)细胞逃避自然杀伤(NK)细胞免疫监视的能力会导致抗肿瘤治疗失败。长链非编码RNA(lncRNA)ELFN1-AS1在多种肿瘤中异常表达,提示其在癌症发展中作为癌基因发挥作用。然而,ELFN1-AS1是否调节CRC中的免疫监视尚不清楚。在此,我们确定ELFN1-AS1在体外和体内均增强了CRC细胞逃避NK细胞监视的能力。此外,我们证实CRC细胞中的ELFN1-AS1通过GDF15/JNK途径下调NKG2D和GZMB,从而减弱NK细胞的活性。此外,机制研究表明,ELFN1-AS1增强了GCN5和SND1蛋白之间的相互作用,这影响了GDF15启动子处的H3k9ac富集,从而刺激CRC细胞中GDF15的产生。综上所述,我们的研究结果表明,CRC细胞中的ELFN1-AS1抑制NK细胞的细胞毒性,ELFN1-AS1是CRC的潜在治疗靶点。

https://cdn.ncbi.nlm.nih.gov/pmc/blobs/fa7b/10163203/6ed4923523b3/12672_2023_675_Fig1_HTML.jpg

文献AI研究员

20分钟写一篇综述,助力文献阅读效率提升50倍。

立即体验

用中文搜PubMed

大模型驱动的PubMed中文搜索引擎

马上搜索

文档翻译

学术文献翻译模型,支持多种主流文档格式。

立即体验