Suppr超能文献

Yes相关蛋白抑制通过减少铁死亡和坏死性凋亡改善肝纤维化以及急慢性肝衰竭。

Yes-associated protein inhibition ameliorates liver fibrosis and acute and chronic liver failure by decreasing ferroptosis and necroptosis.

作者信息

Zhao Wen, Lei Miao, Li Jinfeng, Zhang Hailin, Zhang Hongkun, Han Yuxin, Ba Zhiwei, Zhang Manli, Li Dongdong, Liu Chuanmiao

机构信息

Department of Infectious Diseases, The First Affiliated Hospital of Bengbu Medical College, Bengbu, 233000, China.

Core Cooperative Unit of National Clinical Research Center for Infectious Diseases, China.

出版信息

Heliyon. 2023 Apr 3;9(4):e15075. doi: 10.1016/j.heliyon.2023.e15075. eCollection 2023 Apr.

Abstract

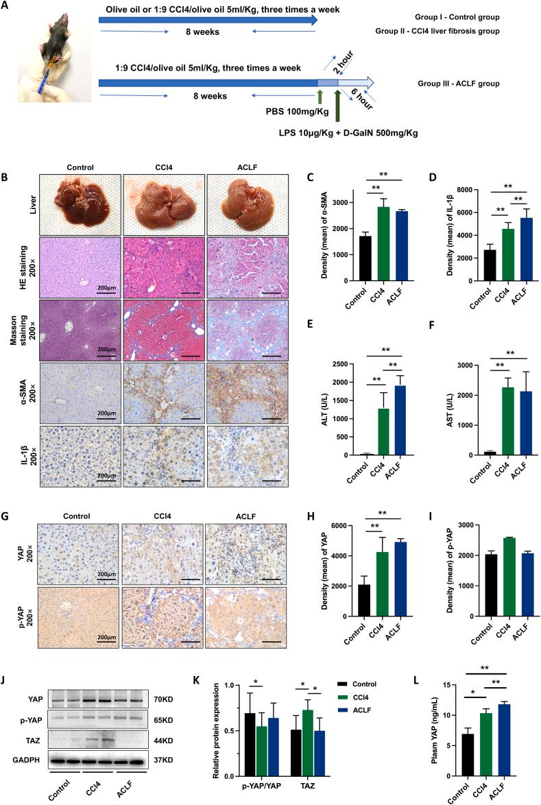
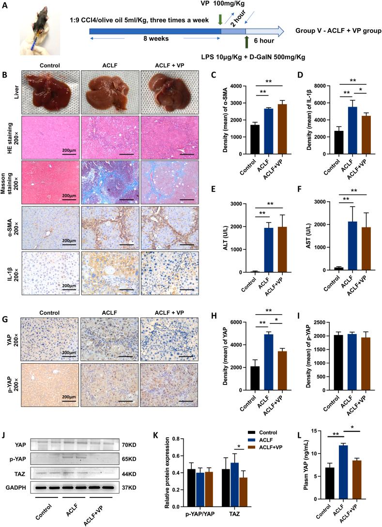
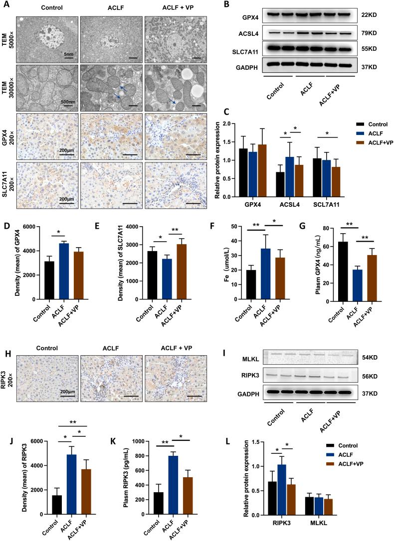
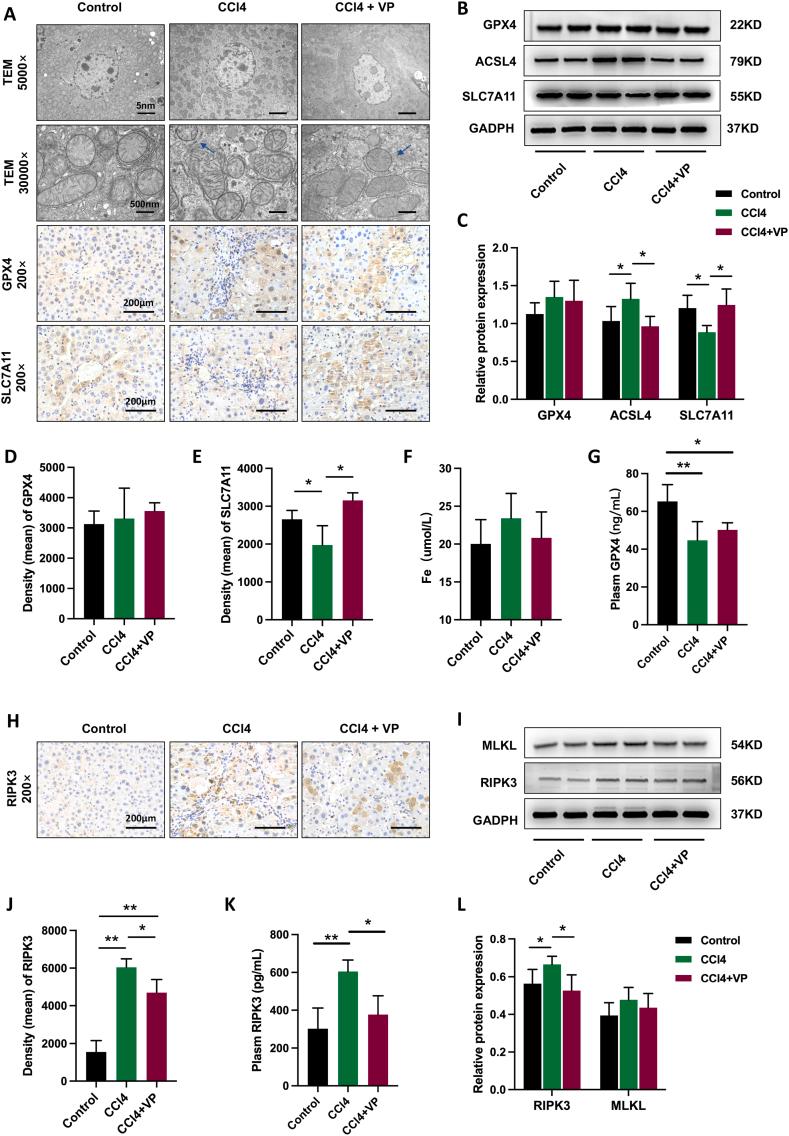
BACKGROUND/AIMS: This study aims to determine which cell death modes contribute most in the progression of cirrhosis and acute-on-chronic liver failure (ACLF), and to investigate whether Yes associated protein (YAP) affects the disease process by regulating cell death.

MATERIALS AND METHODS

30C57BL/6 male mice were divided into five groups: control, carbon tetrachloride (CCl4)-induced liver fibrosis model, CCl4+verteporfin, CCl4+lipopolysaccharides (LPS) combined with the D-(+)-Galactosamine (LPS/D-GalN)-induced ACLF model, and ACLF + verteporfin. Patients with chronic hepatitis B (CHB), hepatitis B virus (HBV) related liver cirrhosis or ACLF were enrolled. Histology, immunohistochemistry, transmission electron microscopy, Western blot and ELISA were conducted to assess the roles of YAP and cell death in liver cirrhosis and ACLF, and to explore the effect of YAP inhibition on cell deaths.

RESULTS

YAP was markedly increased in mice with liver fibrosis and ACLF, along with ferroptosis and necroptosis. Furthermore, YAP inhibition significantly suppressed fibrosis in CCl4-mediated liver fibrosis and ACLF-associated liver injury. Notably, CCl4 induced up-regulation of ACSL4 and RIPK3 and down-regulation of SLC7A11, key factors in ferroptosis and necroptosis. This was significantly abrogated by verteporfin treatment. Similar changes in ferroptosis and necroptosis were found in ACLF and ACLF + verteporfin groups. Consistent with the above findings in mice, we found that plasma YAP levels were gradually increased with the development of HBV-related liver fibrosis and ACLF.

CONCLUSION

Ferroptosis and necroptosis are involved in the development of liver cirrhosis and ACLF. Inhibition of YAP improved liver fibrosis and liver damage in ACLF through a reduction in ferroptosis and necroptosis. Our findings may help better understanding the role of YAP in liver fibrosis and ACLF.

摘要

背景/目的:本研究旨在确定哪种细胞死亡模式在肝硬化和慢加急性肝衰竭(ACLF)进展中起最大作用,并研究Yes相关蛋白(YAP)是否通过调节细胞死亡影响疾病进程。

材料与方法

将30只C57BL/6雄性小鼠分为五组:对照组、四氯化碳(CCl4)诱导的肝纤维化模型组、CCl4+维替泊芬组、CCl4+脂多糖(LPS)联合D-(+)-半乳糖胺(LPS/D-GalN)诱导的ACLF模型组以及ACLF+维替泊芬组。纳入慢性乙型肝炎(CHB)、乙型肝炎病毒(HBV)相关肝硬化或ACLF患者。进行组织学、免疫组化、透射电子显微镜、蛋白质免疫印迹和酶联免疫吸附测定,以评估YAP和细胞死亡在肝硬化和ACLF中的作用,并探讨YAP抑制对细胞死亡的影响。

结果

YAP在肝纤维化和ACLF小鼠中显著增加,同时伴有铁死亡和坏死性凋亡。此外,YAP抑制显著抑制了CCl4介导的肝纤维化和ACLF相关肝损伤中的纤维化。值得注意的是,CCl4诱导了铁死亡和坏死性凋亡的关键因子ACSL4和RIPK3的上调以及SLC7A11的下调。维替泊芬治疗可显著消除这种情况。在ACLF组和ACLF+维替泊芬组中发现了铁死亡和坏死性凋亡的类似变化。与上述小鼠研究结果一致,我们发现血浆YAP水平随着HBV相关肝纤维化和ACLF的发展而逐渐升高。

结论

铁死亡和坏死性凋亡参与了肝硬化和ACLF的发展。抑制YAP可通过减少铁死亡和坏死性凋亡改善ACLF中的肝纤维化和肝损伤。我们的研究结果可能有助于更好地理解YAP在肝纤维化和ACLF中的作用。

https://cdn.ncbi.nlm.nih.gov/pmc/blobs/d142/10161368/f954da1f0218/gr1.jpg

文献AI研究员

20分钟写一篇综述,助力文献阅读效率提升50倍。

立即体验

用中文搜PubMed

大模型驱动的PubMed中文搜索引擎

马上搜索

文档翻译

学术文献翻译模型,支持多种主流文档格式。

立即体验