Suppr超能文献

溶酶体相关蛋白跨膜 5 通过促进 CDC42 在小鼠中的降解来改善非酒精性脂肪性肝炎。

Lysosomal-associated protein transmembrane 5 ameliorates non-alcoholic steatohepatitis by promoting the degradation of CDC42 in mice.

机构信息

Department of Cardiovascular Surgery, Union Hospital, Tongji Medical College, Huazhong University of Science and Technology, 430022, Wuhan, China.

Department of Cardiology, Central Hospital of Wuhan, Tongji Medical College, Huazhong University of Science and Technology, 430014, Wuhan, China.

出版信息

Nat Commun. 2023 May 8;14(1):2654. doi: 10.1038/s41467-023-37908-9.

Abstract

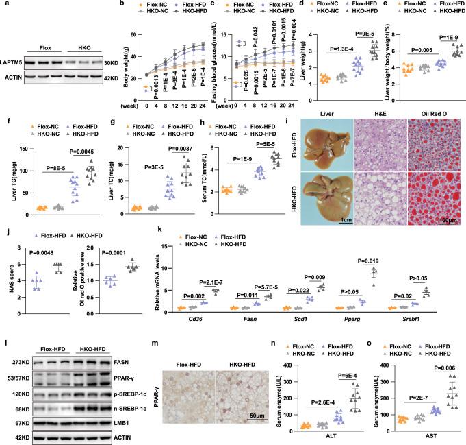
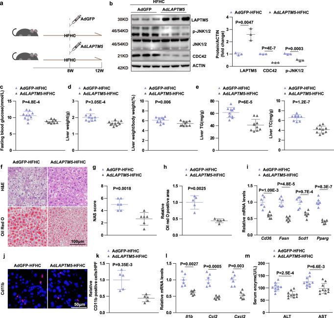
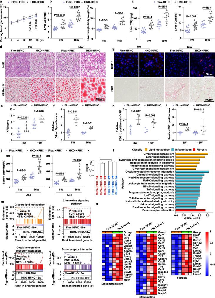
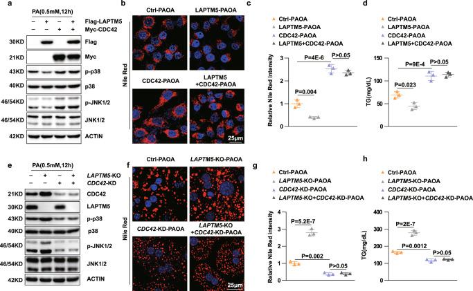
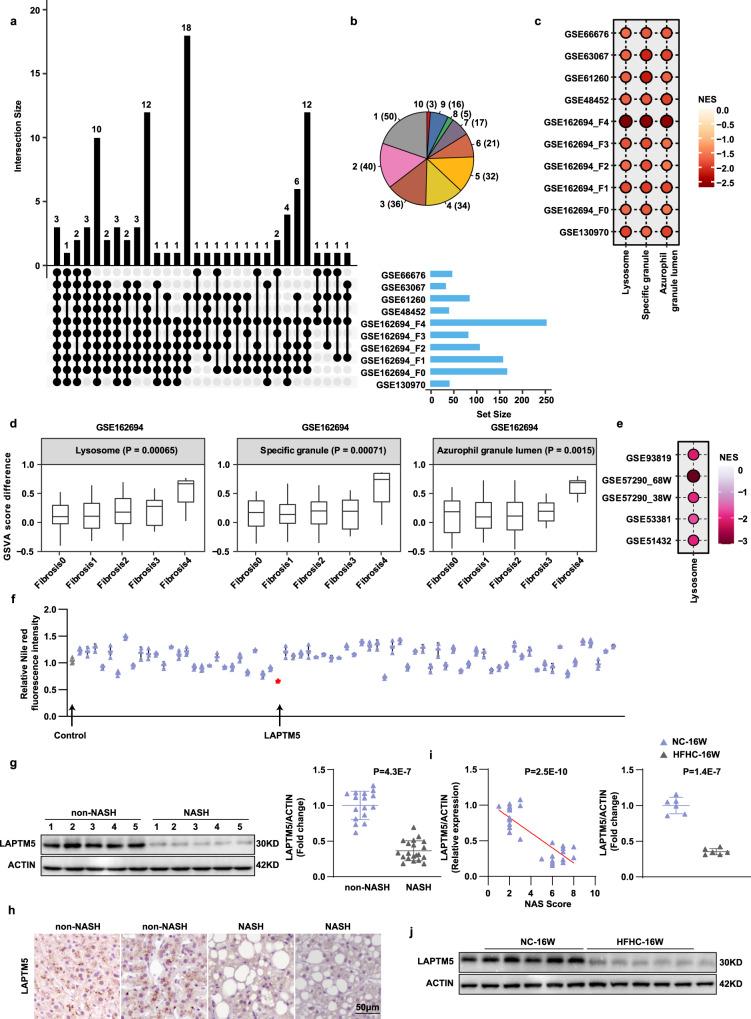
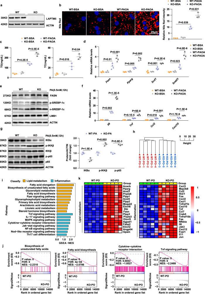
Non-alcoholic steatohepatitis (NASH) has received great attention due to its high incidence. Here, we show that lysosomal-associated protein transmembrane 5 (LAPTM5) is associated with NASH progression through extensive bioinformatical analysis. The protein level of LAPTM5 bears a negative correlation with NAS score. Moreover, LAPTM5 degradation is mediated through its ubiquitination modification by the E3 ubquitin ligase NEDD4L. Discovered by experiments conducted on male mice, hepatocyte-specific depletion of Laptm5 exacerbates mouse NASH symptoms. In contrast, Laptm5 overexpression in hepatocytes exerts diametrically opposite effects. Mechanistically, LAPTM5 interacts with CDC42 and promotes its degradation through a lysosome-dependent manner under the stimulation of palmitic acid, thus inhibiting activation of the mitogen-activated protein kinase signaling pathway. Finally, adenovirus-mediated hepatic Laptm5 overexpression ameliorates aforementioned symptoms in NASH models.

摘要

非酒精性脂肪性肝炎(NASH)因其高发病率而受到广泛关注。在这里,我们通过广泛的生物信息学分析表明,溶酶体相关蛋白跨膜 5(LAPTM5)与 NASH 进展有关。LAPTM5 的蛋白水平与 NAS 评分呈负相关。此外,LAPTM5 的降解是通过 E3 泛素连接酶 NEDD4L 对其泛素化修饰来介导的。在雄性小鼠上进行的实验发现,肝细胞特异性敲除 Laptm5 会加重小鼠 NASH 症状。相反,肝细胞中 Laptm5 的过表达则产生截然相反的效果。在机制上,LAPTM5 与 CDC42 相互作用,并在棕榈酸的刺激下通过溶酶体依赖性方式促进其降解,从而抑制丝裂原活化蛋白激酶信号通路的激活。最后,腺病毒介导的肝 Laptm5 过表达可改善 NASH 模型中的上述症状。

https://cdn.ncbi.nlm.nih.gov/pmc/blobs/a9d2/10167344/d084f0d28d5a/41467_2023_37908_Fig1_HTML.jpg

文献AI研究员

20分钟写一篇综述,助力文献阅读效率提升50倍。

立即体验

用中文搜PubMed

大模型驱动的PubMed中文搜索引擎

马上搜索

文档翻译

学术文献翻译模型,支持多种主流文档格式。

立即体验