Suppr超能文献

克罗恩病:命名法的回顾与标准化

Crohn's disease: review and standardization of nomenclature.

作者信息

Magalhães Filipe C B, Lima Elissandra Melo, Carpentieri-Primo Pedro, Barreto Miriam Menna, Rodrigues Rosana Souza, Parente Daniella Braz

机构信息

Universidade Federal do Rio de Janeiro (UFRJ), Rio de Janeiro, RJ, Brazil.

Grupo Fleury, Rio de Janeiro, RJ, Brazil.

出版信息

Radiol Bras. 2023 Mar-Apr;56(2):95-101. doi: 10.1590/0100-3984.2022.0082-en.

Abstract

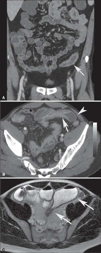
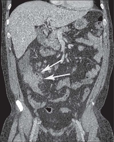
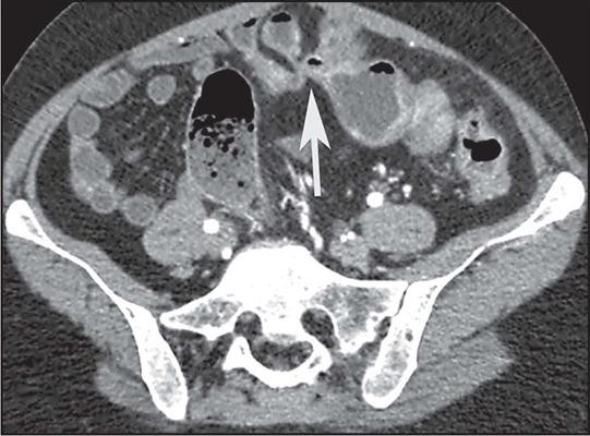
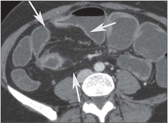
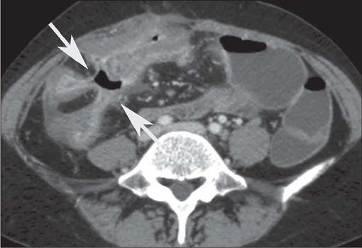
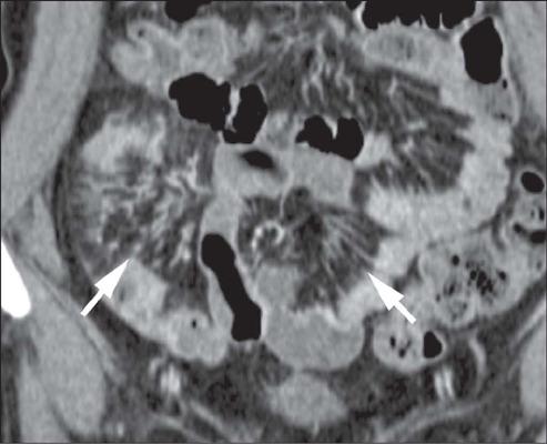
Crohn's disease is an inflammatory bowel disease that can affect any segment of the gastrointestinal tract. It has a variable clinical course, with alternating periods of disease activity and remission. Because the incidence and prevalence of Crohn's disease have been increasing, evaluation by imaging methods has become more important. The most widely used methods are computed tomography enterography, magnetic resonance enterography (as an elective examination), and contrast-enhanced computed tomography (in the context of emergency). Computed tomography enterography and magnetic resonance enterography are useful for diagnosis, follow-up, evaluation of complications, and prognosis. Both can be used in order to evaluate the small bowel loops and the associated mesenteric findings, as well as to evaluate other abdominal organs. They both also can detect signs of disease activity, fibrosis, penetrating disease, and complications. The interpretation of such changes is essential to the multidisciplinary approach, as is the standardization of the nomenclature employed in the reports. In this paper, we review and illustrate the imaging findings of Crohn's disease, using the standardized nomenclature proposed in the multidisciplinary consensus statement issued by the Society of Abdominal Radiology, the Society of Pediatric Radiology, and the American Gastroenterology Association, with recommendations for descriptions, interpretations, and impressions related to those findings.

摘要

克罗恩病是一种炎症性肠病,可累及胃肠道的任何节段。其临床病程多变,疾病活动期和缓解期交替出现。由于克罗恩病的发病率和患病率一直在上升,通过影像学方法进行评估变得更加重要。最常用的方法是计算机断层扫描小肠造影、磁共振小肠造影(作为选择性检查)和增强计算机断层扫描(在急诊情况下)。计算机断层扫描小肠造影和磁共振小肠造影对诊断、随访、并发症评估及预后判断均有帮助。两者均可用于评估小肠肠袢及相关肠系膜表现,以及评估其他腹部器官。它们还都能检测疾病活动、纤维化、穿透性病变及并发症的征象。对这些改变的解读对于多学科诊疗方法至关重要,报告中使用的命名标准化也同样重要。在本文中,我们使用腹部放射学会、儿科放射学会和美国胃肠病学会发布的多学科共识声明中提出的标准化命名,回顾并阐述克罗恩病的影像学表现,并对与这些表现相关的描述、解读及印象给出建议。

https://cdn.ncbi.nlm.nih.gov/pmc/blobs/60fe/10165970/e43d07e256c7/rb-56-02-0095-g01.jpg

文献AI研究员

20分钟写一篇综述,助力文献阅读效率提升50倍。

立即体验

用中文搜PubMed

大模型驱动的PubMed中文搜索引擎

马上搜索

文档翻译

学术文献翻译模型,支持多种主流文档格式。

立即体验