Suppr超能文献

接受病灶内注射白细胞介素-2加卡介苗治疗的皮肤和皮下组织转移性黑色素瘤患者的远隔效应。

Abscopal responses in patients with metastatic melanoma involving skin and subcutaneous tissues treated with intralesional IL2 plus BCG.

作者信息

Vidovic Dejan, Helyer Lucy Kathryn, Pasternak Sylvia, Giacomantonio Carman Anthony

机构信息

Division of General and Gastrointestinal Surgery, Department of Surgery, Faculty of Medicine, Dalhousie University, Halifax, NS, Canada.

Department of Pathology, Faculty of Medicine, Dalhousie University, Halifax, NS, Canada.

出版信息

Front Oncol. 2023 Apr 27;13:1160269. doi: 10.3389/fonc.2023.1160269. eCollection 2023.

Abstract

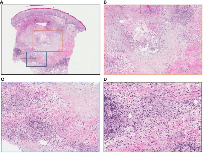
Cutaneous melanoma is relatively common with increasing incidence and significant mortality. While the mainstay of therapy is surgical, patients with stage III and IV disease fare poorer than those with early-stage disease and often benefit from adjuvant therapies. While systemic immunotherapy has changed the landscape of melanoma treatment, for some patients systemic toxicities related to these treatments prohibit successful administration or completion of therapy. Moreover, it is becoming increasingly evident that nodal, regional, and in-transit disease appears to be resistant to systemic immunotherapy relative to responses observed in distant metastatic disease sites. In this scenario, intralesional immunotherapies may offer benefit. In this case series, we describe the use of intralesional IL-2 and BCG at our institution in ten patients with in-transit plus or minus distant cutaneous metastatic melanoma over the last twelve years. All patients received intralesional IL2 and BCG. Both treatments were very well tolerated with only grade 1/2 adverse events. In our cohort, complete clinical response was 60% (6/10), progressive disease in 20% (2/10), and no response in 20% (2/10) of patients. The overall response rate (ORR) was 70%. The median overall survival was 35.5 months and mean overall survival 43 months in this cohort. Herein we further highlight the clinical, histopathological, and radiological course of two complete responders, showing evidence of an abscopal effect with resolution of distant untreated metastasis. Together, this limited data supports the safe and effective use of intralesional IL2 and BCG for the treatment of metastatic or in-transit melanoma in this challenging patient cohort. To our knowledge, this is the first formal study to report on this combination therapy for the treatment of melanoma.

摘要

皮肤黑色素瘤相对常见,发病率不断上升,死亡率颇高。虽然治疗的主要手段是手术,但III期和IV期疾病患者的预后比早期疾病患者差,且往往受益于辅助治疗。尽管全身免疫疗法改变了黑色素瘤的治疗格局,但对一些患者而言,与这些治疗相关的全身毒性会妨碍治疗的成功实施或完成。此外,越来越明显的是,相对于远处转移病灶的反应,区域淋巴结和移行转移病灶似乎对全身免疫疗法具有抗性。在这种情况下,病灶内免疫疗法可能有益。在本病例系列中,我们描述了过去十二年间在我们机构对十例伴有或不伴有远处皮肤转移性黑色素瘤的移行转移患者使用病灶内注射白细胞介素-2(IL-2)和卡介苗(BCG)的情况。所有患者均接受了病灶内IL-2和BCG注射。两种治疗的耐受性都非常好,仅有1/2级不良事件。在我们的队列中,完全临床缓解率为60%(6/10),疾病进展率为20%(2/10),无反应率为20%(2/10)。总缓解率(ORR)为70%。该队列的中位总生存期为35.5个月,平均总生存期为43个月。在此,我们进一步突出了两名完全缓解者的临床、组织病理学和放射学病程,显示出远处未治疗转移灶消退的远隔效应证据。总体而言,这些有限的数据支持在这一具有挑战性的患者队列中安全有效地使用病灶内IL-2和BCG治疗转移性或移行性黑色素瘤。据我们所知,这是第一项报道这种联合疗法治疗黑色素瘤的正式研究。

https://cdn.ncbi.nlm.nih.gov/pmc/blobs/f9a5/10172468/7d17159360e0/fonc-13-1160269-g001.jpg

文献AI研究员

20分钟写一篇综述,助力文献阅读效率提升50倍。

立即体验

用中文搜PubMed

大模型驱动的PubMed中文搜索引擎

马上搜索

文档翻译

学术文献翻译模型,支持多种主流文档格式。

立即体验