Suppr超能文献

自身免疫性胶质纤维酸性蛋白(Gfap)星形细胞病伴可逆性胼胝体病变综合征(RESLES):一例报告及文献复习

Autoimmune Glial Fibrillary Acidic Protein (Gfap) Astrocytopa-Thy Accompanied with Reversible Splenial Lesion Syndrome (RESLES): A Case Report and Literature Review.

作者信息

Wang Siting, Yuan Jianlan, Liu Jingli

机构信息

Department of Neurology, The First Affiliated Hospital of Guangxi Medical University, Nanning 530021, China.

出版信息

Brain Sci. 2023 Apr 14;13(4):659. doi: 10.3390/brainsci13040659.

Abstract

BACKGROUND

Autoimmune glial fibrillary acidic protein (GFAP) astrocytopathy usually presents as meningoencephalomyelitis. Many patients developed flu-like symptoms preceding the neurologic symptoms. Reversible lesion in the splenium of the corpus callosum (SCC) is a clinical and radiological syndrome secondary to many kinds of etiologies, including infections, which is termed RESLES.

CASE PRESENTATION

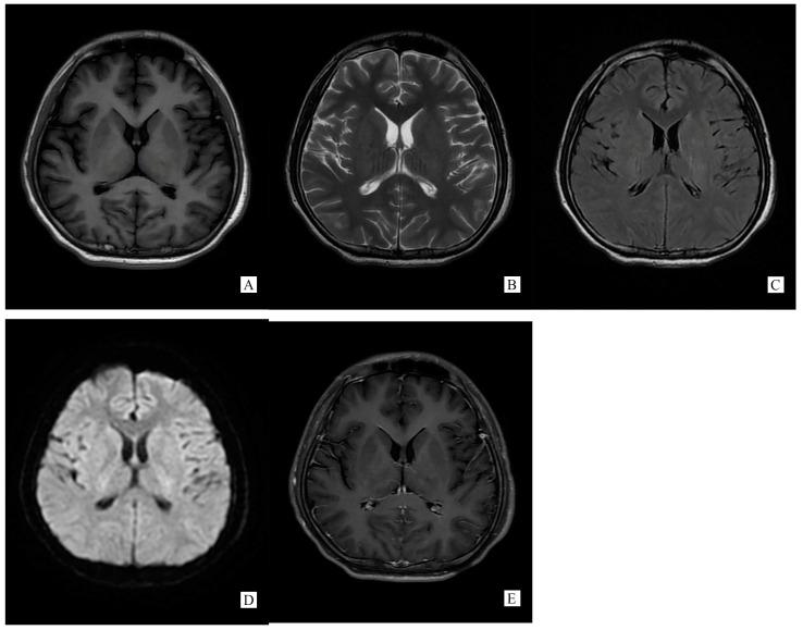
we reported a case developing irregularly high fever, both temporal pain, low limbs fatigue with frequent urination admitted to our neurology department. CSF test showed GFAP-IgG positive, elevated WBC counts and protein, with low glucose and chlorine, while MRI showed a reversible lesion on SCC, leading us to diagnose autoimmune GFAP autocytopathy accompanied with RESLES. The boy had significantly improved after anti-virus and steroids therapy.

DISCUSSION

Autoimmune GFAP autocytopathy accompanied with RESLES is rarely seen, and pathogenesis for the co-existence has not been clarified. Autoimmune GFAP autocytopathy and RESLES are both related to viral infection. Our case covered infectious symptoms and improved after antiviral treatment, suggesting virus infection may perform a key role in pathogenesis.

摘要

背景

自身免疫性胶质纤维酸性蛋白(GFAP)星形细胞病通常表现为脑膜脑脊髓炎。许多患者在出现神经系统症状之前会出现类似流感的症状。胼胝体压部可逆性病变(RESLES)是继发于多种病因(包括感染)的一种临床和放射学综合征。

病例报告

我们报告了一例因不规则高热、双侧颞部疼痛、下肢乏力伴尿频入住我院神经内科的病例。脑脊液检查显示GFAP-IgG阳性,白细胞计数及蛋白升高,葡萄糖和氯化物降低,而磁共振成像显示胼胝体压部有可逆性病变,从而诊断为自身免疫性GFAP星形细胞病伴RESLES。该男孩在抗病毒及类固醇治疗后有明显改善。

讨论

自身免疫性GFAP星形细胞病伴RESLES罕见,二者共存的发病机制尚未阐明。自身免疫性GFAP星形细胞病和RESLES均与病毒感染有关。我们的病例涵盖感染症状且抗病毒治疗后改善,提示病毒感染可能在发病机制中起关键作用。

https://cdn.ncbi.nlm.nih.gov/pmc/blobs/d954/10136966/ef7265aaa29a/brainsci-13-00659-g002.jpg

文献AI研究员

20分钟写一篇综述,助力文献阅读效率提升50倍。

立即体验

用中文搜PubMed

大模型驱动的PubMed中文搜索引擎

马上搜索

文档翻译

学术文献翻译模型,支持多种主流文档格式。

立即体验