Suppr超能文献

自身免疫性胶质纤维酸性蛋白星形细胞病的临床及影像学表现回顾以助早期诊断

Review of clinical and imaging findings in autoimmune glial fibrillary acidic protein astrocytopathy to aid in early diagnosis.

作者信息

Li Xiaomeng, Li Jiacun, Xu Han, Liu Xiaohui, Li Meilin, He Jingzhen, Xiu Jianjun

机构信息

Department of Radiology, Shandong Provincial Hospital Affiliated to Shandong First Medical University, Jinan, Shandong, China.

Department of Radiology, People's Hospital of RiZhao, RiZhao, Shandong, China.

出版信息

Front Immunol. 2024 Dec 10;15:1466847. doi: 10.3389/fimmu.2024.1466847. eCollection 2024.

Abstract

OBJECTIVE

Autoimmune glial fibrillary acidic protein astrocytopathy (GFAP-A) is a novel steroid sensitive autoimmune disease, without a diagnostic consensus. The purpose of this study was to improve early GFAP-A diagnosis by increasing awareness of key clinical characteristics and imaging manifestations.

METHODS

Medical records of 13 patients with anti-GFAP antibodies in serum or cerebrospinal fluid (CSF) were reviewed for cross-sectional and longitudinal analysis of clinical and magnetic resonance imaging (MRI) findings.

RESULTS

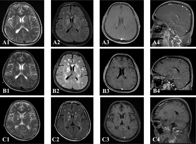
The predominant GFAP-A clinical manifestations are limb weakness/numbness and fever. GFAP-A has a propensity in the early stage for meningeal and leptomeningeal lesions on the brainstem surface, with a typical pattern of periventricular linear radial and leptomeningeal enhancement. The clinical manifestations and leptomeningeal enhancement were rapidly alleviated after treatment with high doses of corticosteroids or/and intravenous immunoglobulin, although, there are patients who may present with increased brain parenchymal lesions. On 3T MRI, the spinal cord demonstrated extensive longitudinal T2-weighted hyper-intensity, central distribution, and gray matter involvement. Optic nerve involvement in some patients was also noted with optic nerve swelling and abnormal enhancement. In addition to the classic reversible splenium of corpus callosum syndrome (type I), this study found the much rarer type II with diffusion restriction on DWI (Diffusion Weighted Imaging) in the corpus callosum. Positive anti-GFAP antibodies in serum or cerebrospinal fluid (CSF) are important for GFAP-A diagnosis with overlapping antibodies commonly noted. This study found anti-GM3 antibodies, a rare finding also previously reported.

CONCLUSION

This study correlates GFAP-A clinical and imaging features, noting a "delay" phenomenon between clinical manifestations, treatment response, and radiographic MRI findings. MRI T2-FLAIR brainstem hyperintensity and T2-FLAIR gadolinium enhanced images, and subtraction techniques were valuable for early lesion detection and accurate diagnosis.

摘要

目的

自身免疫性胶质纤维酸性蛋白星形细胞病(GFAP-A)是一种新型的类固醇敏感性自身免疫性疾病,尚无诊断共识。本研究的目的是通过提高对关键临床特征和影像学表现的认识来改善GFAP-A的早期诊断。

方法

回顾了13例血清或脑脊液(CSF)中抗GFAP抗体阳性患者的病历,以对临床和磁共振成像(MRI)结果进行横断面和纵向分析。

结果

GFAP-A的主要临床表现为肢体无力/麻木和发热。GFAP-A在早期倾向于脑干表面的脑膜和软脑膜病变,具有典型的脑室周围线性放射状和软脑膜强化模式。高剂量皮质类固醇或/和静脉注射免疫球蛋白治疗后,临床表现和软脑膜强化迅速缓解,尽管有些患者可能出现脑实质病变增加。在3T MRI上,脊髓表现为广泛的纵向T2加权高信号、中央分布和灰质受累。部分患者还出现视神经受累,表现为视神经肿胀和异常强化。除了经典的胼胝体压部可逆综合征(I型)外,本研究还发现了胼胝体在扩散加权成像(DWI)上有扩散受限的更为罕见的II型。血清或脑脊液(CSF)中抗GFAP抗体阳性对GFAP-A诊断很重要,常见有重叠抗体。本研究发现了抗GM3抗体,这也是先前报道的罕见发现。

结论

本研究将GFAP-A的临床和影像学特征相关联,指出了临床表现、治疗反应和MRI影像学表现之间的“延迟”现象。MRI的T2-FLAIR脑干高信号和T2-FLAIR钆增强图像以及减影技术对早期病变检测和准确诊断很有价值。

https://cdn.ncbi.nlm.nih.gov/pmc/blobs/e06b/11666433/2fd9e895c802/fimmu-15-1466847-g001.jpg

文献AI研究员

20分钟写一篇综述,助力文献阅读效率提升50倍。

立即体验

用中文搜PubMed

大模型驱动的PubMed中文搜索引擎

马上搜索

文档翻译

学术文献翻译模型,支持多种主流文档格式。

立即体验