Suppr超能文献

磷脂转运蛋白 PITPNC1 将 KRAS 与 MYC 连接起来,以防止肺癌和胰腺癌中的自噬。

The phospholipid transporter PITPNC1 links KRAS to MYC to prevent autophagy in lung and pancreatic cancer.

机构信息

Program in Solid Tumours, University of Navarra, Centre of Applied Medical Research (CIMA), 55 Pio XII Avenue, 31008, Pamplona, Spain.

Centro de Investigación Biomédica en Red de Cáncer (CIBERONC), Madrid, Spain.

出版信息

Mol Cancer. 2023 May 20;22(1):86. doi: 10.1186/s12943-023-01788-w.

Abstract

BACKGROUND

The discovery of functionally relevant KRAS effectors in lung and pancreatic ductal adenocarcinoma (LUAD and PDAC) may yield novel molecular targets or mechanisms amenable to inhibition strategies. Phospholipids availability has been appreciated as a mechanism to modulate KRAS oncogenic potential. Thus, phospholipid transporters may play a functional role in KRAS-driven oncogenesis. Here, we identified and systematically studied the phospholipid transporter PITPNC1 and its controlled network in LUAD and PDAC.

METHODS

Genetic modulation of KRAS expression as well as pharmacological inhibition of canonical effectors was completed. PITPNC1 genetic depletion was performed in in vitro and in vivo LUAD and PDAC models. PITPNC1-deficient cells were RNA sequenced, and Gene Ontology and enrichment analyses were applied to the output data. Protein-based biochemical and subcellular localization assays were run to investigate PITPNC1-regulated pathways. A drug repurposing approach was used to predict surrogate PITPNC1 inhibitors that were tested in combination with KRASG12C inhibitors in 2D, 3D, and in vivo models.

RESULTS

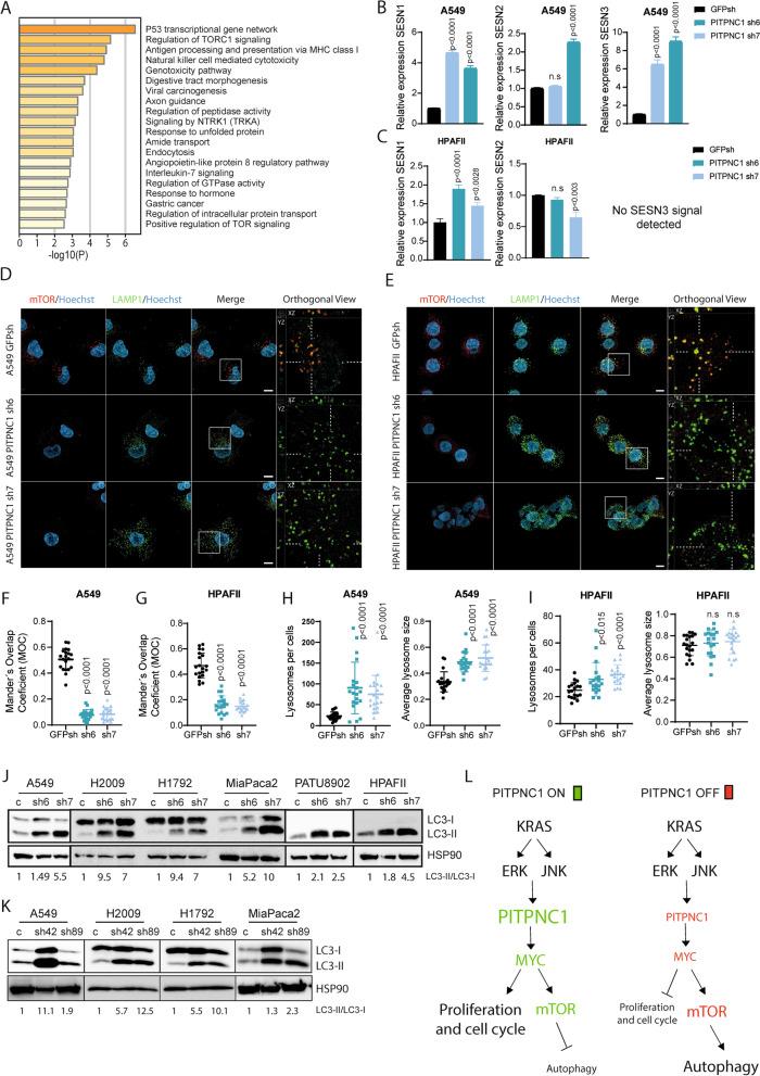
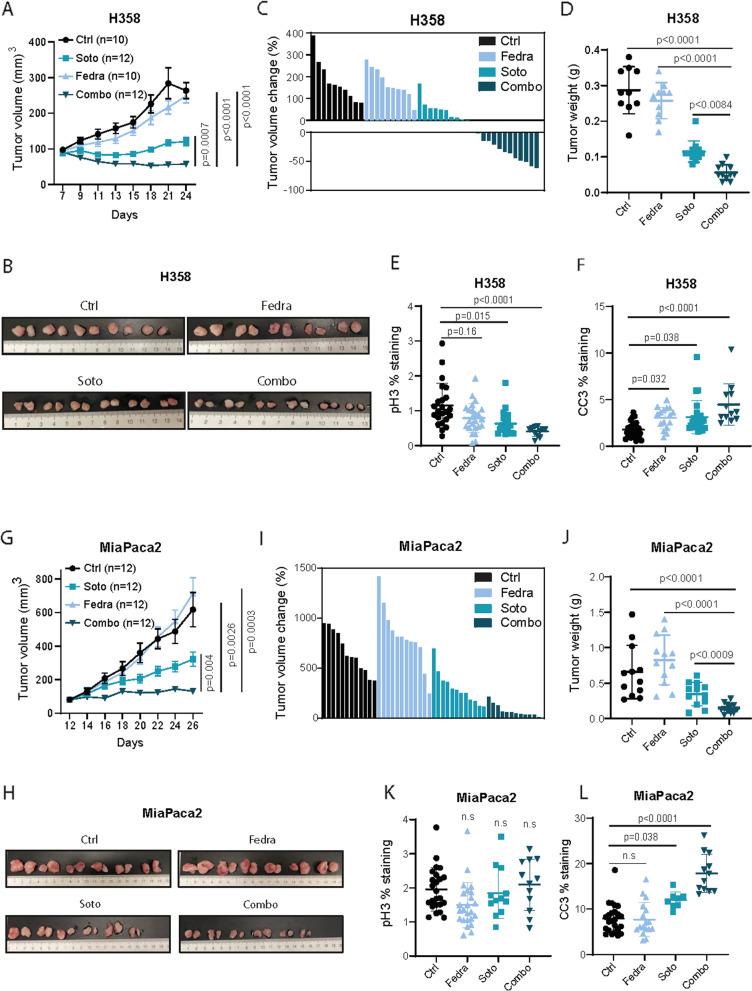
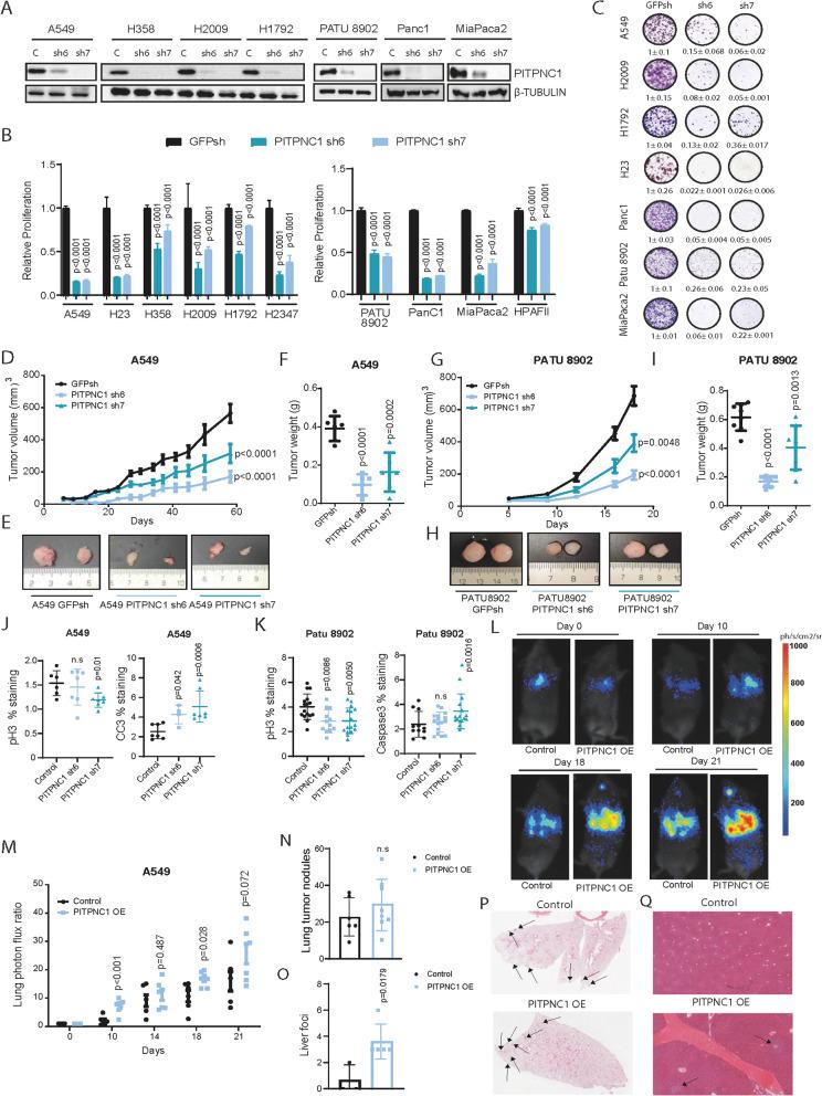
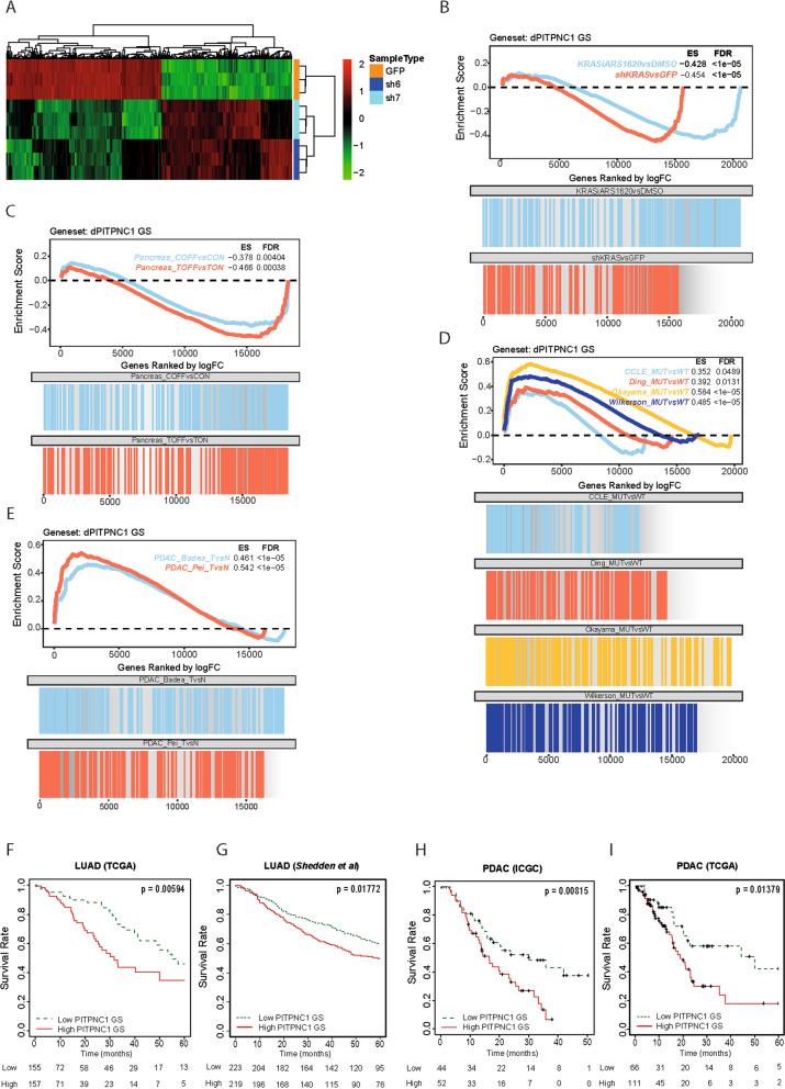
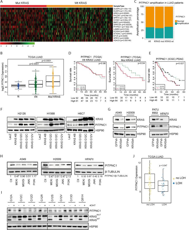
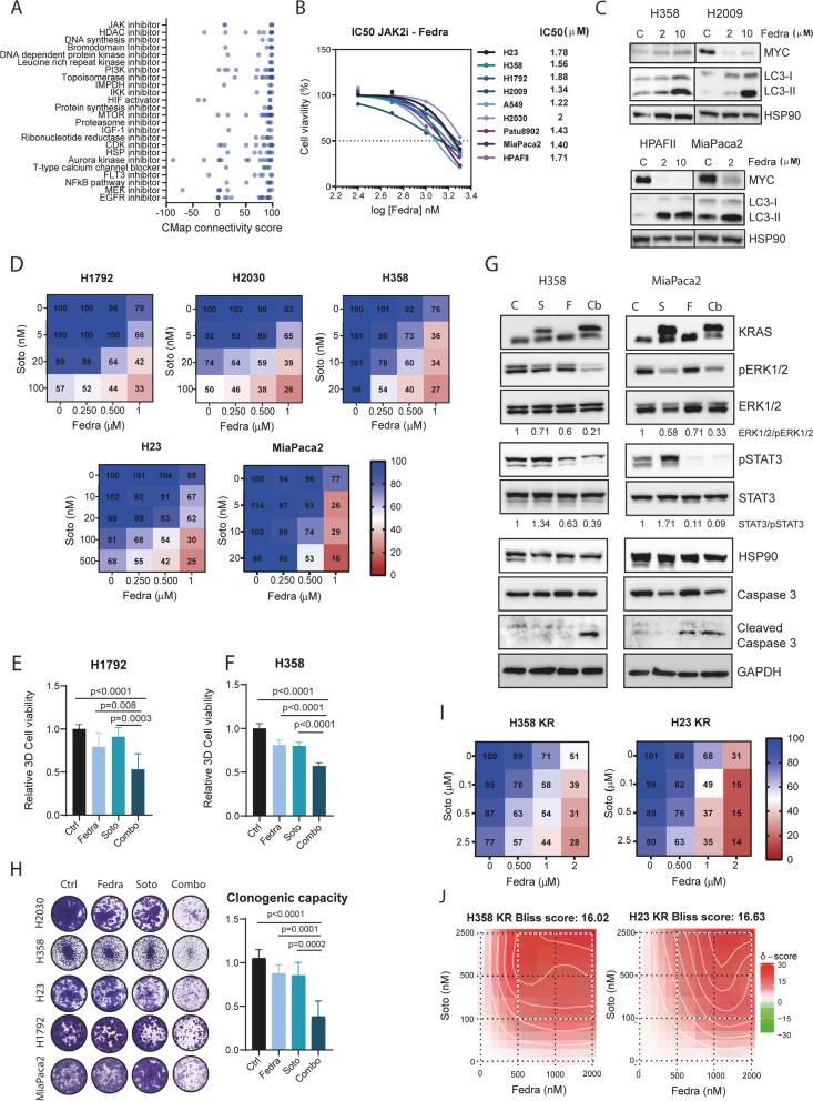
PITPNC1 was increased in human LUAD and PDAC, and associated with poor patients' survival. PITPNC1 was regulated by KRAS through MEK1/2 and JNK1/2. Functional experiments showed PITPNC1 requirement for cell proliferation, cell cycle progression and tumour growth. Furthermore, PITPNC1 overexpression enhanced lung colonization and liver metastasis. PITPNC1 regulated a transcriptional signature which highly overlapped with that of KRAS, and controlled mTOR localization via enhanced MYC protein stability to prevent autophagy. JAK2 inhibitors were predicted as putative PITPNC1 inhibitors with antiproliferative effect and their combination with KRASG12C inhibitors elicited a substantial anti-tumour effect in LUAD and PDAC.

CONCLUSIONS

Our data highlight the functional and clinical relevance of PITPNC1 in LUAD and PDAC. Moreover, PITPNC1 constitutes a new mechanism linking KRAS to MYC, and controls a druggable transcriptional network for combinatorial treatments.

摘要

背景

在肺和胰腺导管腺癌(LUAD 和 PDAC)中发现功能相关的 KRAS 效应子,可能会产生新的分子靶点或易于抑制策略的机制。已经认识到磷脂的可用性是调节 KRAS 致癌潜力的一种机制。因此,磷脂转运蛋白可能在 KRAS 驱动的致癌作用中发挥功能作用。在这里,我们鉴定并系统研究了 LUAD 和 PDAC 中的磷脂转运蛋白 PITPNC1 及其控制网络。

方法

完成了 KRAS 表达的遗传调节以及经典效应子的药理学抑制。在体外和体内 LUAD 和 PDAC 模型中进行了 PITPNC1 基因缺失。对 PITPNC1 缺陷细胞进行 RNA 测序,并对输出数据进行基因本体论和富集分析。进行基于蛋白质的生化和亚细胞定位测定,以研究 PITPNC1 调节的途径。采用药物再利用方法预测替代 PITPNC1 抑制剂,然后在 2D、3D 和体内模型中与 KRASG12C 抑制剂联合测试。

结果

PITPNC1 在人类 LUAD 和 PDAC 中增加,并与患者不良预后相关。PITPNC1 受 KRAS 通过 MEK1/2 和 JNK1/2 调节。功能实验表明 PITPNC1 是细胞增殖、细胞周期进展和肿瘤生长所必需的。此外,PITPNC1 的过表达增强了肺定植和肝转移。PITPNC1 调节的转录特征与 KRAS 高度重叠,并通过增强 MYC 蛋白稳定性来控制 mTOR 定位,以防止自噬。预测 JAK2 抑制剂是潜在的 PITPNC1 抑制剂,具有抗增殖作用,与 KRASG12C 抑制剂联合使用可在 LUAD 和 PDAC 中产生显著的抗肿瘤作用。

结论

我们的数据强调了 PITPNC1 在 LUAD 和 PDAC 中的功能和临床相关性。此外,PITPNC1 构成了将 KRAS 与 MYC 联系起来的新机制,并控制了可用于联合治疗的可药物治疗转录网络。

https://cdn.ncbi.nlm.nih.gov/pmc/blobs/0e37/10199551/5db34eaac593/12943_2023_1788_Fig1_HTML.jpg

文献AI研究员

20分钟写一篇综述,助力文献阅读效率提升50倍。

立即体验

用中文搜PubMed

大模型驱动的PubMed中文搜索引擎

马上搜索

文档翻译

学术文献翻译模型,支持多种主流文档格式。

立即体验