Suppr超能文献

全面分析揭示 APOBEC 突变对食管鳞癌肿瘤免疫浸润和免疫治疗反应的影响及其分子机制。

Comprehensive Analyses Reveal Effects on Tumor Immune Infiltration and Immunotherapy Response of APOBEC Mutagenesis and Its Molecular Mechanisms in Esophageal Squamous Cell Carcinoma.

机构信息

Department of Etiology and Carcinogenesis, National Cancer Center/National Clinical Research Center for Cancer/Cancer Hospital, Chinese Academy of Medical Sciences and Peking Union Medical College, Beijing 100021, China.

Key Laboratory of Cancer Genomic Biology, Chinese Academy of Medical Sciences and Peking Union Medical College, Beijing 100021, China.

出版信息

Int J Biol Sci. 2023 May 8;19(8):2551-2571. doi: 10.7150/ijbs.83824. eCollection 2023.

Abstract

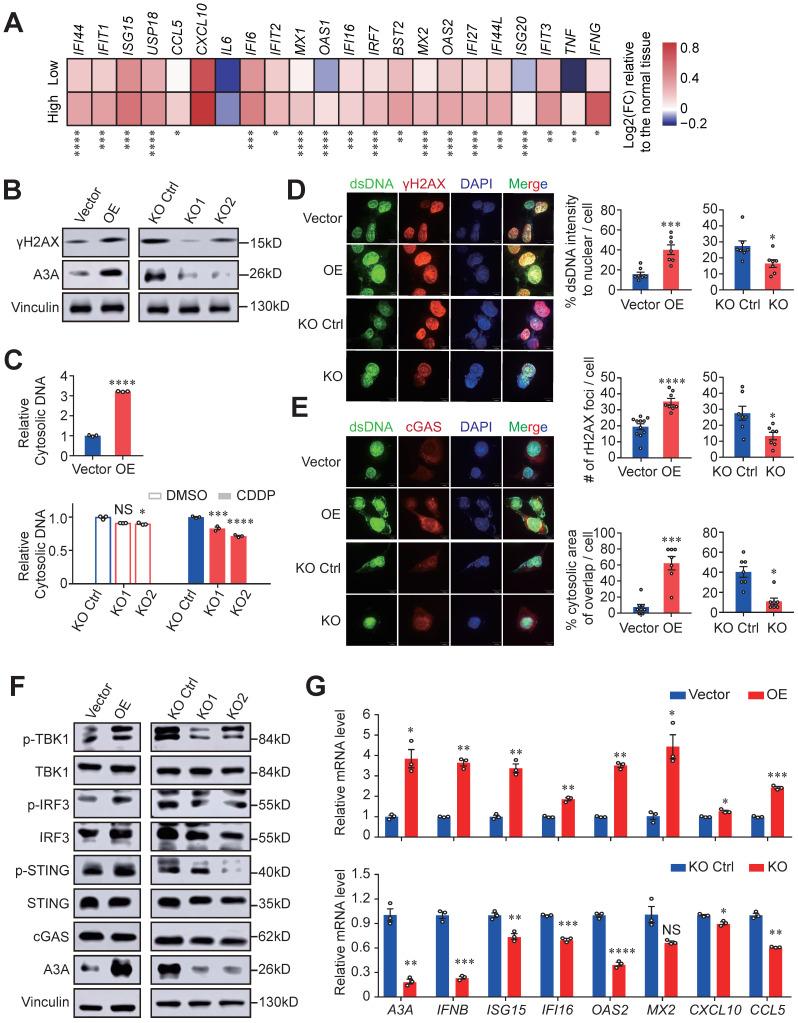
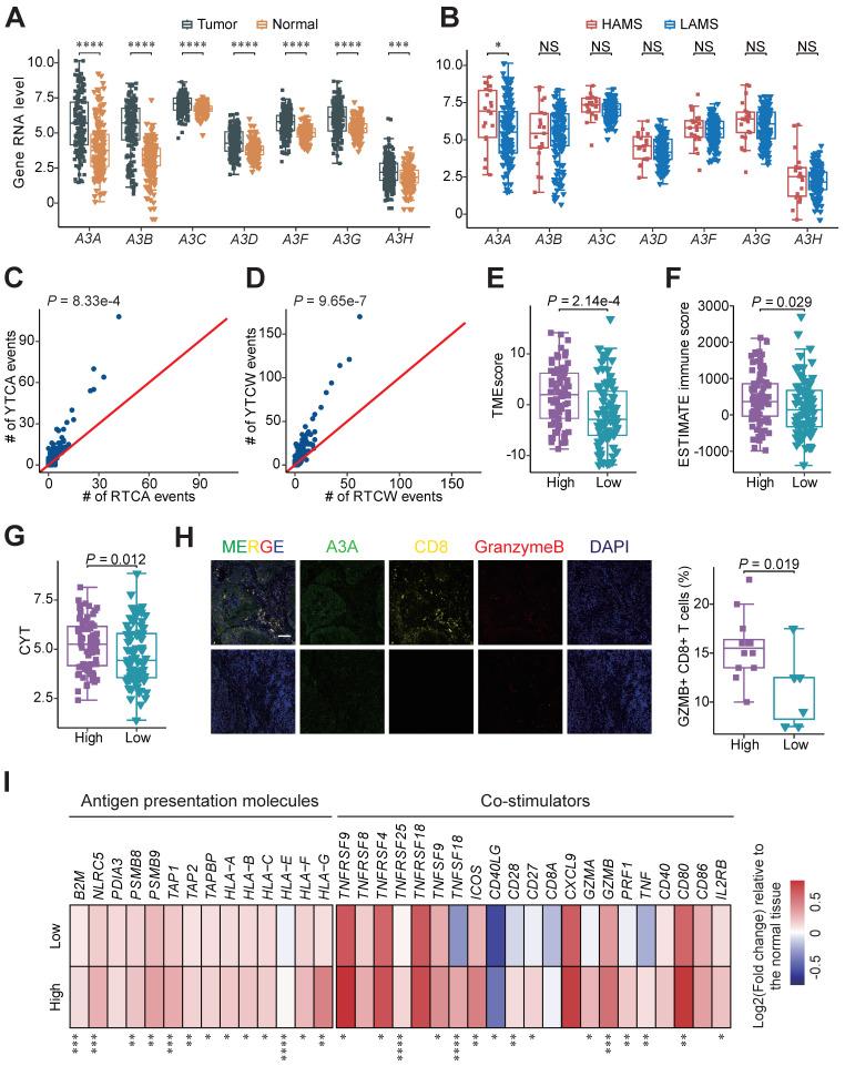
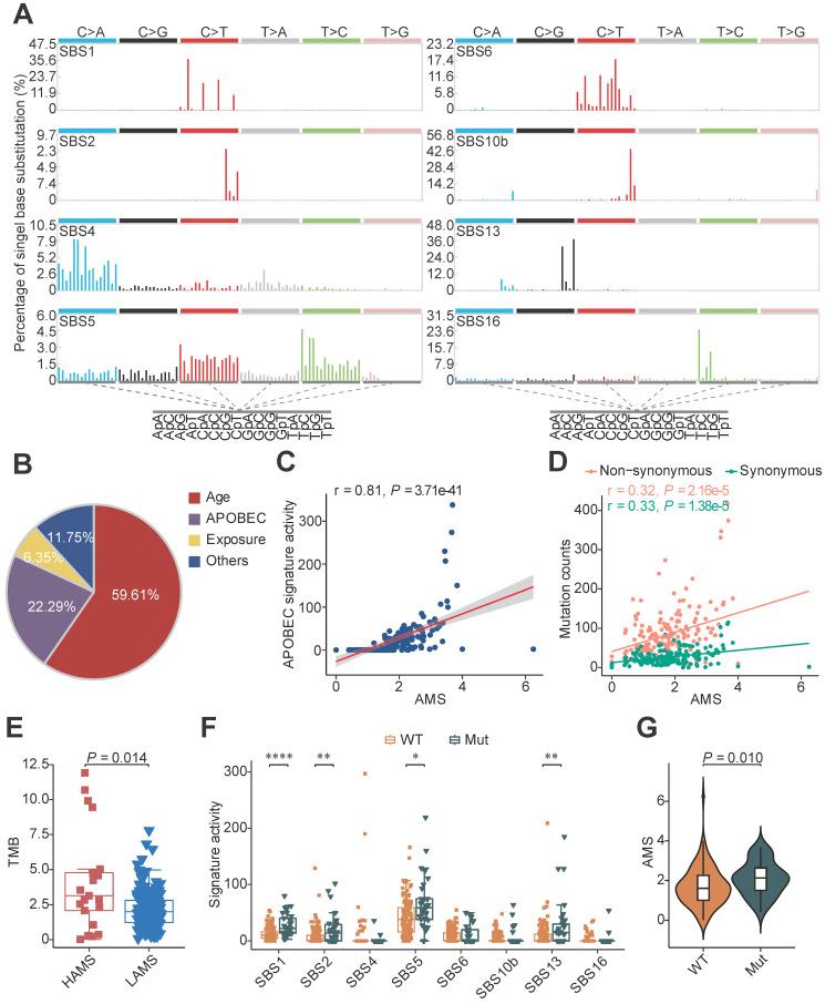
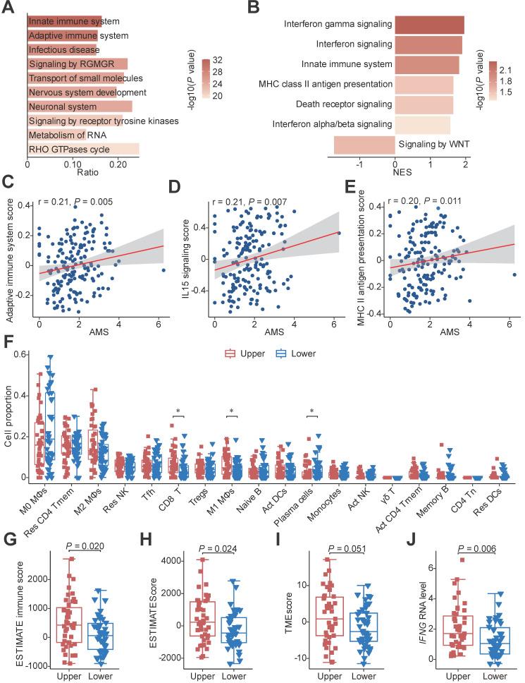
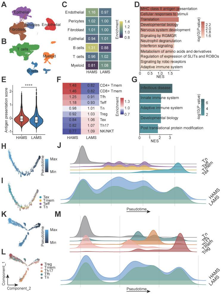
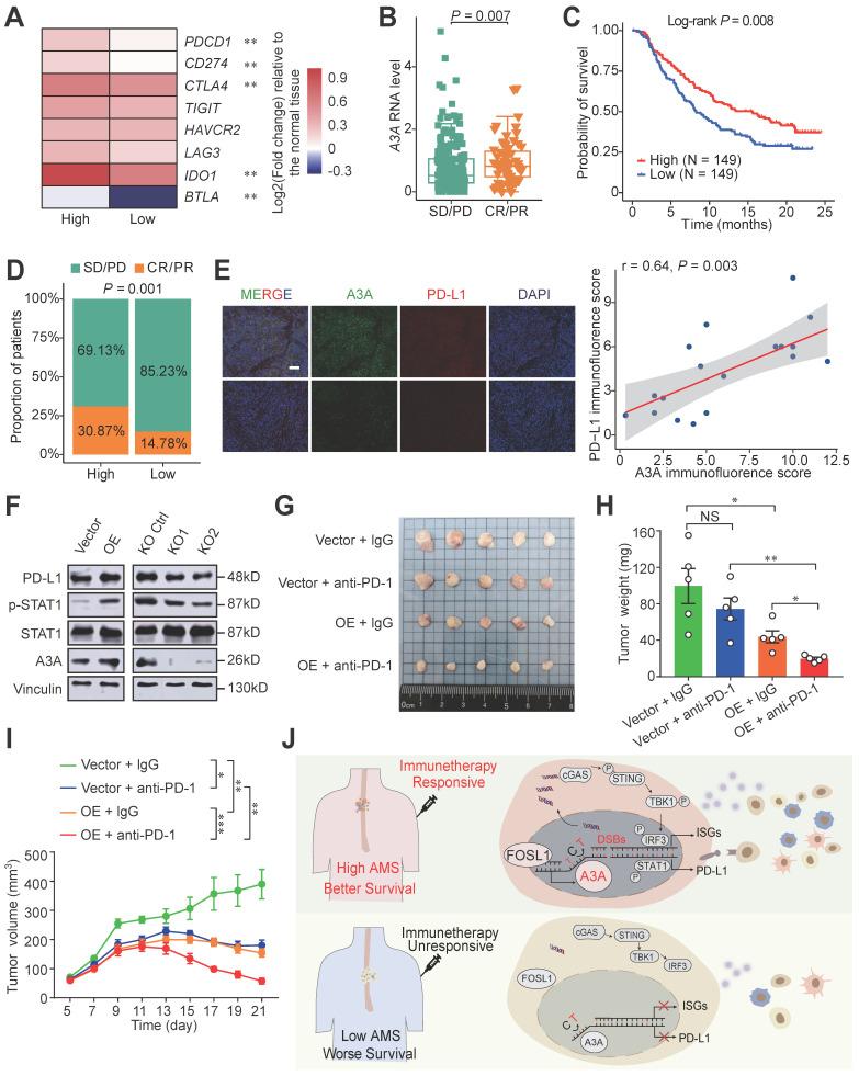
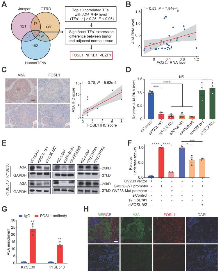
The apolipoprotein B mRNA editing enzyme catalytic polypeptide (APOBEC) mutagenesis is prevalent in esophageal squamous cell carcinoma (ESCC). However, the functional role of APOBEC mutagenesis has yet to be fully delineated. To address this, we collect matched multi-omics data of 169 ESCC patients and evaluate characteristics of immune infiltration using multiple bioinformatic approaches based on bulk and single-cell RNA sequencing (scRNA-seq) data and verified by functional assays. We find that APOBEC mutagenesis prolongs overall survival (OS) of ESCC patients. The reason for this outcome is probably due to high anti-tumor immune infiltration, immune checkpoints expression and immune related pathway enrichment, such as interferon (IFN) signaling, innate and adaptive immune system. The elevated AOBEC3A (A3A) activity paramountly contributes to the footprints of APOBEC mutagenesis and is first discovered to be transactivated by FOSL1. Mechanistically, upregulated exacerbates cytosolic double-stranded DNA (dsDNA) accumulation, thus stimulating cGAS-STING pathway. Simultaneously, is associated with immunotherapy response which is predicted by TIDE algorithm, validated in a clinical cohort and further confirmed in mouse models. These findings systematically elucidate the clinical relevance, immunological characteristics, prognostic value for immunotherapy and underlying mechanisms of APOBEC mutagenesis in ESCC, which demonstrate great potential in clinical utility to facilitate clinical decisions.

摘要

载脂蛋白 B mRNA 编辑酶催化多肽 (APOBEC) 突变在食管鳞状细胞癌 (ESCC) 中很常见。然而,APOBEC 突变的功能作用尚未完全阐明。为了解决这个问题,我们收集了 169 名 ESCC 患者的匹配多组学数据,并使用基于批量和单细胞 RNA 测序 (scRNA-seq) 数据的多种生物信息学方法评估免疫浸润的特征,并通过功能测定进行验证。我们发现 APOBEC 突变延长了 ESCC 患者的总生存期 (OS)。这种结果的原因可能是由于高抗肿瘤免疫浸润、免疫检查点表达和免疫相关途径的富集,如干扰素 (IFN) 信号、先天和适应性免疫系统。升高的 AOBEC3A (A3A) 活性对 APOBEC 突变的痕迹至关重要,并且首次发现它被 FOSL1 反式激活。在机制上,上调加剧了细胞质双链 DNA (dsDNA) 的积累,从而刺激 cGAS-STING 途径。同时,与免疫治疗反应相关,这是由 TIDE 算法预测的,在临床队列中得到验证,并在小鼠模型中进一步证实。这些发现系统地阐明了 APOBEC 突变在 ESCC 中的临床相关性、免疫学特征、免疫治疗的预后价值和潜在机制,为临床决策提供了很大的临床应用潜力。

https://cdn.ncbi.nlm.nih.gov/pmc/blobs/406e/10197887/09dea636f8e3/ijbsv19p2551g001.jpg

文献AI研究员

20分钟写一篇综述,助力文献阅读效率提升50倍。

立即体验

用中文搜PubMed

大模型驱动的PubMed中文搜索引擎

马上搜索

文档翻译

学术文献翻译模型,支持多种主流文档格式。

立即体验