Suppr超能文献

冷冻消融与免疫治疗:癌症治疗的迷人协同。

Cryoablation and Immunotherapy: An Enthralling Synergy for Cancer Treatment.

机构信息

Agro-Food and Environmental Biosciences and Technologies Department, University of Teramo, 64100 Teramo, Italy.

Cryolebabon and Medical Devices Sarl, Beirut 1107 2020, Lebanon.

出版信息

Curr Oncol. 2023 May 8;30(5):4844-4860. doi: 10.3390/curroncol30050365.

Abstract

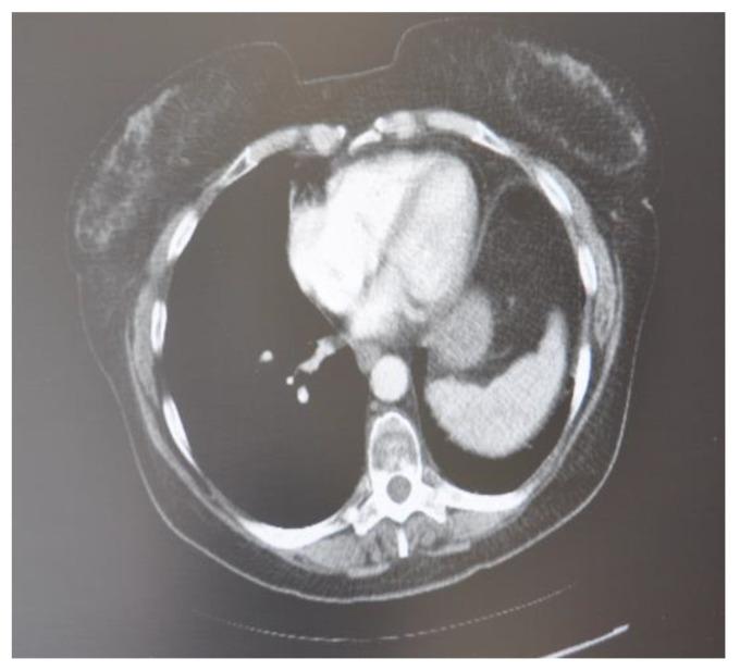
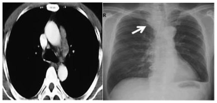
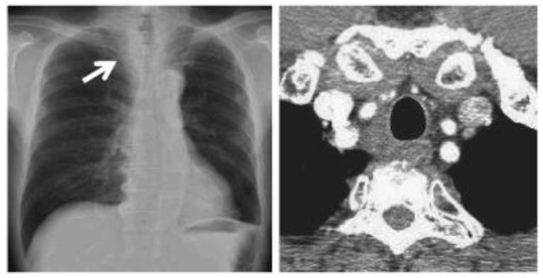
As less invasive options for surgical tumor removal, minimally invasive ablative techniques have gained popularity. Several solid tumors are being treated with cryoablation, a non-heat-based ablation technique. Cryoablation data in comparison over time demonstrates better tumor response and faster recovery. Combining cryosurgery with other cancer therapies has been explored to improve the cancer-killing process. Cryoablation with the combination of immunotherapy, results in a robust and efficient attack on the cancer cells. This article focuses on investigating the ability of cryosurgery to create a strong antitumor response when combined with immunologic agents resulting in a synergetic effect. To achieve this objective, we combined cryosurgery with immunotherapy using Nivolumab and lpilimumab. Five clinical cases of lymph node, lung cancer, bone, and lung metastasis were followed and analyzed. In this series of patients, percutaneous cryoablation and addressing immunity agents were technically feasible. In the follow-ups, there appeared to be no radiological evidence of new tumor development.

摘要

作为手术肿瘤切除的微创选择,微创消融技术已经越来越受欢迎。几种实体肿瘤正在接受冷冻消融治疗,这是一种非热消融技术。随着时间的推移,冷冻消融的数据显示出更好的肿瘤反应和更快的恢复。冷冻手术与其他癌症治疗方法的结合已被探索用于改善癌症杀伤过程。冷冻消融联合免疫疗法可以有效地攻击癌细胞。本文重点研究了冷冻手术与免疫药物联合使用时对肿瘤产生强烈抗肿瘤反应的能力,从而产生协同作用。为了实现这一目标,我们使用 Nivolumab 和 ipilimumab 将冷冻手术与免疫疗法相结合。对 5 例淋巴结、肺癌、骨和肺转移的临床病例进行了随访和分析。在这一系列患者中,经皮冷冻消融和免疫治疗具有技术可行性。在随访中,似乎没有新的肿瘤发展的放射学证据。

https://cdn.ncbi.nlm.nih.gov/pmc/blobs/ef97/10217386/f1767a759f81/curroncol-30-00365-g001.jpg

文献AI研究员

20分钟写一篇综述,助力文献阅读效率提升50倍。

立即体验

用中文搜PubMed

大模型驱动的PubMed中文搜索引擎

马上搜索

文档翻译

学术文献翻译模型,支持多种主流文档格式。

立即体验