Suppr超能文献

竞争性排斥对鸡传播产 ESBL 大肠杆菌的调节作用。

Modulatory Effect of Competitive Exclusion on the Transmission of ESBL E. coli in Chickens.

机构信息

Agricultural Research Center, Reference Laboratory for Veterinary Quality Control On Poultry Production, Animal Health Research Institute, P.O. 12618, Gamasa, Egypt.

Agriculture Research Center (ARC), Animal Health Research Institute (AHRI), P.O. 44516, Zagazig, Egypt.

出版信息

Probiotics Antimicrob Proteins. 2024 Jun;16(3):1087-1098. doi: 10.1007/s12602-023-10095-1. Epub 2023 Jun 6.

Abstract

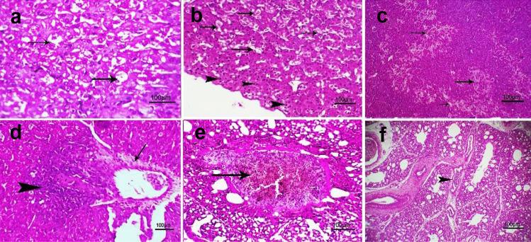
The extensive use of antimicrobial agents in broiler farms causes the emergence of antimicrobial resistance of E. coli producing severe economic losses to the poultry industry; therefore, monitoring the transmission of ESBL E. coli is of great significance throughout broiler farms. For this reason, we investigated the efficiency of competitive exclusion (CE) products to control the excretion and transmission of ESBL-producing E. coli in broiler chickens. Three hundred samples from 100 broiler chickens were screened for the incidence of E. coli by standard microbiological techniques. The overall isolation percentage was 39% and differentiated serologically into ten different serotypes: O158, O128, O125, O124, O91, O78, O55, O44, O2, and O1. The isolates represented absolute resistance to ampicillin, cefotaxime, and cephalexin. The effectiveness of CE (commercial probiotic product; Gro2MAX) on ESBL-producing E. coli (O78) isolate transmission and excretion was studied in vivo. The results showed that the CE product has interesting properties, making it an excellent candidate for targeted drug delivery by inhibiting bacterial growth and downregulating biofilm, adhesins, and toxin-associated genes loci. The histopathological findings demonstrated the capability of CE in repairing internal organ tissues. Our outcomes suggested that the administration of CE (probiotic products) in broiler farms could be a safe and alternative approach to control the transmission of ESBL-producing virulent E. coli in broiler chickens.

摘要

在肉鸡养殖场中广泛使用抗菌剂会导致产生严重经济损失的大肠杆菌产生抗菌药物耐药性;因此,监测 ESBL 大肠杆菌的传播对整个肉鸡养殖场都具有重要意义。出于这个原因,我们研究了竞争性排斥(CE)产品控制肉鸡中产生 ESBL 的大肠杆菌排泄和传播的效率。通过标准微生物技术从 100 只肉鸡中筛选了 300 个样本,以确定大肠杆菌的发病率。总体分离率为 39%,并通过血清学区分成十个不同的血清型:O158、O128、O125、O124、O91、O78、O55、O44、O2 和 O1。这些分离株对氨苄西林、头孢噻肟和头孢氨苄绝对耐药。体内研究了 CE(商业益生菌产品;Gro2MAX)对产生 ESBL 的大肠杆菌(O78)分离株传播和排泄的影响。结果表明,CE 产品具有有趣的特性,使其通过抑制细菌生长和下调生物膜、黏附素和毒素相关基因座,成为靶向药物递送的优秀候选物。组织病理学发现证明了 CE 修复内脏组织的能力。我们的结果表明,在肉鸡养殖场中使用 CE(益生菌产品)可能是一种安全且替代的方法,可控制肉鸡中产生 ESBL 的毒力大肠杆菌的传播。

https://cdn.ncbi.nlm.nih.gov/pmc/blobs/2331/11126521/919e4b921787/12602_2023_10095_Fig1_HTML.jpg

文献AI研究员

20分钟写一篇综述,助力文献阅读效率提升50倍。

立即体验

用中文搜PubMed

大模型驱动的PubMed中文搜索引擎

马上搜索

文档翻译

学术文献翻译模型,支持多种主流文档格式。

立即体验