Suppr超能文献

使用骨水泥型和非骨水泥型锥形股骨假体进行全髋关节置换术的长期结果

Long term results of total hip arthroplasty with cemented and cementless tapered femoral component.

作者信息

Factor Shai, Rutenberg Tal Frenkel, Garceau Simon, Gold Aviram, Morgan Samuel, Snir Nimrod, Warschawski Yaniv

机构信息

Division of Orthopedic Surgery, Tel Aviv Medical Center, Tel Aviv 6423906, Israel; Affiliated to Sackler Faculty of Medicine, Tel Aviv University, Tel Aviv, Israel.

Rabin Medical Center, Division of Orthopaedics, Petach Tikva, Israel.

出版信息

SICOT J. 2023;9:17. doi: 10.1051/sicotj/2023014. Epub 2023 Jun 5.

Abstract

BACKGROUND

Excellent midterm results for total hip arthroplasties (THA) with cementless, tapered porous Taperloc femoral stems have been reported. Reports regarding such cemented stems, however, are lacking.

OBJECTIVES

To evaluate the long-term outcomes of both cemented and cementless THAs with the Taperloc femoral component.

METHODS

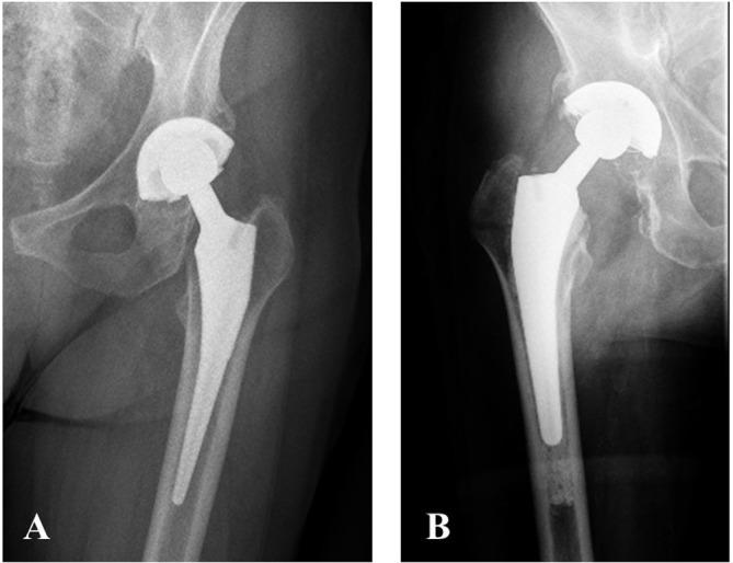
The medical records of 71 patients (76 hips), operated on between January 1991 and December 2003, who had a minimum follow-up of 10 years were available for analysis. Functional analysis was performed with the Harris hip score (HHS) questionnaire and the numerical analogue scale (NAS). Radiographic analysis was performed for subsidence, radiolucent lines and osteolysis.

RESULTS

The cohort was comprised of 47 female and 24 male patients, with a mean age of 59.7 ± 12.4 years. The mean follow-up was 17.8 ± 4.4 years. 52.6% of THAs analyzed were cementless and 47.4% were cemented. Post-operative radiographs were available for 57 surgeries. Subsidence, hypertrophic ossification, radiolucent lines and osteolysis were noted in 4 (7%), 2 (2.6%), 14 (18.4%) and 11 (14.5%) hips respectively. The average HHS score at a mean follow-up of 20.1 ± 3.9 years was 62.1 (±27.7) and the NAS score was 4.6 (±3.6). During the study period, five revision surgeries were performed due to stem-related problems, one of which was for aseptic loosening.

CONCLUSIONS

Our long-term experience with the Taperloc stem, both cemented and cementless, demonstrates good outcomes, with low rates of failure. This makes this prosthesis an attractive option for THAs.

LEVEL OF EVIDENCE

IV.

摘要

背景

有报道称,采用非骨水泥型锥形多孔Taperloc股骨柄的全髋关节置换术(THA)中期效果良好。然而,关于此类骨水泥型股骨柄的报道却很缺乏。

目的

评估采用Taperloc股骨组件的骨水泥型和非骨水泥型THA的长期疗效。

方法

对1991年1月至2003年12月期间接受手术、随访至少10年的71例患者(76髋)的病历进行分析。采用Harris髋关节评分(HHS)问卷和数字模拟量表(NAS)进行功能分析。对下沉、透光线和骨溶解进行影像学分析。

结果

该队列包括47例女性和24例男性患者,平均年龄为59.7±12.4岁。平均随访时间为17.8±4.4年。分析的THA中,52.6%为非骨水泥型,47.4%为骨水泥型。57例手术有术后X线片。分别在4髋(7%)、2髋(2.6%)、14髋(18.4%)和11髋(14.5%)中发现下沉、肥大性骨化、透光线和骨溶解。在平均随访20.1±3.9年时,平均HHS评分为62.1(±27.7),NAS评分为4.6(±3.6)。在研究期间,因股骨柄相关问题进行了5次翻修手术,其中1次是因无菌性松动。

结论

我们使用骨水泥型和非骨水泥型Taperloc柄的长期经验表明,疗效良好,失败率低。这使得这种假体成为THA的一个有吸引力的选择。

证据等级

IV级。

https://cdn.ncbi.nlm.nih.gov/pmc/blobs/275e/10243125/54bed57a417e/sicotj-9-17-fig1.jpg

文献AI研究员

20分钟写一篇综述,助力文献阅读效率提升50倍。

立即体验

用中文搜PubMed

大模型驱动的PubMed中文搜索引擎

马上搜索

文档翻译

学术文献翻译模型,支持多种主流文档格式。

立即体验