Suppr超能文献

β-细辛脑通过激活内质网应激抑制膀胱癌的迁移、侵袭和 EMT。

β-asarone inhibits the migration, invasion, and EMT of bladder cancer through activating ER stress.

机构信息

Department of Surgical Oncology, The First Affiliated Hospital of Xi'an Jiaotong University, Xi'an, P. R. China.

Department of Urology, The First Affiliated Hospital of Xi'an Jiaotong University, Xi'an, P. R. China.

出版信息

Cancer Med. 2023 Jun;12(12):13610-13622. doi: 10.1002/cam4.6059. Epub 2023 Jun 12.

Abstract

BACKGROUND

β-asarone (β-as), a compound extracted from Acorus calamus, has been found to have anticancer effects on a variety of human cancers. However, the potential effect of β-as on bladder cancer (BCa) remains unknown.

METHODS

After exposure to β-as, migration, invasion, and epithelial-mesenchymal transition (EMT) of BCa were determined by wound healing, transwell, and Western blot assays. Expression of proteins involved in the EMT and ER stress were explored by Western blot assays. Nude mouse xenograft model was served as the model system in vivo.

RESULTS

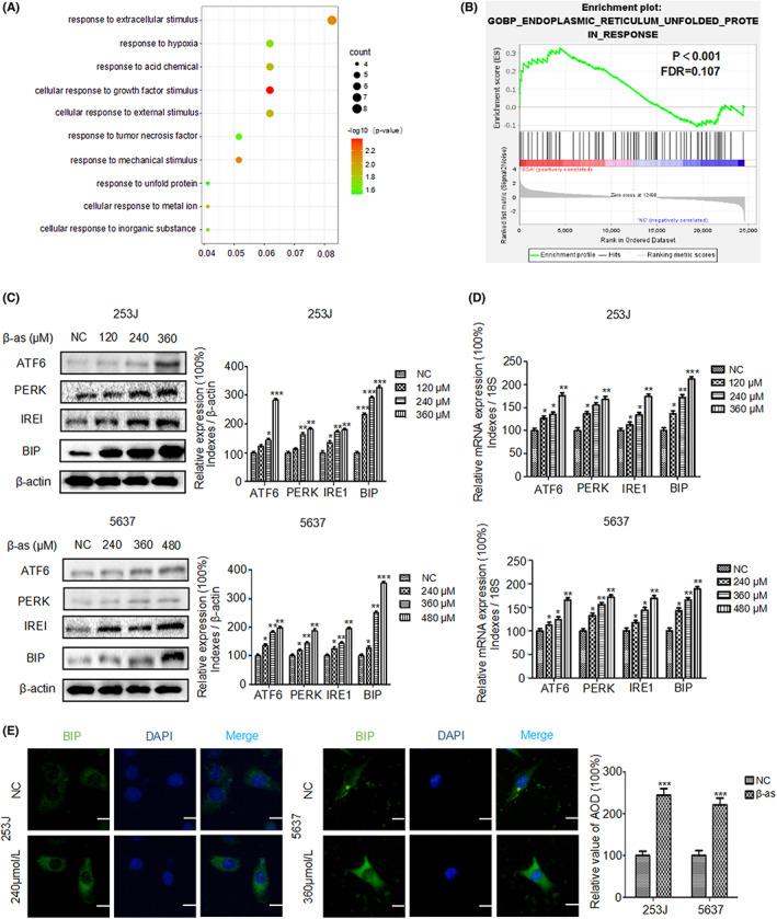
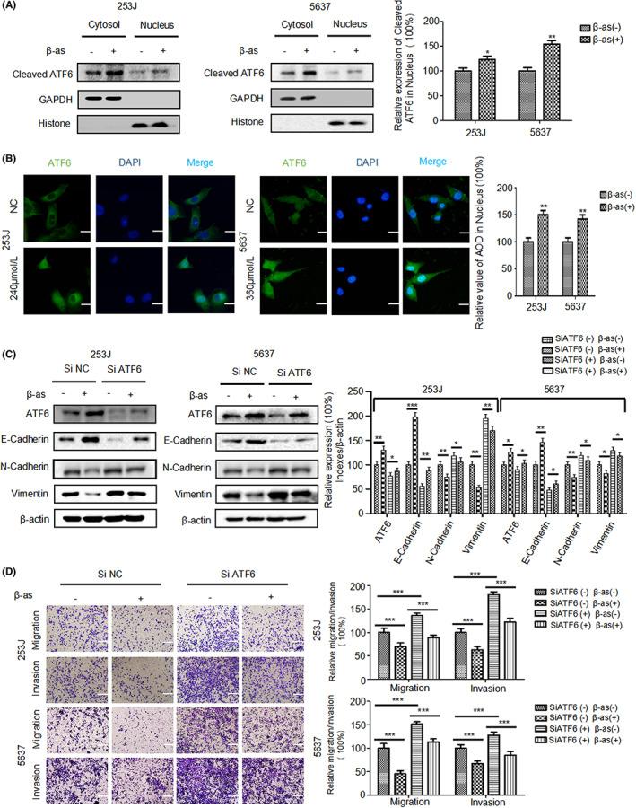
The migration, invasion, and EMT of BCa were significantly inhibited after β-as treatment. Further experiments revealed that endoplasmic reticulum (ER) stress is involved in β-as-mediated metastasis inhibition. In addition, β-as significantly up-regulated activating transcription factor 6 (ATF6), a branch of ER stress, and promoted its Golgi cleavage and nuclear localization. ATF6 silencing attenuated β-as-mediated metastasis and EMT inhibition in BCa cells.

CONCLUSION

Our data suggests that β-as inhibits migration, invasion, and EMT of BCa by activating the ATF6 branch of ER stress. Thus, β-as represents a potential candidate for BCa treatment.

摘要

背景

β-细辛脑(β-as)是从菖蒲中提取的一种化合物,已被发现对多种人类癌症具有抗癌作用。然而,β-as 对膀胱癌(BCa)的潜在影响尚不清楚。

方法

用 β-as 处理后,通过划痕实验、Transwell 实验和 Western blot 实验检测 BCa 的迁移、侵袭和上皮-间充质转化(EMT)。通过 Western blot 实验探索 EMT 和内质网应激中涉及的蛋白表达。裸鼠异种移植模型作为体内模型系统。

结果

β-as 处理后,BCa 的迁移、侵袭和 EMT 明显受到抑制。进一步的实验表明内质网(ER)应激参与了 β-as 介导的转移抑制。此外,β-as 显著上调了内质网应激的分支激活转录因子 6(ATF6),并促进了其高尔基体切割和核定位。ATF6 沉默减弱了 β-as 介导的 BCa 细胞转移和 EMT 抑制。

结论

我们的数据表明,β-as 通过激活内质网应激的 ATF6 分支抑制 BCa 的迁移、侵袭和 EMT。因此,β-as 代表了治疗膀胱癌的潜在候选药物。

https://cdn.ncbi.nlm.nih.gov/pmc/blobs/88c9/10315742/ac888eca7368/CAM4-12-13610-g003.jpg

文献AI研究员

20分钟写一篇综述,助力文献阅读效率提升50倍。

立即体验

用中文搜PubMed

大模型驱动的PubMed中文搜索引擎

马上搜索

文档翻译

学术文献翻译模型,支持多种主流文档格式。

立即体验