Suppr超能文献

NLRX1在Pan02胰腺癌细胞中发挥肿瘤抑制因子的作用。

NLRX1 functions as a tumor suppressor in Pan02 pancreatic cancer cells.

作者信息

Nagai-Singer Margaret A, Morrison Holly A, Woolls Mackenzie K, Leedy Katerina, Imran Khan Mohammad, Tupik Juselyn D, Allen Irving C

机构信息

Department of Biomedical Sciences and Pathobiology, Virginia-Maryland College of Veterinary Medicine, Virginia Tech, Blacksburg, VA, United States.

Graduate Program in Translational Biology, Medicine and Health, Virginia Tech, Roanoke, VA, United States.

出版信息

Front Oncol. 2023 Jun 5;13:1155831. doi: 10.3389/fonc.2023.1155831. eCollection 2023.

Abstract

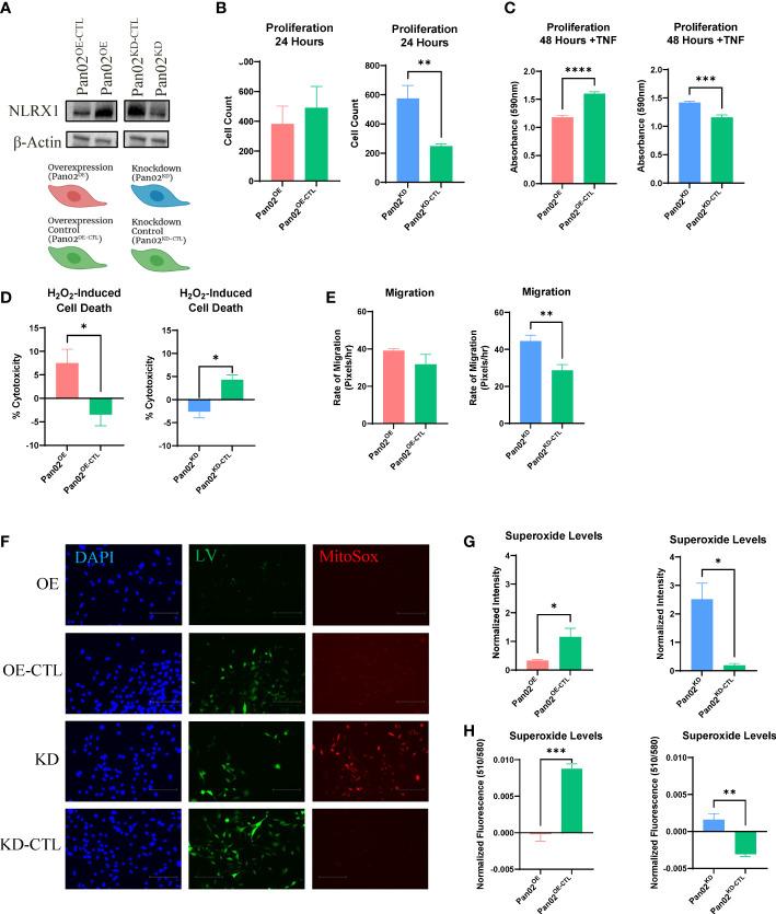
Pancreatic cancer is a deadly malignancy with limited treatment options. NLRX1 is a unique, understudied member of the Nod-like Receptor (NLR) family of pattern recognition receptors that regulates a variety of biological processes that are highly relevant to pancreatic cancer. The role of NLRX1 in cancer remains highly enigmatic, with some studies defining its roles as a tumor promoter, while others characterize its contributions to tumor suppression. These seemingly contradicting roles appear to be due, at least in part, to cell type and temporal mechanisms. Here, we define roles for NLRX1 in regulating critical hallmarks of pancreatic cancer using both gain-of-function and loss-of-function studies in murine Pan02 cells. Our data reveals that NLRX1 increases susceptibility to cell death, while also suppressing proliferation, migration, and reactive oxygen species production. We also show that NLRX1 protects against upregulated mitochondrial activity and limits energy production in the Pan02 cells. Transcriptomics analysis revealed that the protective phenotypes associated with NLRX1 are correlated with attenuation of NF-κB, MAPK, AKT, and inflammasome signaling. Together, these data demonstrate that NLRX1 diminishes cancer-associated biological functions in pancreatic cancer cells and establishes a role for this unique NLR in tumor suppression.

摘要

胰腺癌是一种致命的恶性肿瘤,治疗选择有限。NLRX1是Nod样受体(NLR)家族模式识别受体中一个独特且研究较少的成员,它调节多种与胰腺癌高度相关的生物学过程。NLRX1在癌症中的作用仍然非常神秘,一些研究将其作用定义为肿瘤促进因子,而另一些研究则描述了其对肿瘤抑制的贡献。这些看似矛盾的作用似乎至少部分归因于细胞类型和时间机制。在这里,我们通过在小鼠Pan02细胞中进行功能获得和功能丧失研究,确定了NLRX1在调节胰腺癌关键特征中的作用。我们的数据显示,NLRX1增加了细胞对死亡的易感性,同时还抑制了增殖、迁移和活性氧的产生。我们还表明,NLRX1可防止Pan02细胞中线粒体活性上调并限制能量产生。转录组学分析表明,与NLRX1相关的保护表型与NF-κB、MAPK、AKT和炎性小体信号传导的减弱相关。总之,这些数据表明NLRX1可减少胰腺癌细胞中与癌症相关的生物学功能,并确立了这种独特的NLR在肿瘤抑制中的作用。

https://cdn.ncbi.nlm.nih.gov/pmc/blobs/a617/10277690/a9e6f0c62e5b/fonc-13-1155831-g001.jpg

文献AI研究员

20分钟写一篇综述,助力文献阅读效率提升50倍。

立即体验

用中文搜PubMed

大模型驱动的PubMed中文搜索引擎

马上搜索

文档翻译

学术文献翻译模型,支持多种主流文档格式。

立即体验