Suppr超能文献

脑膜转移:病理生理学、诊断方法学和治疗全景的综述。

Leptomeningeal Metastasis: A Review of the Pathophysiology, Diagnostic Methodology, and Therapeutic Landscape.

机构信息

College of Medicine, University of Florida, Gainesville, FL 32610, USA.

School of Medicine, Tulane University, New Orleans, LA 70112, USA.

出版信息

Curr Oncol. 2023 Jun 19;30(6):5906-5931. doi: 10.3390/curroncol30060442.

Abstract

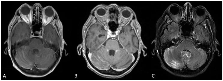
The present review aimed to establish an understanding of the pathophysiology of leptomeningeal disease as it relates to late-stage development among different cancer types. For our purposes, the focused metastatic malignancies include breast cancer, lung cancer, melanoma, primary central nervous system tumors, and hematologic cancers (lymphoma, leukemia, and multiple myeloma). Of note, our discussion was limited to cancer-specific leptomeningeal metastases secondary to the aforementioned primary cancers. LMD mechanisms secondary to non-cancerous pathologies, such as infection or inflammation of the leptomeningeal layer, were excluded from our scope of review. Furthermore, we intended to characterize general leptomeningeal disease, including the specific anatomical infiltration process/area, CSF dissemination, manifesting clinical symptoms in patients afflicted with the disease, detection mechanisms, imaging modalities, and treatment therapies (both preclinical and clinical). Of these parameters, leptomeningeal disease across different primary cancers shares several features. Pathophysiology regarding the development of CNS involvement within the mentioned cancer subtypes is similar in nature and progression of disease. Consequently, detection of leptomeningeal disease, regardless of cancer type, employs several of the same techniques. Cerebrospinal fluid analysis in combination with varied imaging (CT, MRI, and PET-CT) has been noted in the current literature as the gold standard in the diagnosis of leptomeningeal metastasis. Treatment options for the disease are both varied and currently in development, given the rarity of these cases. Our review details the differences in leptomeningeal disease as they pertain through the lens of several different cancer subtypes in an effort to highlight the current state of targeted therapy, the potential shortcomings in treatment, and the direction of preclinical and clinical treatments in the future. As there is a lack of comprehensive reviews that seek to characterize leptomeningeal metastasis from various solid and hematologic cancers altogether, the authors intended to highlight not only the overlapping mechanisms but also the distinct patterning of disease detection and progression as a means to uniquely treat each metastasis type. The scarcity of LMD cases poses a barrier to more robust evaluations of this pathology. However, as treatments for primary cancers have improved over time, so has the incidence of LMD. The increase in diagnosed cases only represents a small fraction of LMD-afflicted patients. More often than not, LMD is determined upon autopsy. The motivation behind this review stems from the increased capacity to study LMD in spite of scarcity or poor patient prognosis. In vitro analysis of leptomeningeal cancer cells has allowed researchers to approach this disease at the level of cancer subtypes and markers. We ultimately hope to facilitate the clinical translation of LMD research through our discourse.

摘要

本综述旨在了解脑膜疾病的病理生理学,因为它与不同癌症类型的晚期发展有关。为此,我们重点关注转移性恶性肿瘤,包括乳腺癌、肺癌、黑色素瘤、原发性中枢神经系统肿瘤和血液系统癌症(淋巴瘤、白血病和多发性骨髓瘤)。值得注意的是,我们的讨论仅限于上述原发性癌症引起的癌症特异性脑膜转移。我们的综述范围不包括非癌症病理引起的脑膜疾病机制,例如脑膜层的感染或炎症。此外,我们旨在描述脑膜疾病的一般特征,包括特定的解剖学浸润过程/区域、CSF 传播、患有该疾病的患者的临床表现、检测机制、成像方式和治疗方法(临床前和临床)。在这些参数中,不同原发性癌症的脑膜疾病具有几个共同特征。所提到的癌症亚型中 CNS 受累的发展的病理生理学在性质和疾病进展上相似。因此,无论癌症类型如何,脑膜疾病的检测都采用了几种相同的技术。脑脊液分析结合各种成像(CT、MRI 和 PET-CT)在当前文献中被认为是脑膜转移诊断的金标准。鉴于这些病例很少见,因此脑膜疾病的治疗选择多种多样,且仍在不断发展。我们的综述详细说明了几种不同癌症亚型的脑膜疾病之间的差异,旨在突出靶向治疗的现状、治疗的潜在缺陷以及未来临床前和临床治疗的方向。由于缺乏全面的综述,试图将脑膜转移的特征从各种实体瘤和血液瘤癌症中概括出来,作者不仅旨在强调重叠的机制,还旨在强调疾病检测和进展的独特模式,以便对每种转移类型进行独特的治疗。脑膜疾病病例的稀缺性对这种病理学的更深入评估构成了障碍。然而,随着原发性癌症治疗的改善,脑膜疾病的发病率也有所提高。诊断出的病例增加仅代表受脑膜疾病影响的患者的一小部分。通常情况下,脑膜疾病是在尸检时确定的。进行此综述的动机源于尽管病例稀少或患者预后不佳,但仍有能力研究脑膜疾病。脑膜癌细胞的体外分析使研究人员能够在癌症亚型和标志物的层面上研究这种疾病。我们最终希望通过我们的论述促进脑膜疾病研究的临床转化。

https://cdn.ncbi.nlm.nih.gov/pmc/blobs/4864/10297027/c8f85b6cbd1d/curroncol-30-00442-g001.jpg

文献AI研究员

20分钟写一篇综述,助力文献阅读效率提升50倍。

立即体验

用中文搜PubMed

大模型驱动的PubMed中文搜索引擎

马上搜索

文档翻译

学术文献翻译模型,支持多种主流文档格式。

立即体验