Suppr超能文献

成骨细胞衍生的细胞外囊泡通过丝氨酸蛋白酶抑制剂A3(SERPINA3)和脂质运载蛋白2(LCN2)在前列腺癌中发挥成骨和肿瘤抑制功能。

Osteoblast-derived extracellular vesicles exert osteoblastic and tumor-suppressive functions via SERPINA3 and LCN2 in prostate cancer.

作者信息

Ito Kagenori, Yamamoto Tomofumi, Hayashi Yusuke, Sato Shun, Nakayama Jun, Urabe Fumihiko, Shimasaki Takeo, Nakamura Eijiro, Matui Yoshiyuki, Fujimoto Hiroyuki, Kimura Takahiro, Egawa Shin, Ochiya Takahiro, Yamamoto Yusuke

机构信息

Laboratory of Integrative Oncology, National Cancer Center Research Institute, Chuo-ku, Japan.

Department of Urology, Jikei University School of Medicine, Minato-ku, Japan.

出版信息

Mol Oncol. 2023 Oct;17(10):2147-2167. doi: 10.1002/1878-0261.13484. Epub 2023 Aug 4.

Abstract

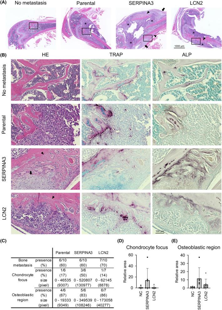
Clinically, the osteolytic phenotype is rare in prostate cancer (PCa), and the prognosis is generally worse than that of the osteoblastic phenotype. Osteoblastic prostate cancer (BPCa) is a major type of bone metastasis. Several factors responsible for osteogenesis have been identified, but the molecular mechanism of osteoblastic bone metastasis in PCa is not fully understood. Here, we show the osteogenic and tumor-suppressive roles of SERPINA3 and LCN2 in BPCa. In a co-culture of osteoblasts (OBs) and BPCa cells, SERPINA3 and LCN2 were remarkably upregulated in BPCa via OB-derived extracellular vesicles, while they were not in the co-culture of OBs and osteolytic prostate cancer (LPCa) cells. In both the co-culture system and mouse xenograft experiments with intracaudal injection, enhanced expression of SERPINA3 and LCN2 in PCa led to osteogenesis. Additionally, the addition of SERPINA3 and LCN2 to BPCa cells significantly suppressed the proliferative potential. Retrospective analysis also confirmed that high expression levels of SERPINA3 and LCN2 were significantly correlated with a better prognosis. Our results may partially explain how osteoblastic bone metastasis develops and why the prognosis for BPCa is relatively better than that for LPCa.

摘要

临床上,溶骨性表型在前列腺癌(PCa)中较为罕见,其预后通常比成骨性表型更差。成骨性前列腺癌(BPCa)是骨转移的主要类型。已经确定了几种促成骨的因素,但PCa中成骨性骨转移的分子机制尚未完全明确。在此,我们展示了丝氨酸蛋白酶抑制剂A3(SERPINA3)和脂质运载蛋白2(LCN2)在BPCa中的成骨和肿瘤抑制作用。在成骨细胞(OBs)与BPCa细胞的共培养中,SERPINA3和LCN2通过OB来源的细胞外囊泡在BPCa中显著上调,而在OBs与溶骨性前列腺癌(LPCa)细胞的共培养中则不然。在共培养系统和尾内注射的小鼠异种移植实验中,PCa中SERPINA3和LCN2的表达增强均导致了成骨。此外,向BPCa细胞中添加SERPINA3和LCN2可显著抑制其增殖潜能。回顾性分析也证实,SERPINA3和LCN2的高表达水平与较好的预后显著相关。我们的结果可能部分解释了成骨性骨转移是如何发生的,以及为什么BPCa的预后相对优于LPCa。

https://cdn.ncbi.nlm.nih.gov/pmc/blobs/06da/10552899/fed83ee38697/MOL2-17-2147-g002.jpg

文献AI研究员

20分钟写一篇综述,助力文献阅读效率提升50倍。

立即体验

用中文搜PubMed

大模型驱动的PubMed中文搜索引擎

马上搜索

文档翻译

学术文献翻译模型,支持多种主流文档格式。

立即体验