Suppr超能文献

钛颗粒暴露的骨细胞通过连接蛋白 43 抑制成骨细胞的分化。

Osteocytes Exposed to Titanium Particles Inhibit Osteoblastic Cell Differentiation via Connexin 43.

机构信息

Department of Orthopedics, The Second Affiliated Hospital of Soochow University, Suzhou 215004, China.

Department of Orthopedics, The First Affiliated Hospital of Soochow University, Suzhou 215004, China.

出版信息

Int J Mol Sci. 2023 Jun 29;24(13):10864. doi: 10.3390/ijms241310864.

Abstract

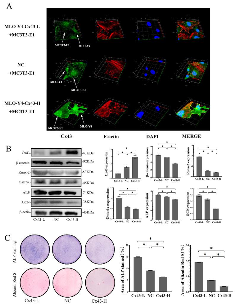
Periprosthetic osteolysis (PPO) induced by wear particles is the most severe complication of total joint replacement; however, the mechanism behind PPO remains elusive. Previous studies have shown that osteocytes play important roles in wear-particle-induced osteolysis. In this study, we investigated the effects of connexin 43 (Cx43) on the regulation of osteocyte-to-osteoblast differentiation. We established an in vivo murine model of calvarial osteolysis induced by titanium (Ti) particles. The osteolysis characteristic and osteogenesis markers in the and were observed. The calvarial osteolysis induced by Ti particles was partially attenuated in . The expression of β-catenin and osteogenesis markers increased significantly in . In vitro, the osteocytic cell line MLO-Y4 was treated with Ti particles. The co-culturing of MLO-Y4 cells with MC3T3-E1 osteoblastic cells was used to observe the effects of Ti-treated osteocytes on osteoblast differentiation. When Cx43 of MLO-Y4 cells was silenced or overexpressed, β-catenin was detected. Additionally, co-immunoprecipitation detection of Cx43 and β-catenin binding in MLO-Y4 cells and MC3T3-E1 cells was performed. Finally, β-catenin expression in MC3T3-E1 cells and osteoblast differentiation were evaluated after 18α-glycyrrhetinic acid (18α-GA) was used to block the intercellular communication of Cx43 between MLO-Y4 and MC3T3-E1 cells. Ti particles increased Cx43 expression and decreased β-catenin expression in MLO-Y4 cells. The silencing of Cx43 increased the β-catenin expression, and the over-expression of Cx43 decreased the β-catenin expression. In the co-culture model, Ti treatment of MLO-Y4 cells inhibited the osteoblastic differentiation of MC3T3-E1 cells and Cx43 silencing in MLO-Y4 cells attenuated the inhibitory effects on osteoblastic differentiation. With Cx43 silencing in the MLO-Y4 cells, the MC3T3-E1 cells, co-cultured alongside MLO-Y4, displayed decreased Cx43 expression, increased β-catenin expression, activation of Runx2, and promotion of osteoblastic differentiation in vitro co-culture. Finally, Cx43 expression was found to be negatively correlated to the activity of the Wnt signaling pathway, mostly through the Cx43 binding of β-catenin from its translocation to the nucleus. The results of our study suggest that Ti particles increased Cx43 expression in osteocytes and that osteocytes may participate in the regulation of osteoblast function via the Cx43 during PPO.

摘要

假体周围骨溶解(PPO)是由磨损颗粒引起的,是全关节置换术最严重的并发症;然而,PPO 的机制仍然难以捉摸。先前的研究表明,骨细胞在磨损颗粒诱导的骨溶解中发挥重要作用。在这项研究中,我们研究了连接蛋白 43(Cx43)对骨细胞向成骨细胞分化的调节作用。我们建立了一个由钛(Ti)颗粒诱导的颅盖骨骨溶解的体内小鼠模型。观察了 和 中的骨溶解特征和成骨标志物。在 中,Ti 颗粒诱导的颅盖骨骨溶解部分减弱。β-catenin 和成骨标志物的表达在 中显著增加。在体外,用 Ti 颗粒处理骨细胞系 MLO-Y4。用 MC3T3-E1 成骨细胞共培养 MLO-Y4 细胞,观察 Ti 处理的成骨细胞对成骨细胞分化的影响。当 MLO-Y4 细胞的 Cx43 被沉默或过表达时,检测到β-catenin。此外,还对 MLO-Y4 细胞和 MC3T3-E1 细胞中的 Cx43 和 β-catenin 结合进行了共免疫沉淀检测。最后,用 18α-甘草次酸(18α-GA)阻断 MLO-Y4 和 MC3T3-E1 细胞之间的 Cx43 细胞间通讯后,评估 MC3T3-E1 细胞中的 β-catenin 表达和成骨细胞分化。Ti 颗粒增加了 MLO-Y4 细胞中 Cx43 的表达,降低了 β-catenin 的表达。Cx43 的沉默增加了 β-catenin 的表达,而过表达 Cx43 则降低了 β-catenin 的表达。在共培养模型中,Ti 处理的 MLO-Y4 细胞抑制了 MC3T3-E1 细胞的成骨分化,而 MLO-Y4 细胞中的 Cx43 沉默减弱了对成骨分化的抑制作用。用 MLO-Y4 细胞中的 Cx43 沉默,与 MLO-Y4 共培养的 MC3T3-E1 细胞显示出 Cx43 表达减少,β-catenin 表达增加,Runx2 激活,并促进体外共培养的成骨分化。最后,发现 Cx43 表达与 Wnt 信号通路的活性呈负相关,主要通过 Cx43 与 β-catenin 的结合,使 β-catenin 从易位到细胞核。我们的研究结果表明,Ti 颗粒增加了成骨细胞中的 Cx43 表达,而在 PPO 过程中,成骨细胞可能通过 Cx43 参与调节成骨细胞功能。

https://cdn.ncbi.nlm.nih.gov/pmc/blobs/a0a0/10342113/eb3ba7210023/ijms-24-10864-g001.jpg

文献AI研究员

20分钟写一篇综述,助力文献阅读效率提升50倍。

立即体验

用中文搜PubMed

大模型驱动的PubMed中文搜索引擎

马上搜索

文档翻译

学术文献翻译模型,支持多种主流文档格式。

立即体验