Suppr超能文献

LncRNA 220:通过 miR-5101/PI3K/AKT/mTOR 轴调控脂多糖诱导的内毒素血症小鼠枯否细胞自噬和凋亡的新型长非编码 RNA

LncRNA 220: A Novel Long Non-Coding RNA Regulates Autophagy and Apoptosis in Kupffer Cells via the miR-5101/PI3K/AKT/mTOR Axis in LPS-Induced Endotoxemic Liver Injury in Mice.

机构信息

Guangdong Provincial Key Laboratory of Proteomics, State Key Laboratory of Organ Failure Research, Department of Pathophysiology, School of Basic Medical Sciences, Southern Medical University, Guangzhou 510515, China.

出版信息

Int J Mol Sci. 2023 Jul 7;24(13):11210. doi: 10.3390/ijms241311210.

Abstract

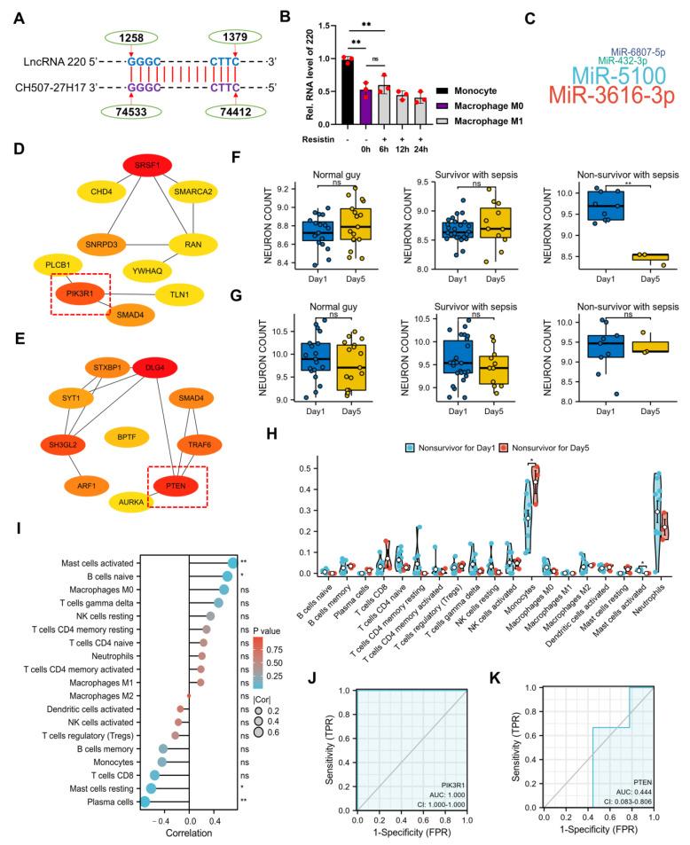
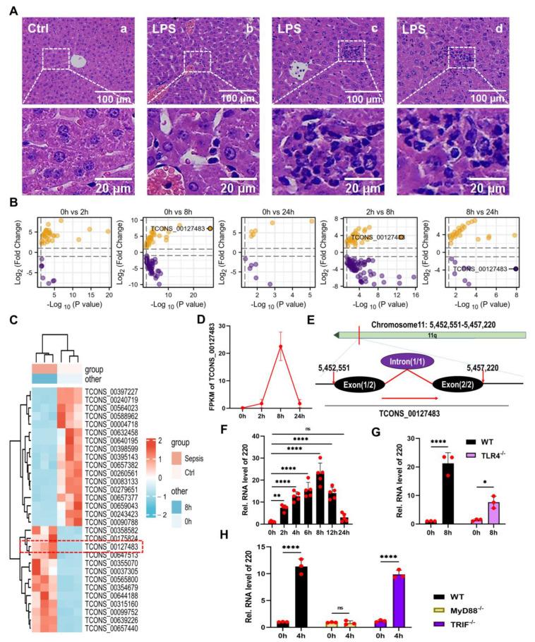
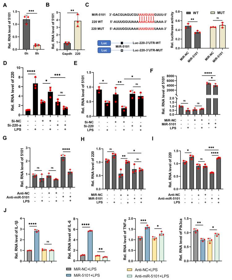
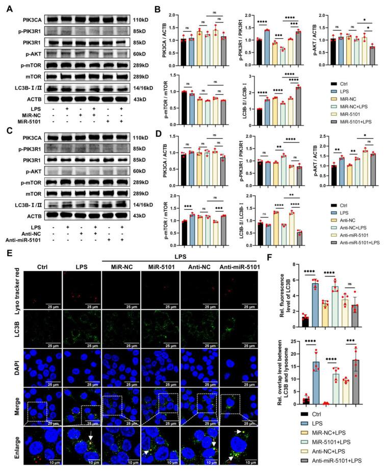
Sepsis is a severe medical condition distinguished by immune systematic dysfunction and multiple organic injury, or even failure, resulting from an acute systemic inflammatory response. Acute liver injury (ALI) could be considered as a notable inflammatory outcome of sepsis. Studies have demonstrated the essential roles played by long non-coding RNAs (lncRNAs) in mediating the processes of various diseases, including their ability to engage in interactions with microRNAs (miRNAs) as complexes of competing endogenous RNA (ceRNA) to modulate signaling pathways. In this study, a newly discovered lncRNA, named 220, was identified to function in regulating autophagy and apoptosis in Kupffer cells treated with lipopolysaccharide (LPS). This was achieved through sponging miR-5101 as a ceRNA complex, as identified via high-throughput sequencing. The expression of 220 was found to be significantly different in the hepatic tissues of endotoxemic mice that were treated with LPS for 8 h, ultimately modulating the ALI process. Our studies have collectively demonstrated that 220 is a novel regulator that acts on LPS-induced autophagy and apoptosis in Kupffer cells, thereby mediating the ALI process induced by LPS. Furthermore, the validation of our findings using clinical databases suggests that 220 could potentially serve as a molecular target of clinical, diagnostic, and therapeutic significance in septic liver injury.

摘要

脓毒症是一种严重的医学病症,其特征为免疫系统性功能障碍和多个器官损伤,甚至衰竭,这是由急性全身炎症反应引起的。急性肝损伤(ALI)可被视为脓毒症的一种显著炎症结果。研究表明,长非编码 RNA(lncRNA)在介导各种疾病的过程中起着重要作用,包括它们能够与 microRNA(miRNA)相互作用作为竞争内源 RNA(ceRNA)复合物来调节信号通路。在这项研究中,发现了一种新的 lncRNA,命名为 220,它在调节脂多糖(LPS)处理的枯否细胞中的自噬和凋亡中发挥作用。这是通过高通量测序鉴定出作为 ceRNA 复合物来吸附 miR-5101 实现的。研究发现,在 LPS 处理 8 小时的内毒素血症小鼠的肝组织中,220 的表达差异显著,最终调节了 ALI 过程。我们的研究表明,220 是一种新型调节剂,可作用于 LPS 诱导的枯否细胞自噬和凋亡,从而介导 LPS 诱导的 ALI 过程。此外,使用临床数据库验证我们的发现表明,220 可能成为脓毒性肝损伤临床、诊断和治疗的潜在分子靶标。

https://cdn.ncbi.nlm.nih.gov/pmc/blobs/61b4/10342868/9a4e043fcbfe/ijms-24-11210-g001.jpg

文献AI研究员

20分钟写一篇综述,助力文献阅读效率提升50倍。

立即体验

用中文搜PubMed

大模型驱动的PubMed中文搜索引擎

马上搜索

文档翻译

学术文献翻译模型,支持多种主流文档格式。

立即体验