Suppr超能文献

水醇提瑞香狼毒叶提取物对急性炎症的调节作用。

Modulating Effects of the Hydroethanolic Leaf Extract of R. Br. Soják (Polygonaceae) against Acute Inflammation.

机构信息

Department of Pharmacology, School of Medical Sciences, University of Cape Coast, Cape Coast, Ghana.

Department of Pharmacotherapeutics and Pharmacy Practice, School of Pharmacy and Pharmaceutical Sciences, University of Cape Coast, Cape Coast, Ghana.

出版信息

ScientificWorldJournal. 2023 Jul 10;2023:5567410. doi: 10.1155/2023/5567410. eCollection 2023.

Abstract

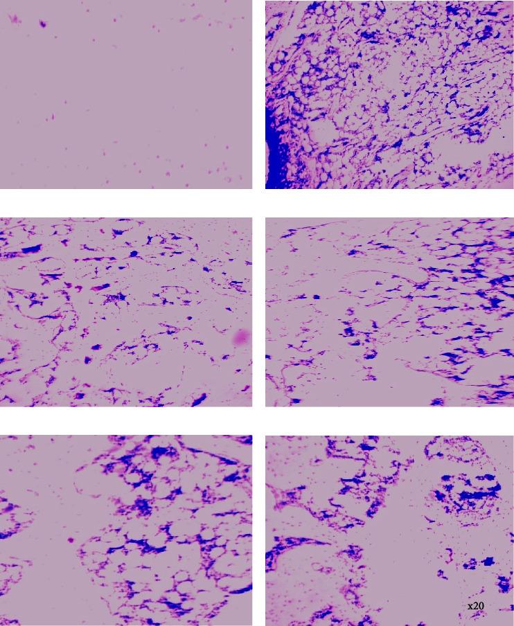
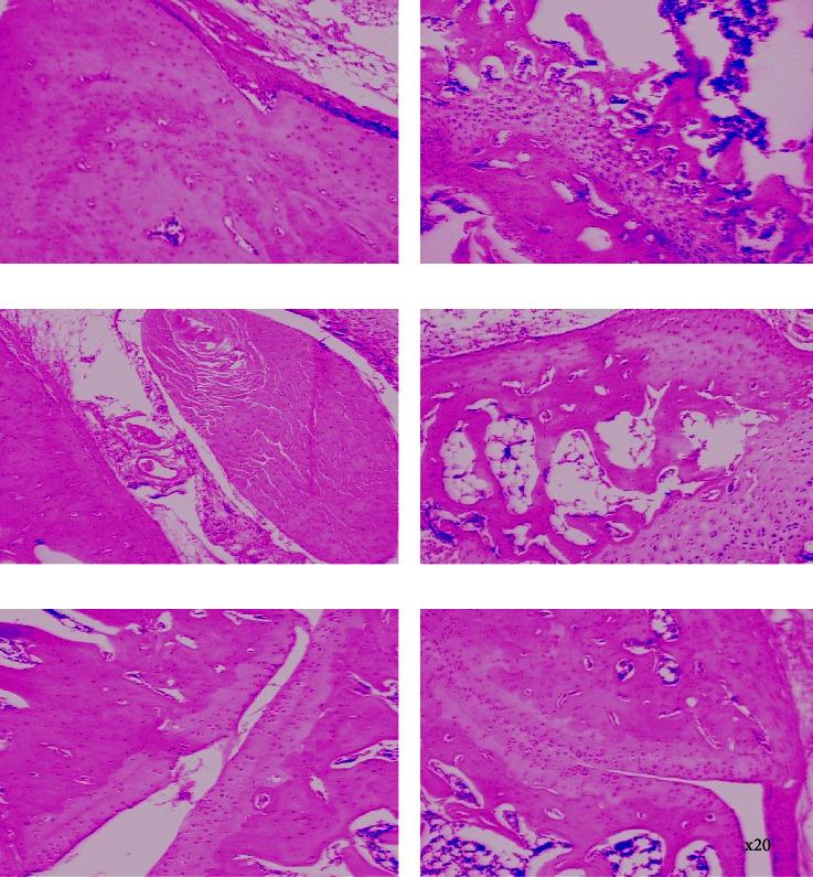
Plant species have been used traditionally to treat numerous inflammatory disorders because of their known medicinal properties. This study aimed to assess the anti-inflammatory effect of aqueous ethanolic leaf extract of using acute inflammatory models. The safety profile of the extract was assessed using an acute toxicity model. The anti-inflammatory effect of the leaf extract (100-600 mg·kg, p.o.) was studied in carrageenan-induced paw oedema, zymosan-induced knee joint arthritis, and histamine-induced paw oedema in Sprague-Dawley rats ( = 5). It was observed that the leaf extract administered prophylactically significantly inhibited paw oedema from 99.01 ± 12.59 to 59.10 ± 4.94%, 56.08 ± 3.65%, and 48.62 ± 3.27% at 100 mg·kg, 300 mg·kg, and 600 mg·kg, while the standard drug, aspirin, showed 41.84 ± 9.25% in carrageenan-induced paw oedema, respectively. Furthermore, the extract decreased knee joint inflammation significantly from 62.43 ± 5.73% to 32.07 ± 2.98% and 24.33 ± 8.58% at 300 mg·kg and 600 mg·kg in zymosan-induced knee joint inflammation, respectively. In the histamine-induced paw oedema model, the extract significantly inhibited oedema to 61.53 ± 9.17%, 54.21 ± 9.38%, and 54.22 ± 9.37% at the same doses. Aqueous ethanolic leaf extract of is safe and attenuates inflammation in acute inflammation models.

摘要

植物物种因其已知的药用特性而被传统上用于治疗多种炎症性疾病。本研究旨在评估使用急性炎症模型的水醇提 叶对炎症的抑制作用。使用急性毒性模型评估 提取物的安全性概况。在角叉菜胶诱导的爪肿胀、酵母聚糖诱导的膝关节关节炎和组胺诱导的爪肿胀的 Sprague-Dawley 大鼠中研究了 叶提取物(100-600mg·kg,po)的抗炎作用(n=5)。结果表明,预防性给予 叶提取物可使角叉菜胶诱导的爪肿胀分别从 99.01±12.59%降至 59.10±4.94%、56.08±3.65%和 48.62±3.27%,而标准药物阿司匹林在角叉菜胶诱导的爪肿胀中显示出 41.84±9.25%,在 100mg·kg、300mg·kg 和 600mg·kg 时,叶提取物可显著减少膝关节炎炎症,分别为 62.43±5.73%、32.07±2.98%和 24.33±8.58%。在组胺诱导的爪肿胀模型中,提取物在相同剂量下可显著抑制水肿至 61.53±9.17%、54.21±9.38%和 54.22±9.37%。 水醇提 叶是安全的,并能减轻急性炎症模型中的炎症。

https://cdn.ncbi.nlm.nih.gov/pmc/blobs/c732/10352536/bd9791546af1/TSWJ2023-5567410.001.jpg

文献AI研究员

20分钟写一篇综述,助力文献阅读效率提升50倍。

立即体验

用中文搜PubMed

大模型驱动的PubMed中文搜索引擎

马上搜索

文档翻译

学术文献翻译模型,支持多种主流文档格式。

立即体验