Suppr超能文献

肿瘤相关成纤维细胞通过外泌体 circTBPL1 介导的细胞间通讯促进乳腺癌的进展。

Cancer-associated fibroblasts facilitate breast cancer progression through exosomal circTBPL1-mediated intercellular communication.

机构信息

Department of Breast Surgery, General Surgery, Qilu Hospital of Shandong University, 250012, Jinan, Shandong, P. R. China.

Shandong Experimental High School, 250001, Jinan, Shandong, P. R. China.

出版信息

Cell Death Dis. 2023 Jul 26;14(7):471. doi: 10.1038/s41419-023-05986-8.

Abstract

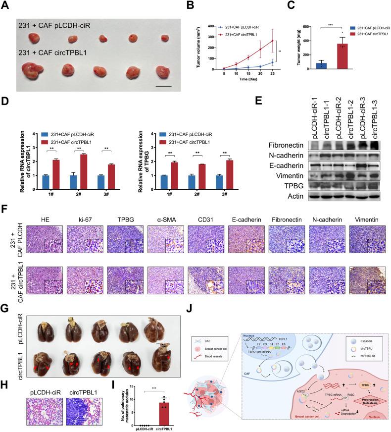
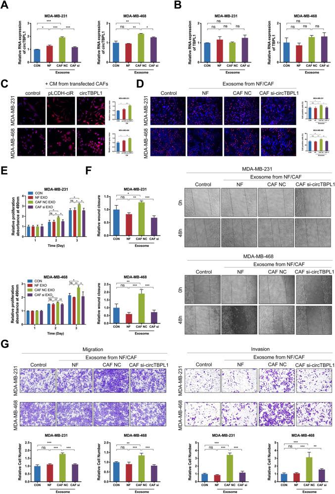
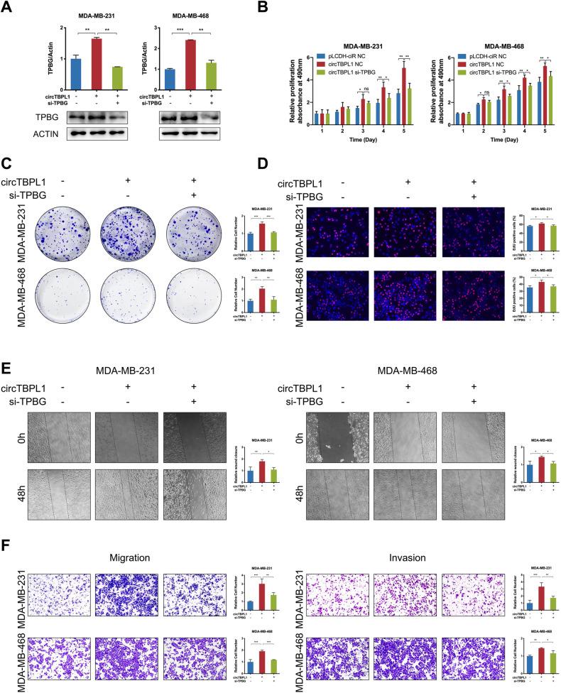
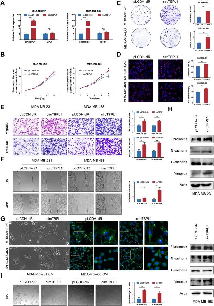
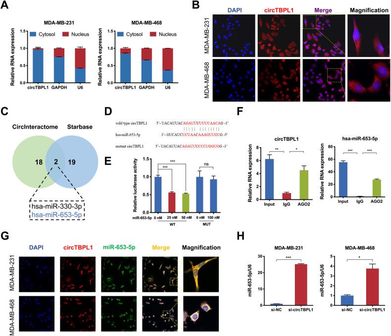
Breast cancer is the major common malignancy worldwide among women. Previous studies reported that cancer-associated fibroblasts (CAFs) showed pivotal roles in regulating tumor progression via exosome-mediated cellular communication. However, the detailed mechanism underlying the exosomal circRNA from CAFs in breast cancer progression remains ambiguous. Here, exosomal circRNA profiling of breast cancer-derived CAFs and normal fibroblasts (NFs) was detected by high-throughput sequencing, and upregulated circTBPL1 expression was identified in CAF exosomes. The exosomal circTBPL1 from CAFs could be transferred to breast cancer cells and promoted cell proliferation, migration, and invasion. Consistently, circTBPL1 knockdown in CAFs attenuated their tumor-promoting ability. Further exploration identified miR-653-5p as an inhibitory target of circTBPL1, and ectopic expression of miR-653-5p could partially reverse the malignant phenotypes induced by circTBPL1 overexpression in breast cancer. Additionally, TPBG was selected as a downstream target gene, and circTBPL1 could protect TPBG from miR-653-5p-mediated degradation, leading to enhanced breast cancer progression. Significantly, the accelerated tumor progression triggered by exosomal circTBPL1 from CAFs was confirmed in xenograft models. Taken together, these results revealed that exosomal circTBPL1 derived from CAFs contributed to cancer progression via miR-653-5p/TPBG pathway, indicating the potential of exosomal circTBPL1 as a biomarker and novel therapeutic target for breast cancer.

摘要

乳腺癌是全球女性中最常见的恶性肿瘤之一。先前的研究报道称,癌症相关成纤维细胞(CAFs)通过外泌体介导的细胞通讯在调节肿瘤进展中发挥着关键作用。然而,CAFs 来源的外泌体 circRNA 在乳腺癌进展中的详细机制仍不清楚。本研究通过高通量测序检测了乳腺癌衍生的 CAFs 和正常成纤维细胞(NFs)中的外泌体 circRNA 谱,发现 CAF 外泌体中 circTBPL1 的表达上调。CAFs 的外泌体 circTBPL1 可以被转移到乳腺癌细胞中,并促进细胞增殖、迁移和侵袭。一致地,CAFs 中 circTBPL1 的敲低减弱了它们的促肿瘤能力。进一步的探索确定了 miR-653-5p 是 circTBPL1 的抑制性靶标,外源性表达 miR-653-5p 可以部分逆转 circTBPL1 过表达在乳腺癌中诱导的恶性表型。此外,TPBG 被选为下游靶基因,circTBPL1 可以保护 TPBG 免受 miR-653-5p 介导的降解,从而增强乳腺癌的进展。重要的是,在异种移植模型中证实了 CAFs 来源的外泌体 circTBPL1 引发的肿瘤进展加速。综上所述,这些结果表明,CAFs 来源的外泌体 circTBPL1 通过 miR-653-5p/TPBG 通路促进癌症进展,表明外泌体 circTBPL1 作为乳腺癌的潜在生物标志物和新型治疗靶点的可能性。

https://cdn.ncbi.nlm.nih.gov/pmc/blobs/bb63/10372047/faf8c6f80886/41419_2023_5986_Fig1_HTML.jpg

文献AI研究员

20分钟写一篇综述,助力文献阅读效率提升50倍。

立即体验

用中文搜PubMed

大模型驱动的PubMed中文搜索引擎

马上搜索

文档翻译

学术文献翻译模型,支持多种主流文档格式。

立即体验