Suppr超能文献

早期乳腺癌患者放疗后弥漫性心肌纤维化的多模态影像学研究-六年随访。

Radiotherapy-induced diffuse myocardial fibrosis in early-stage breast cancer patients - multimodality imaging study with six-year follow-up.

机构信息

Faculty of Medicine and Health Technology, Tampere University, PO Box 100, Tampere, 33014, Finland.

Department of Oncology, Tampere University Hospital, Sädetie 6, PO Box 2000, Tampere, 33521, Finland.

出版信息

Radiat Oncol. 2023 Jul 26;18(1):124. doi: 10.1186/s13014-023-02319-z.

Abstract

BACKGROUND

Breast radiotherapy (RT) induces diffuse myocardial changes, which may increase the incidence of heart failure with preserved ejection fraction. This study aimed to evaluate the early signs of diffuse fibrosis after RT and their evolution during a six-year follow-up.

METHODS

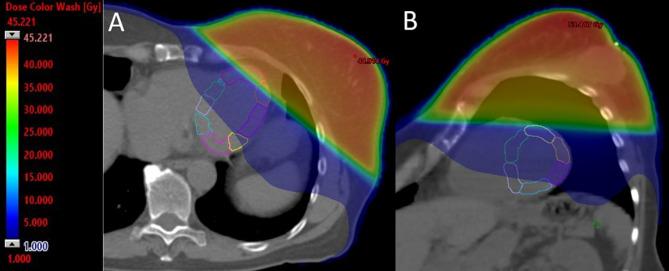
Thirty patients with early-stage left-sided breast cancer were studied with echocardiography and electrocardiography (ECG) at baseline, after RT, and at three-year and six-year follow-up visits. Echocardiography analysis included an off-line analysis of integrated backscatter (IBS). ECG was analysed for fragmented QRS (fQRS). In addition, cardiac magnetic resonance (CMR) imaging was performed at the six-year control. The left ventricle 16-segment model was used in cardiac imaging, and respective local radiation doses were analysed.

RESULTS

Regional myocardial reflectivity in inferoseptal segments increased by 2.02 (4.53) dB (p = 0.026) and the percentage of leads with fQRS increased from 9.2 to 16.4% (p = 0.002) during the follow-up. In CMR imaging, abnormal extracellular volume (ECV) and T1 mapping values were found with anteroseptal and apical localization in a median of 3.5 (1.00-5.75) and 3 (1.25-4.00) segments, respectively. A higher left ventricle radiation dose was associated with an increased likelihood of having changes simultaneously in CMR and echocardiography (OR 1.26, 95% Cl. 1.00-1.59, p = 0.047).

CONCLUSIONS

After radiotherapy, progressive changes in markers of diffuse myocardial fibrosis were observed in a multimodal manner in ECG and echocardiography. Changes in echocardiography and abnormal values in CMR were localized in the septal and apical regions, and multiple changes were associated with higher radiation doses.

摘要

背景

乳腺癌放射治疗(RT)会引起弥漫性心肌变化,从而增加射血分数保留型心力衰竭的发病率。本研究旨在评估 RT 后弥漫性纤维化的早期迹象及其在六年随访期间的演变。

方法

对 30 例早期左侧乳腺癌患者进行超声心动图和心电图(ECG)检查,分别在基线、RT 后以及三年和六年随访时进行检查。超声心动图分析包括背向散射积分(IBS)的离线分析。ECG 分析为碎裂 QRS(fQRS)。此外,在六年对照时还进行心脏磁共振(CMR)成像。心脏成像采用左心室 16 节段模型,分析各自的局部辐射剂量。

结果

在随访期间,下间隔节段的区域性心肌反射性增加了 2.02(4.53)dB(p=0.026),fQRS 的导联百分比从 9.2%增加到 16.4%(p=0.002)。在 CMR 成像中,在前间隔和心尖定位发现异常细胞外容积(ECV)和 T1 映射值,中位数分别为 3.5(1.00-5.75)和 3(1.25-4.00)个节段。左心室辐射剂量较高与 CMR 和超声心动图同时发生变化的可能性增加相关(OR 1.26,95%CI. 1.00-1.59,p=0.047)。

结论

放射治疗后,心电图和超声心动图以多模态方式观察到弥漫性心肌纤维化标志物的进行性变化。超声心动图的变化和 CMR 的异常值定位于间隔和心尖区域,多个变化与较高的辐射剂量相关。

https://cdn.ncbi.nlm.nih.gov/pmc/blobs/883d/10373367/feaf3cc230a5/13014_2023_2319_Fig1_HTML.jpg

文献AI研究员

20分钟写一篇综述,助力文献阅读效率提升50倍。

立即体验

用中文搜PubMed

大模型驱动的PubMed中文搜索引擎

马上搜索

文档翻译

学术文献翻译模型,支持多种主流文档格式。

立即体验