Suppr超能文献

SMURF2 促进 ID2 的泛素化介导降解,从而抑制肺癌细胞增殖。

SMURF2 facilitates ubiquitin-mediated degradation of ID2 to attenuate lung cancer cell proliferation.

机构信息

National Translational Science Center for Molecular Medicine and Department of Cell Biology, Fourth Military Medical University, Xi'an 710032, Shaanxi, China.

出版信息

Int J Biol Sci. 2023 Jun 26;19(11):3324-3340. doi: 10.7150/ijbs.80979. eCollection 2023.

Abstract

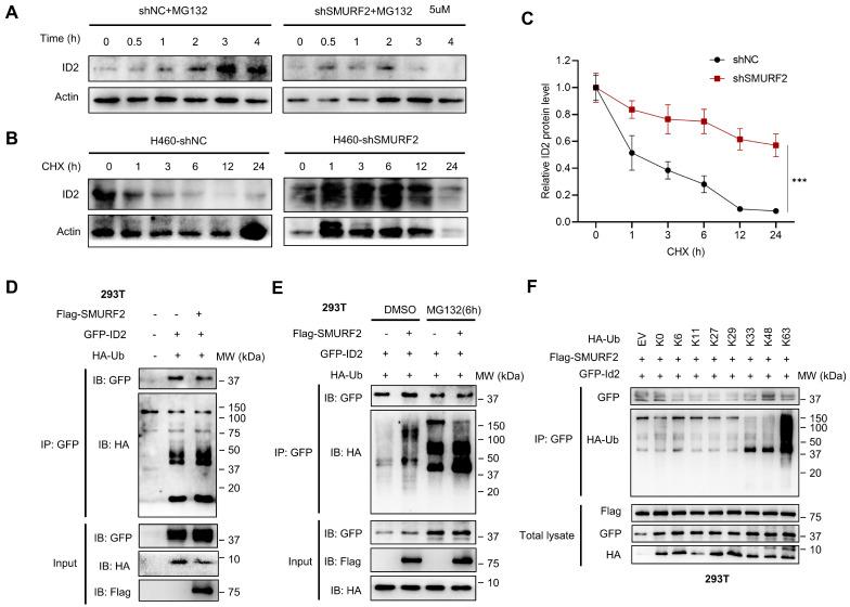
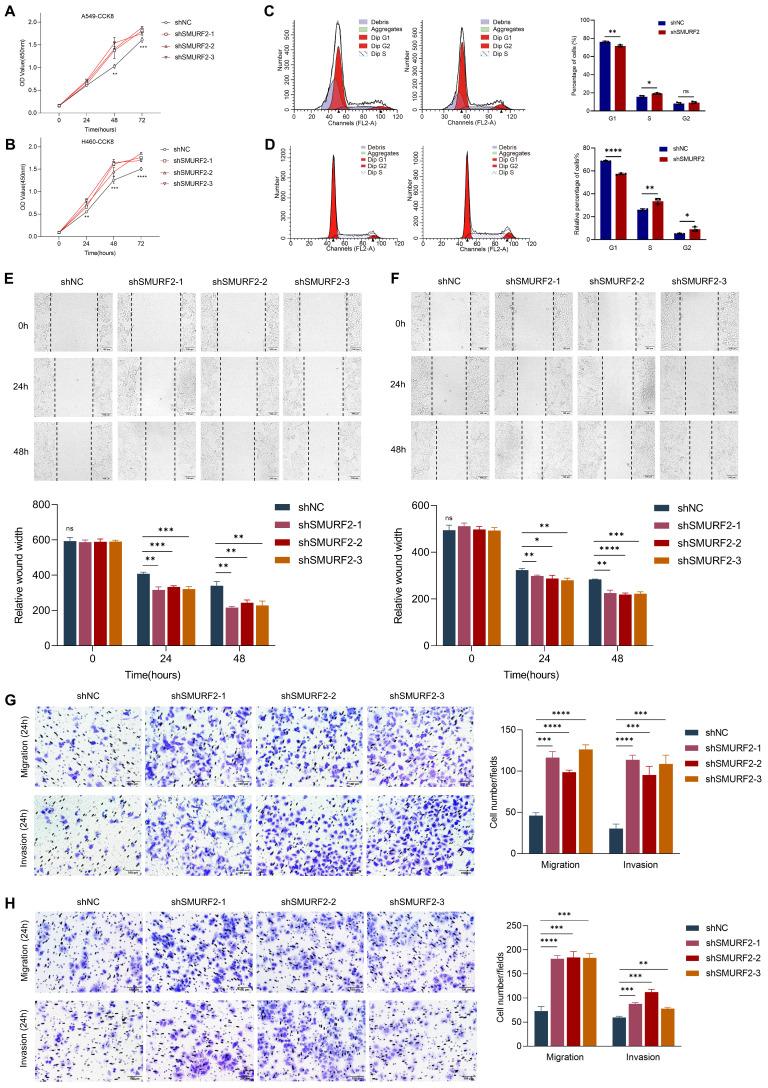
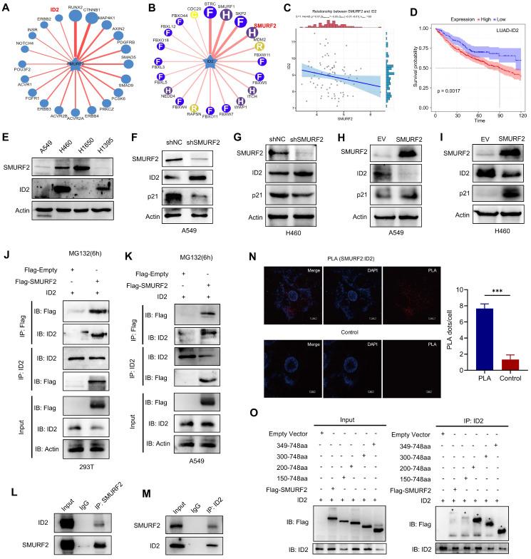
SMAD-specific E3 ubiquitin protein ligase 2 (SMURF2) functions as either a tumor promoter or tumor suppressor in several tumors. However, the detailed effect of SMURF2 on non-small cell lung cancer has not been fully understood. In this study, SMURF2 expression and its diagnostic value were analyzed. Co-Immunoprecipitation (Co-IP), proximity ligation assay (PLA), chromatin immunoprecipitation (ChIP) and nude mice tumor-bearing model were applied to further clarify the role of SMURF2 in lung cancer. SMURF2 expression was reduced in the tumor tissues of patients with NSCLC and high SMURF2 expression was significantly correlated with favorable outcomes. Furthermore, the overexpression of SMURF2 significantly inhibited lung cancer cell progression. Mechanistically, SMURF2 interacted with inhibitor of DNA binding 2 (ID2), subsequently promoting the poly-ubiquitination and degradation of ID2 through the ubiquitin-proteasome pathway. Downregulated ID2 in lung cells dissociates endogenous transcription factor E2A, a positive regulator of the cyclin-dependent kinase inhibitor p21, and finally induces G1/S arrest in lung cancer cells. This study revealed that the manipulation of ID2 via SMURF2 may control tumor progression and contribute to the development of novel targeted antitumor drugs.

摘要

SMAD 特异性 E3 泛素蛋白连接酶 2(SMURF2)在几种肿瘤中既可以作为肿瘤促进因子,也可以作为肿瘤抑制因子。然而,SMURF2 对非小细胞肺癌的详细影响尚未完全了解。在本研究中,分析了 SMURF2 的表达及其诊断价值。共免疫沉淀(Co-IP)、邻近连接分析(PLA)、染色质免疫沉淀(ChIP)和裸鼠荷瘤模型被应用于进一步阐明 SMURF2 在肺癌中的作用。SMURF2 在非小细胞肺癌患者的肿瘤组织中表达减少,高 SMURF2 表达与良好的预后显著相关。此外,SMURF2 的过表达显著抑制了肺癌细胞的进展。机制上,SMURF2 与 DNA 结合抑制因子 2(ID2)相互作用,随后通过泛素-蛋白酶体途径促进 ID2 的多泛素化和降解。肺细胞中下调的 ID2 使内源性转录因子 E2A 解离,E2A 是细胞周期蛋白依赖性激酶抑制剂 p21 的正调节因子,最终导致肺癌细胞中的 G1/S 期阻滞。本研究揭示了通过 SMURF2 对 ID2 的操纵可能控制肿瘤进展,并有助于开发新的靶向抗肿瘤药物。

https://cdn.ncbi.nlm.nih.gov/pmc/blobs/1522/10367561/b6db62f615ce/ijbsv19p3324g001.jpg

文献AI研究员

20分钟写一篇综述,助力文献阅读效率提升50倍。

立即体验

用中文搜PubMed

大模型驱动的PubMed中文搜索引擎

马上搜索

文档翻译

学术文献翻译模型,支持多种主流文档格式。

立即体验