Suppr超能文献

NPC1 依赖性 K2.1-Ca1.2 纳米区改变导致尼曼-匹克 C 型疾病模型中的神经元死亡。

NPC1-dependent alterations in K2.1-Ca1.2 nanodomains drive neuronal death in models of Niemann-Pick Type C disease.

机构信息

Department of Physiology and Membrane Biology, School of Medicine, University of California, Davis, CA, USA.

Department of Psychiatry & Behavioral Sciences, School of Medicine, University of California, Davis, CA, USA.

出版信息

Nat Commun. 2023 Jul 28;14(1):4553. doi: 10.1038/s41467-023-39937-w.

Abstract

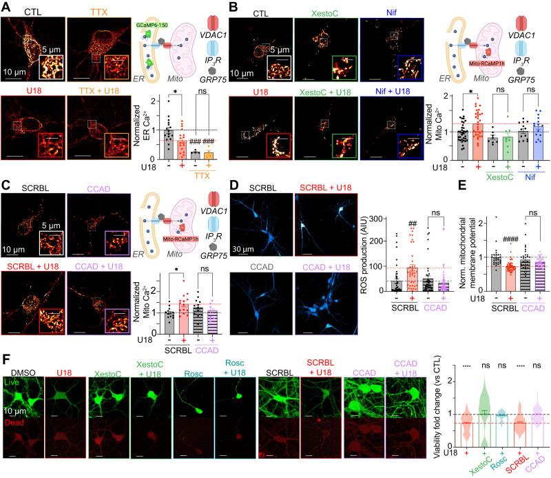
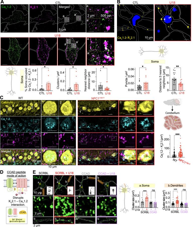
Lysosomes communicate through cholesterol transfer at endoplasmic reticulum (ER) contact sites. At these sites, the Niemann Pick C1 cholesterol transporter (NPC1) facilitates the removal of cholesterol from lysosomes, which is then transferred to the ER for distribution to other cell membranes. Mutations in NPC1 result in cholesterol buildup within lysosomes, leading to Niemann-Pick Type C (NPC) disease, a progressive and fatal neurodegenerative disorder. The molecular mechanisms connecting NPC1 loss to NPC-associated neuropathology remain unknown. Here we show both in vitro and in an animal model of NPC disease that the loss of NPC1 function alters the distribution and activity of voltage-gated calcium channels (Ca). Underlying alterations in calcium channel localization and function are K2.1 channels whose interactions drive calcium channel clustering to enhance calcium entry and fuel neurotoxic elevations in mitochondrial calcium. Targeted disruption of K2-Ca interactions rescues aberrant Ca1.2 clustering, elevated mitochondrial calcium, and neurotoxicity in vitro. Our findings provide evidence that NPC is a nanostructural ion channel clustering disease, characterized by altered distribution and activity of ion channels at membrane contacts, which contribute to neurodegeneration.

摘要

溶酶体通过内质网 (ER) 接触点的胆固醇转移进行通讯。在这些位点上,尼曼-匹克 C1 胆固醇转运蛋白 (NPC1) 促进胆固醇从溶酶体中去除,然后将胆固醇转移到内质网,以便分配到其他细胞膜。NPC1 的突变导致溶酶体中胆固醇堆积,导致尼曼-匹克 C 型 (NPC) 疾病,这是一种进行性和致命的神经退行性疾病。NPC1 缺失与 NPC 相关神经病理学之间的分子机制仍然未知。在这里,我们通过体外和 NPC 疾病的动物模型显示,NPC1 功能的丧失改变了电压门控钙通道 (Ca) 的分布和活性。钙通道定位和功能的潜在改变是 K2.1 通道,其相互作用驱动钙通道聚集,以增强钙内流并为线粒体钙的神经毒性升高提供燃料。靶向破坏 K2-Ca 相互作用可挽救体外异常的 Ca1.2 聚集、线粒体钙升高和神经毒性。我们的发现提供了证据表明 NPC 是一种纳米结构的离子通道聚集疾病,其特征是膜接触处的离子通道分布和活性改变,这导致了神经退行性变。

https://cdn.ncbi.nlm.nih.gov/pmc/blobs/99a6/10382591/18b3311f35b4/41467_2023_39937_Fig1_HTML.jpg

文献AI研究员

20分钟写一篇综述,助力文献阅读效率提升50倍。

立即体验

用中文搜PubMed

大模型驱动的PubMed中文搜索引擎

马上搜索

文档翻译

学术文献翻译模型,支持多种主流文档格式。

立即体验