Suppr超能文献

褪黑素凝胶对大鼠模型骨再生影响的组织病理学评估

Histopathological evaluation of the effect of melatonin gel on bone regeneration in rat model.

作者信息

Golpasandhagh Leila, Samie Neda, Sabiza Soroush, Rezaie Annahita

机构信息

Department of Periodontology, Ahvaz Jundishapur University of Medical Sciences, Ahvaz, Iran.

Department of Clinical Science, Faculty of Veterinary Medicine, Shahid Chamran University of Ahvaz, Ahvaz, Iran.

出版信息

J Indian Soc Periodontol. 2023 Jul-Aug;27(4):368-373. doi: 10.4103/jisp.jisp_169_22. Epub 2023 Jul 1.

Abstract

BACKGROUND

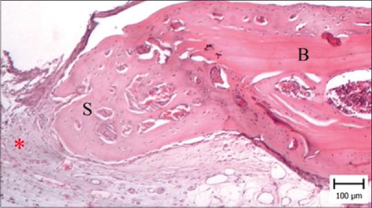
The purpose of this research was to investigate the effects of different doses of topical melatonin gel on bone regeneration in rat calvarial defects using histological analysis.

MATERIALS AND METHODS

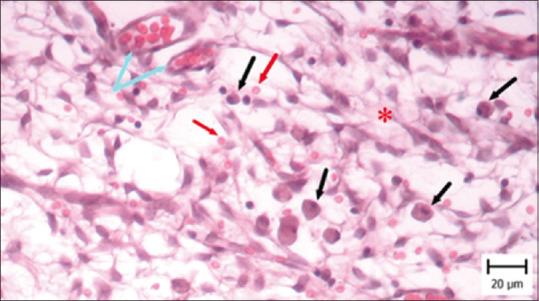
Fifteen adult female Wistar rats weighing approximately 200 g were used and 8 mm in diameter defects were created in their calvaria. The rats were divided into three groups: 1.2% melatonin gel, 5% melatonin gel, and the control group. The animals were sacrificed after 4 weeks. Hematoxylin and eosin staining were used to prepare histological sections. Statistical analysis was performed using the Analysis of variance and Tukey's test. < 0.05 was considered significant.

RESULTS

The results showed a significant difference in rate of ossification ( < 0.001), area of new capillaries ( = 0.002), and mean degree of inflammation ( < 0.001) between the three groups. Comparing groups pairwise, degree of inflammation ( = 0.003) and area of new capillaries ( = 0.019) were significantly lower in the 5% melatonin gel group than the 1.2% melatonin gel group ( = 0.003). The percentage of ossification was substantially greater in the 5% melatonin gel group than in the control and 1.2% melatonin gel groups ( < 0.001).

CONCLUSION

Within the limitations of this animal study, our findings revealed that melatonin gel can be used as a stimulant of bone formation. Outcomes in this study show increased percentage of ossification in the melatonin groups when compared with the control, in a dose-dependent manner, as 5% melatonin gel has a greater effect on ossification.

摘要

背景

本研究旨在通过组织学分析,探讨不同剂量的局部褪黑素凝胶对大鼠颅骨缺损骨再生的影响。

材料与方法

选用15只体重约200 g的成年雌性Wistar大鼠,在其颅骨上制造直径8 mm的缺损。将大鼠分为三组:1.2%褪黑素凝胶组、5%褪黑素凝胶组和对照组。4周后处死动物。用苏木精和伊红染色制备组织学切片。采用方差分析和Tukey检验进行统计分析。P<0.05被认为具有显著性。

结果

结果显示,三组之间的骨化率(P<0.001)、新毛细血管面积(P=0.002)和平均炎症程度(P<0.001)存在显著差异。两两比较各组,5%褪黑素凝胶组的炎症程度(P=0.003)和新毛细血管面积(P=0.019)显著低于1.2%褪黑素凝胶组(P=0.003)。5%褪黑素凝胶组的骨化百分比显著高于对照组和1.2%褪黑素凝胶组(P<0.001)。

结论

在本动物研究的局限性内,我们的研究结果表明褪黑素凝胶可作为骨形成的刺激剂。本研究结果显示,与对照组相比,褪黑素组的骨化百分比增加,呈剂量依赖性,因为5%褪黑素凝胶对骨化的影响更大。

https://cdn.ncbi.nlm.nih.gov/pmc/blobs/fe27/10431222/f9af1a04cbf8/JISP-27-368-g001.jpg

文献AI研究员

20分钟写一篇综述,助力文献阅读效率提升50倍。

立即体验

用中文搜PubMed

大模型驱动的PubMed中文搜索引擎

马上搜索

文档翻译

学术文献翻译模型,支持多种主流文档格式。

立即体验