Suppr超能文献

肝脏DDAH1减轻肥胖小鼠的肝脏脂肪变性和胰岛素抵抗:S100A11表达降低的影响。

Hepatic DDAH1 mitigates hepatic steatosis and insulin resistance in obese mice: Involvement of reduced S100A11 expression.

作者信息

Shen Xiyue, Luo Kai, Yuan Juntao, Gao Junling, Cui Bingqing, Yu Zhuoran, Lu Zhongbing

机构信息

College of Life Science, University of Chinese Academy of Sciences, Beijing 100049, China.

Institute of Respiratory Medicine, Tongji University School of Medicine, Shanghai 200433, China.

出版信息

Acta Pharm Sin B. 2023 Aug;13(8):3352-3364. doi: 10.1016/j.apsb.2023.05.020. Epub 2023 May 23.

Abstract

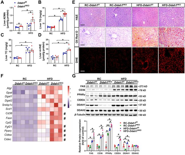
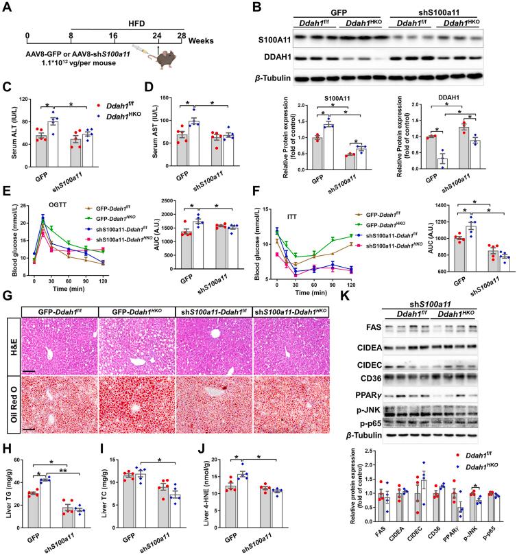
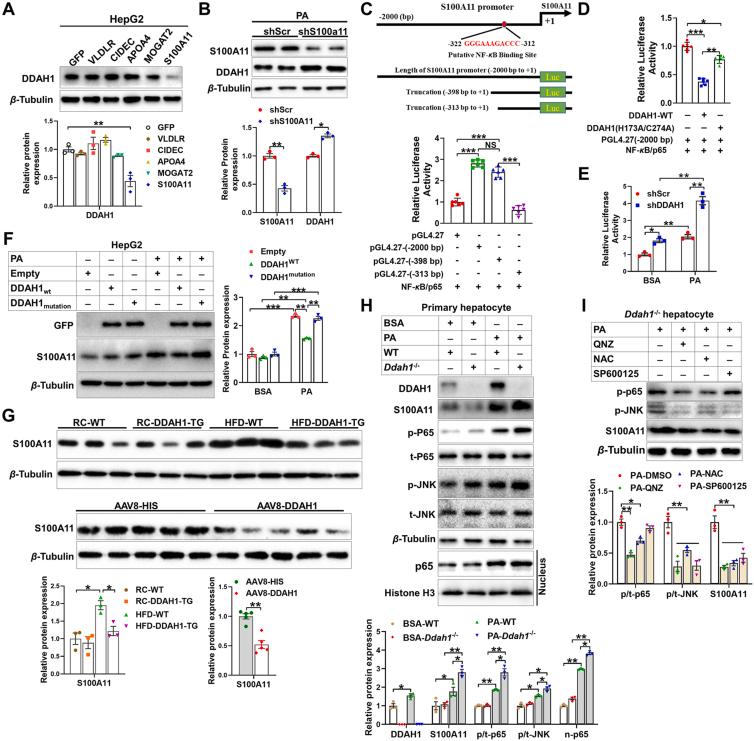
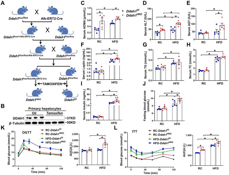
Dimethylarginine dimethylaminohydrolase 1 (DDAH1) is an important regulator of plasma asymmetric dimethylarginine (ADMA) levels, which are associated with insulin resistance in patients with nonalcoholic fatty liver disease (NAFLD). To elucidate the role of hepatic DDAH1 in the pathogenesis of NAFLD, we used hepatocyte-specific -knockout mice (1) to examine the progress of high-fat diet (HFD)-induced NAFLD. Compared to diet-matched flox/flox littermates (), mice exhibited higher serum ADMA levels. After HFD feeding for 16 weeks, mice developed more severe liver steatosis and worse insulin resistance than mice. On the contrary, overexpression of DDAH1 attenuated the NAFLD-like phenotype in HFD-fed mice and / mice. RNA-seq analysis showed that DDAH1 affects NF-B signaling, lipid metabolic processes, and immune system processes in fatty livers. Furthermore, DDAH1 reduces S100 calcium-binding protein A11 (S100A11) possibly NF-B, JNK and oxidative stress-dependent manner in fatty livers. Knockdown of hepatic S100a11 by an AAV8-sh vector alleviated hepatic steatosis and insulin resistance in HFD-fed mice. In summary, our results suggested that the liver DDAH1/S100A11 axis has a marked effect on liver lipid metabolism in obese mice. Strategies to increase liver DDAH1 activity or decrease S100A11 expression could be a valuable approach for NAFLD therapy.

摘要

二甲基精氨酸二甲胺水解酶1(DDAH1)是血浆不对称二甲基精氨酸(ADMA)水平的重要调节因子,ADMA水平与非酒精性脂肪性肝病(NAFLD)患者的胰岛素抵抗有关。为了阐明肝脏DDAH1在NAFLD发病机制中的作用,我们使用肝细胞特异性敲除小鼠(1)来研究高脂饮食(HFD)诱导的NAFLD的进展。与饮食匹配的flox/flox同窝小鼠()相比,小鼠的血清ADMA水平更高。在高脂饮食喂养16周后,小鼠比小鼠出现更严重的肝脏脂肪变性和更差的胰岛素抵抗。相反,DDAH1的过表达减轻了高脂饮食喂养的小鼠和/小鼠的NAFLD样表型。RNA测序分析表明,DDAH1影响脂肪肝中的NF-κB信号传导、脂质代谢过程和免疫系统过程。此外,DDAH1可能以NF-κB、JNK和氧化应激依赖的方式降低脂肪肝中的S100钙结合蛋白A11(S100A11)。通过AAV8-sh载体敲低肝脏S100a11可减轻高脂饮食喂养的小鼠的肝脏脂肪变性和胰岛素抵抗。总之,我们的结果表明肝脏DDAH1/S100A11轴对肥胖小鼠的肝脏脂质代谢有显著影响。提高肝脏DDAH1活性或降低S100A11表达的策略可能是治疗NAFLD的一种有价值的方法。

https://cdn.ncbi.nlm.nih.gov/pmc/blobs/7cc3/10465955/4d9c9c62d2d0/ga1.jpg

文献AI研究员

20分钟写一篇综述,助力文献阅读效率提升50倍。

立即体验

用中文搜PubMed

大模型驱动的PubMed中文搜索引擎

马上搜索

文档翻译

学术文献翻译模型,支持多种主流文档格式。

立即体验