Suppr超能文献

LEF1 通过 IDR 依赖性液-液相分离增强 β-连环蛋白的转录激活。

LEF1 enhances β-catenin transactivation through IDR-dependent liquid-liquid phase separation.

机构信息

National Center of Biomedical Analysis, Beijing, China.

School of Clinical Medicine, Tsinghua University, Beijing, China.

出版信息

Life Sci Alliance. 2023 Sep 1;6(11). doi: 10.26508/lsa.202302118. Print 2023 Nov.

Abstract

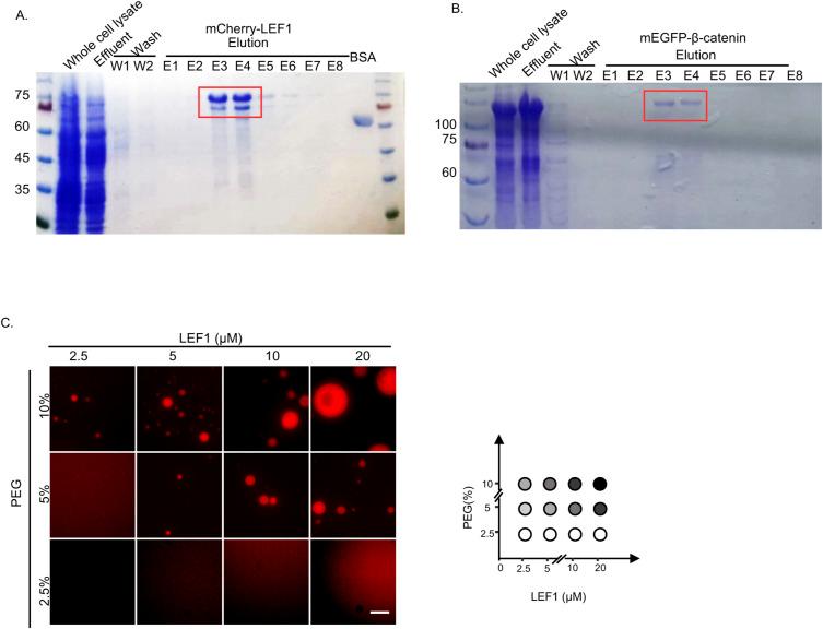
Wnt/β-catenin signaling plays a crucial role in cancer development, primarily activated by β-catenin forming a transcription complex with LEF/TCF in the nucleus and initiating the transcription of Wnt target genes. Here, we report that LEF1, a member of the LEF/TCF family, can form intrinsically disordered region (IDR)-dependent condensates with β-catenin both in vivo and in vitro, which is required for β-catenin-dependent transcription. Notably, LEF1 with disrupted IDR lost its promoting activity on tumor proliferation and metastasis, which can be restored by substituting with FUS IDR. Our findings provide new insight into the essential role of liquid-liquid phase separation in Wnt/β-catenin signaling and present a potential new target for cancer therapy.

摘要

Wnt/β-catenin 信号通路在癌症发展中起着至关重要的作用,主要通过β-catenin 在核内与 LEF/TCF 形成转录复合物,从而启动 Wnt 靶基因的转录。在这里,我们报告称,LEF1(LEF/TCF 家族的一员)可以在体内和体外与β-catenin 形成固有无序区域(IDR)依赖性凝聚物,这是β-catenin 依赖性转录所必需的。值得注意的是,缺失 IDR 的 LEF1 丧失了对肿瘤增殖和转移的促进活性,而用 FUS IDR 取代则可以恢复其活性。我们的研究结果为液-液相分离在 Wnt/β-catenin 信号通路中的重要作用提供了新的见解,并为癌症治疗提供了一个新的潜在靶点。

https://cdn.ncbi.nlm.nih.gov/pmc/blobs/9209/10474303/ec677ab45b46/LSA-2023-02118_Fig1.jpg

文献AI研究员

20分钟写一篇综述,助力文献阅读效率提升50倍。

立即体验

用中文搜PubMed

大模型驱动的PubMed中文搜索引擎

马上搜索

文档翻译

学术文献翻译模型,支持多种主流文档格式。

立即体验