Suppr超能文献

通过促进线粒体生物发生的线粒体转移对肺纤维化进行有效的干预。

Efficient intervention for pulmonary fibrosis via mitochondrial transfer promoted by mitochondrial biogenesis.

机构信息

College of Pharmaceutical Sciences, Zhejiang University, 310058, Hangzhou, China.

Hangzhou Institute of Innovative Medicine, College of Pharmaceutical Sciences, Zhejiang University, 310058, Hangzhou, China.

出版信息

Nat Commun. 2023 Sep 18;14(1):5781. doi: 10.1038/s41467-023-41529-7.

Abstract

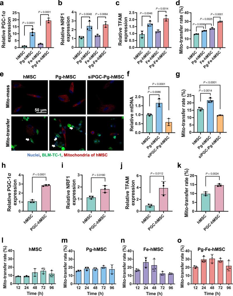
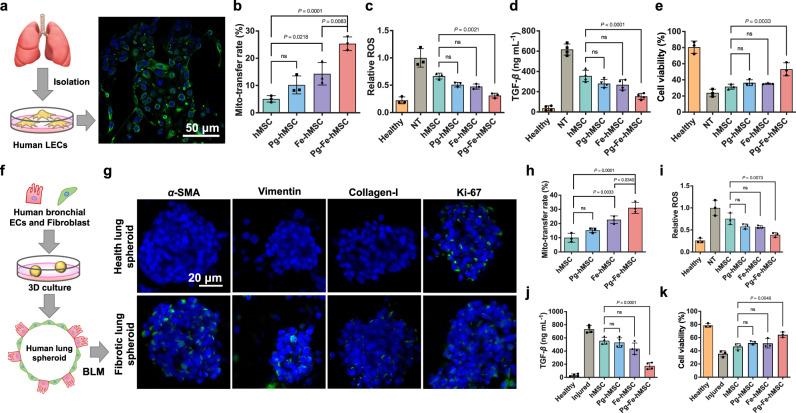
The use of exogenous mitochondria to replenish damaged mitochondria has been proposed as a strategy for the treatment of pulmonary fibrosis. However, the success of this strategy is partially restricted by the difficulty of supplying sufficient mitochondria to diseased cells. Herein, we report the generation of high-powered mesenchymal stem cells with promoted mitochondrial biogenesis and facilitated mitochondrial transfer to injured lung cells by the sequential treatment of pioglitazone and iron oxide nanoparticles. This highly efficient mitochondrial transfer is shown to not only restore mitochondrial homeostasis but also reactivate inhibited mitophagy, consequently recovering impaired cellular functions. We perform studies in mouse to show that these high-powered mesenchymal stem cells successfully mitigate fibrotic progression in a progressive fibrosis model, which was further verified in a humanized multicellular lung spheroid model. The present findings provide a potential strategy to overcome the current limitations in mitochondrial replenishment therapy, thereby promoting therapeutic applications for fibrotic intervention.

摘要

使用外源性线粒体来补充受损的线粒体,已被提议作为治疗肺纤维化的一种策略。然而,这种策略的成功在一定程度上受到向病变细胞提供足够数量的线粒体的困难的限制。在此,我们报告了通过吡格列酮和氧化铁纳米粒子的序贯处理,生成具有增强的线粒体生物发生和促进线粒体向受损肺细胞转移能力的高能力间充质干细胞。研究表明,这种高效的线粒体转移不仅可以恢复线粒体的动态平衡,还可以重新激活被抑制的线粒体自噬,从而恢复受损的细胞功能。我们在小鼠中进行的研究表明,这些高能力间充质干细胞成功地减轻了进行性纤维化模型中的纤维化进展,在人源化多细胞肺球体模型中也得到了进一步验证。本研究结果为克服当前线粒体补充治疗的局限性提供了一种潜在的策略,从而促进了纤维化干预的治疗应用。

https://cdn.ncbi.nlm.nih.gov/pmc/blobs/b5ae/10507082/ebc5e163f105/41467_2023_41529_Fig1_HTML.jpg

文献AI研究员

20分钟写一篇综述,助力文献阅读效率提升50倍。

立即体验

用中文搜PubMed

大模型驱动的PubMed中文搜索引擎

马上搜索

文档翻译

学术文献翻译模型,支持多种主流文档格式。

立即体验