Suppr超能文献

pH 门控纳米颗粒选择性调节肿瘤相关巨噬细胞的溶酶体功能,用于癌症免疫治疗。

pH-gated nanoparticles selectively regulate lysosomal function of tumour-associated macrophages for cancer immunotherapy.

机构信息

State Key Laboratory of Natural and Biomimetic Drugs, School of Pharmaceutical Sciences, Peking University, Beijing, China.

Beijing Key Laboratory of Molecular Pharmaceutics and New Drug Delivery System, School of Pharmaceutical Sciences, Peking University, Beijing, China.

出版信息

Nat Commun. 2023 Sep 21;14(1):5888. doi: 10.1038/s41467-023-41592-0.

Abstract

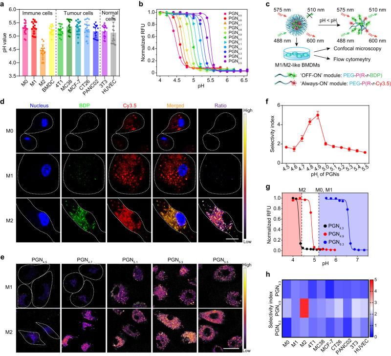
Tumour-associated macrophages (TAMs), as one of the most abundant tumour-infiltrating immune cells, play a pivotal role in tumour antigen clearance and immune suppression. M2-like TAMs present a heightened lysosomal acidity and protease activity, limiting an effective antigen cross-presentation. How to selectively reprogram M2-like TAMs to reinvigorate anti-tumour immune responses is challenging. Here, we report a pH-gated nanoadjuvant (PGN) that selectively targets the lysosomes of M2-like TAMs in tumours rather than the corresponding organelles from macrophages in healthy tissues. Enabled by the PGN nanotechnology, M2-like TAMs are specifically switched to a M1-like phenotype with attenuated lysosomal acidity and cathepsin activity for improved antigen cross-presentation, thus eliciting adaptive immune response and sustained tumour regression in tumour-bearing female mice. Our findings provide insights into how to specifically regulate lysosomal function of TAMs for efficient cancer immunotherapy.

摘要

肿瘤相关巨噬细胞(TAMs)作为最丰富的肿瘤浸润免疫细胞之一,在肿瘤抗原清除和免疫抑制中发挥关键作用。M2 样 TAMs 呈现出更高的溶酶体酸度和蛋白酶活性,限制了有效的抗原交叉呈递。如何选择性地重新编程 M2 样 TAMs 以重新激活抗肿瘤免疫反应是具有挑战性的。在这里,我们报告了一种 pH 门控纳米佐剂(PGN),它可以选择性地靶向肿瘤中 M2 样 TAMs 的溶酶体,而不是健康组织中巨噬细胞的相应细胞器。借助 PGN 纳米技术,M2 样 TAMs 被特异性地切换为 M1 样表型,溶酶体酸度和组织蛋白酶活性降低,从而改善抗原交叉呈递,从而在荷瘤雌性小鼠中引发适应性免疫反应和持续的肿瘤消退。我们的研究结果提供了如何特异性调节 TAMs 的溶酶体功能以实现有效的癌症免疫治疗的见解。

https://cdn.ncbi.nlm.nih.gov/pmc/blobs/65f6/10514266/e76e4b7a7de5/41467_2023_41592_Fig1_HTML.jpg

文献AI研究员

20分钟写一篇综述,助力文献阅读效率提升50倍。

立即体验

用中文搜PubMed

大模型驱动的PubMed中文搜索引擎

马上搜索

文档翻译

学术文献翻译模型,支持多种主流文档格式。

立即体验