Suppr超能文献

漆黄素对CDK1-STAT3信号通路的翻译后修饰抑制胰腺癌干细胞特性。

Post-translational modification of CDK1-STAT3 signaling by fisetin suppresses pancreatic cancer stem cell properties.

作者信息

Xu Xiaodong, Ding Yimin, Jin Junbin, Xu Chengjie, Hu Wenyi, Wu Songtao, Ding Guoping, Cheng Rui, Cao Liping, Jia Shengnan

机构信息

Department of General Surgery, Sir Run Run Shaw Hospital, School of Medicine, Zhejiang University, Hangzhou, 310000, China.

General Surgery, Cancer Center, Department of Colorectal Surgery, Zhejiang Provincial People's Hospital (Affiliated People's Hospital, Hangzhou Medical College), Hangzhou, 310014, Zhejiang, China.

出版信息

Cell Biosci. 2023 Sep 24;13(1):176. doi: 10.1186/s13578-023-01118-z.

Abstract

BACKGROUND

Pancreatic cancer stem cells (CSCs) promote pancreatic ductal adenocarcinoma (PDAC) tumorigenesis and chemoresistance. Cyclin-dependent kinase 1 (CDK1) plays an important role in tumor initiation in other tumors, but the function of CDK1 in PDAC remains unclear. Fisetin is a bioactive flavonoid with anti-tumor properties in multiple tumors, while its function in CSCs remains elusive.

RESULTS

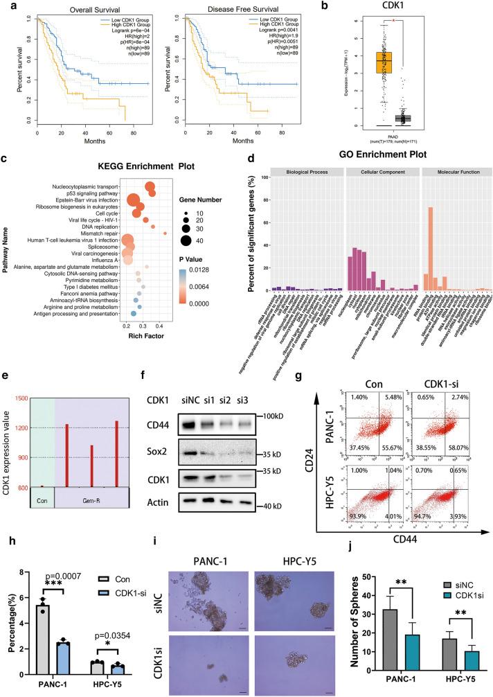
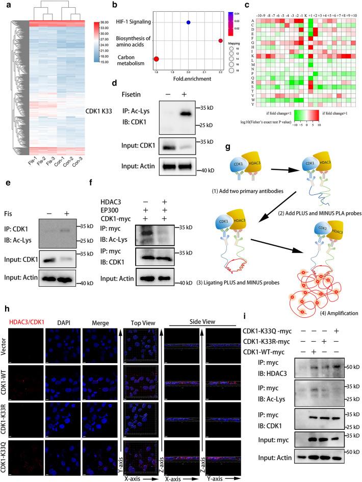
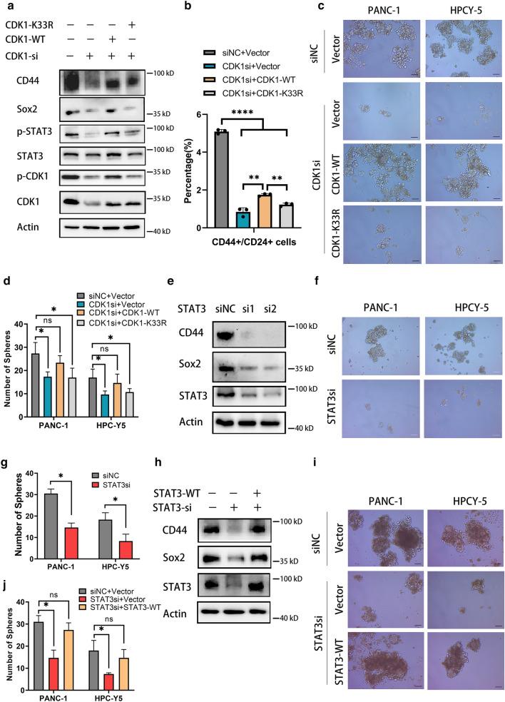
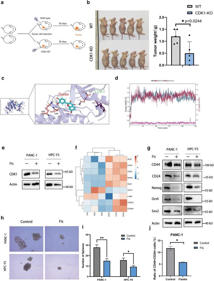
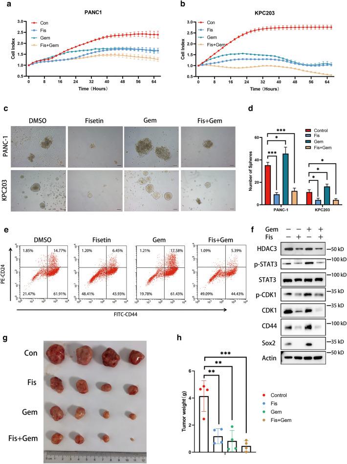
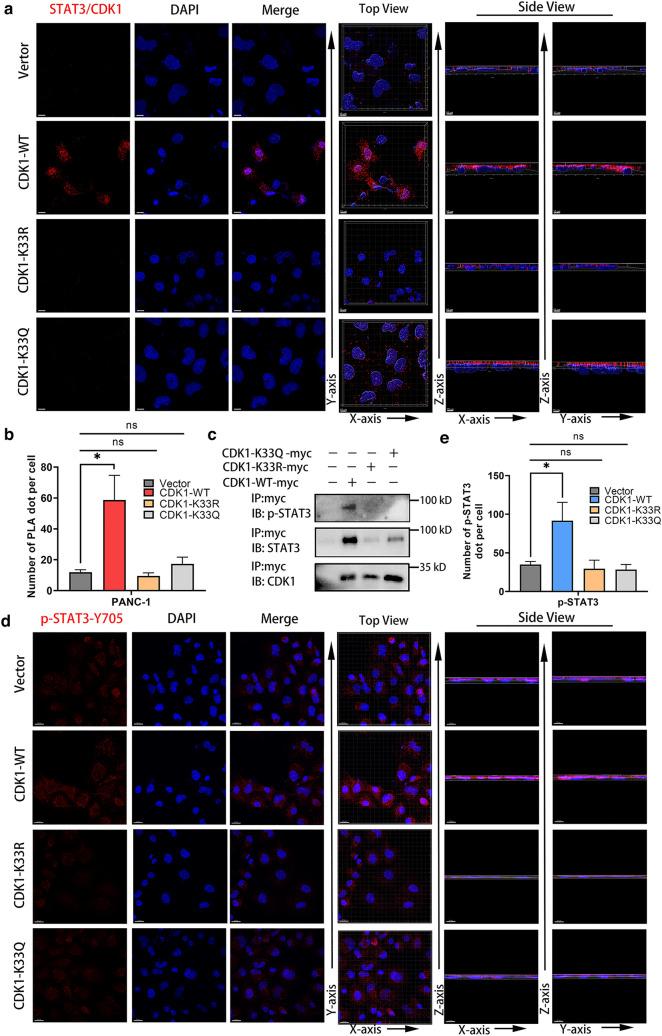
In this study, we demonstrated that CDK1 was correlated with prognosis and was highly expressed in pancreatic cancer tissue and gemcitabine-resistant cells. Silencing CDK1 impaired tumor stemness and reduced a subset of CSCs. We found that fisetin blocked the kinase pocket domain of CDK1 and inhibited pancreatic CSC characteristics. Using acetylation proteomics analysis and phosphorylation array assay, we confirmed that fisetin reduced CDK1 expression and increased CDK1 acetylation at lysine 33 (K33), which resulted in the suppression of CDK1 phosphorylation. Silencing CDK1 or STAT3 suppressed tumor stemness properties, while overexpressing CDK1 or STAT3 showed the opposite effect. Mutation or acetylation of CDK1 at K33 weakened STAT3 phosphorylation at Y705, impairing the expression of stem-related genes and pancreatic cancer stemness. In addition, lack of histone deacetylase 3 (HDAC3), which deacetylates CDK1, contributed to weakening STAT3 phosphorylation by regulating the post-translational modification of CDK1, thereby decreasing the stemness of PDAC. Moreover, our results revealed that fisetin enhanced the effect of gemcitabine through eliminating a subpopulation of pancreatic CSCs by inhibiting the CDK1-STAT3 axis in vitro and in vivo.

CONCLUSION

Our findings highlight the role of post-translational modifications of CDK1-STAT3 signaling in maintaining cancer stemness of PDAC, and indicated that targeting the CDK1-STAT3 axis with inhibitors such as fisetin is a potential therapeutic strategy to diminish drug resistance and eliminate PDAC.

摘要

背景

胰腺癌干细胞(CSCs)促进胰腺导管腺癌(PDAC)的肿瘤发生和化疗耐药。细胞周期蛋白依赖性激酶1(CDK1)在其他肿瘤的肿瘤起始中起重要作用,但CDK1在PDAC中的功能仍不清楚。非瑟酮是一种具有多种肿瘤抗肿瘤特性的生物活性黄酮类化合物,但其在CSCs中的功能仍不明确。

结果

在本研究中,我们证明CDK1与预后相关,且在胰腺癌组织和吉西他滨耐药细胞中高表达。沉默CDK1会损害肿瘤干性并减少一部分CSCs。我们发现非瑟酮可阻断CDK1的激酶口袋结构域并抑制胰腺CSC特性。通过乙酰化蛋白质组学分析和磷酸化阵列检测,我们证实非瑟酮降低了CDK1表达并增加了赖氨酸33(K33)处的CDK1乙酰化,从而导致CDK1磷酸化的抑制。沉默CDK1或信号转导和转录激活因子3(STAT3)可抑制肿瘤干性特性,而过表达CDK1或STAT3则显示相反的效果。CDK1在K33处的突变或乙酰化减弱了Y705处的STAT3磷酸化,损害了干细胞相关基因的表达和胰腺癌干性。此外,缺乏使CDK1去乙酰化的组蛋白去乙酰化酶3(HDAC3),通过调节CDK1的翻译后修饰导致STAT3磷酸化减弱,从而降低了PDAC的干性。此外,我们的结果表明,非瑟酮通过在体外和体内抑制CDK1-STAT3轴消除胰腺CSCs亚群,增强了吉西他滨的作用。

结论

我们的研究结果突出了CDK1-STAT3信号转导的翻译后修饰在维持PDAC癌干细胞特性中的作用,并表明用非瑟酮等抑制剂靶向CDK1-STAT3轴是减少耐药性和消除PDAC的潜在治疗策略。

https://cdn.ncbi.nlm.nih.gov/pmc/blobs/6a4b/10518106/3504c6cc6ff4/13578_2023_1118_Fig1_HTML.jpg

文献AI研究员

20分钟写一篇综述,助力文献阅读效率提升50倍。

立即体验

用中文搜PubMed

大模型驱动的PubMed中文搜索引擎

马上搜索

文档翻译

学术文献翻译模型,支持多种主流文档格式。

立即体验