Suppr超能文献

大豆苷元对二乙基亚硝胺/四氯化碳诱导的雄性大鼠肝细胞癌的保护作用

Protective Effect of Daidzein against Diethylnitrosamine/Carbon Tetrachloride-Induced Hepatocellular Carcinoma in Male Rats.

作者信息

Bashandy Samir A E, Ebaid Hossam, Al-Tamimi Jameel, Hassan Iftekhar, Omara Enayat A, Elbaset Marawan A, Alhazza Ibrahim M, Siddique Jamal A

机构信息

Pharmacology Department, National Research Centre, 33 El-Bohouth St., Dokki, Cairo 12622, Egypt.

Zoology Department, College of Science, King Saud University, Riyadh 11451, Saudi Arabia.

出版信息

Biology (Basel). 2023 Aug 29;12(9):1184. doi: 10.3390/biology12091184.

Abstract

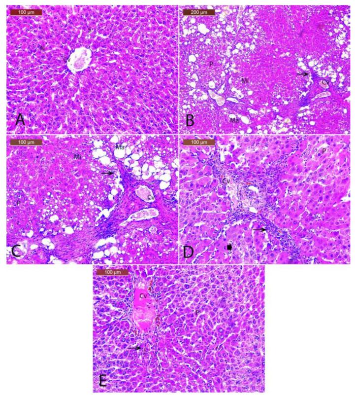
Hepatocellular carcinoma (HCC) is the second-largest cause of death among all cancer types. Many drugs have been used to treat the disease for a long time but have been mostly discontinued because of their side effects or the development of resistance in the patients with HCC. The administration of DZ orally is a great focus to address the clinical crisis. Daidzein (DZ) is a prominent isoflavone polyphenolic chemical found in soybeans and other leguminous plants. It has various pharmacological effects, including anti-inflammatory, antihemolytic, and antioxidant. This present study investigates the protective effect of DZ on chemically induced HCC in rat models. The DZ was administered orally four weeks before HCC induction and continued during treatment. Our study included four treatment groups: control (group 1, without any treatment), HCC-induced rats (group II), an HCC group treated with DZ at 20 mg/kg (group III), and an HCC group treated with DZ at 40 mg/kg (group IV). HCC rats showed elevation in all the HCC markers (AFP, GPC3, and VEGF), liver function markers (ALP, ALT, and AST), inflammatory markers (IL-6, TNF-α, and CRP), and lipid markers concomitant with a decrease in antioxidant enzymes and protein. However, groups III and IV demonstrated dose-dependent alleviation in the previous parameters resulting from HCC. In addition, the high dose of DZ reduces many hepatological changes in HCC rats. All study parameters improved with DZ administration. Due to its antioxidant and anti-inflammatory characteristics, DZ is a promising HCC treatment option for clinical use.

摘要

肝细胞癌(HCC)是所有癌症类型中第二大致死原因。长期以来,许多药物都被用于治疗该疾病,但大多因副作用或肝癌患者产生耐药性而停用。口服大豆苷元(DZ)是解决临床危机的一大重点。大豆苷元是在大豆和其他豆科植物中发现的一种著名的异黄酮多酚类化合物。它具有多种药理作用,包括抗炎、抗溶血和抗氧化作用。本研究调查了大豆苷元对化学诱导的大鼠肝癌模型的保护作用。在诱导肝癌前四周口服大豆苷元,并在治疗期间持续给药。我们的研究包括四个治疗组:对照组(第1组,未进行任何治疗)、肝癌诱导大鼠组(第II组)、以20mg/kg大豆苷元治疗的肝癌组(第III组)和以40mg/kg大豆苷元治疗的肝癌组(第IV组)。肝癌大鼠的所有肝癌标志物(甲胎蛋白、磷脂酰肌醇蛋白聚糖3和血管内皮生长因子)、肝功能标志物(碱性磷酸酶、谷丙转氨酶和谷草转氨酶)、炎症标志物(白细胞介素-6、肿瘤坏死因子-α和C反应蛋白)和脂质标志物均升高,同时抗氧化酶和蛋白质减少。然而,第III组和第IV组在肝癌导致的上述参数方面表现出剂量依赖性缓解。此外,高剂量的大豆苷元减少了肝癌大鼠的许多肝脏学变化。给予大豆苷元后,所有研究参数均得到改善。由于其抗氧化和抗炎特性,大豆苷元是一种有前景的用于临床治疗肝癌的选择。

https://cdn.ncbi.nlm.nih.gov/pmc/blobs/de0e/10525464/5dd0eef995d8/biology-12-01184-g001.jpg

文献AI研究员

20分钟写一篇综述,助力文献阅读效率提升50倍。

立即体验

用中文搜PubMed

大模型驱动的PubMed中文搜索引擎

马上搜索

文档翻译

学术文献翻译模型,支持多种主流文档格式。

立即体验