Suppr超能文献

鳞状细胞癌转移性淋巴结的坏死部分是否仍具有肿瘤学信息?利用微小RNA对良性坏死性淋巴结病进行鉴别诊断。

Does the Necrotic Portion of Metastatic Lymphadenopathy from Squamous Cell Carcinoma Still Have Tumoral Oncologic Information? Differential Diagnosis of Benign Necrotic Lymphadenopathy Using microRNA.

作者信息

Shin Eun, Han Seung Hoon, Park Il-Seok, Wee Jee Hye, Lee Joong Seob, Kim Heejin

机构信息

Department of Pathology, Dongtan Sacred Heart Hospital, Hwaseong 18450, Republic of Korea.

Department of Otorhinolaryngology-Head and Neck Surgery, Dongtan Sacred Heart Hospital, Hwaseong 18450, Republic of Korea.

出版信息

Biomedicines. 2023 Aug 28;11(9):2407. doi: 10.3390/biomedicines11092407.

Abstract

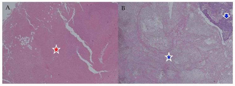
Neck necrotic lymph nodes commonly correspond to metastasis or benign inflammatory conditions such as Kikuchi disease and tuberculosis. Ultrasound-guided biopsy can be used for differential diagnosis, but results may be unclear. Therefore, this study aimed to identify target microRNAs (miRNAs) and genes for the differential diagnosis of inflammatory and malignant necrotic lymph nodes. We selected six inflammatory lymphadenitis formalin-fixed paraffin-embedded (FFPE) samples that showed internal necrosis and five cancer necrotic FFPE samples. Tissue microarray (TMA) was performed to separate the necrotic and cancerous portions. Total RNA was extracted from six pairs of separated inflammatory necrosis, five pairs of cancer necrosis, and cancer portions. Differentially expressed miRNAs were analyzed by comparing inflammatory necrosis, cancer, and cancer necrosis. Seventeen miRNAs were upregulated in cancer necrosis compared to inflammatory necrosis, and two miRNAs (hsa-miR-155-5p and hsa-miR-146b-5p) showed lower expression in cancer necrotic cells. Nineteen miRNAs that were differentially expressed between inflammatory and cancer necrosis were analyzed for target gene expression; these transcripts demonstrated a clear relationship with cancer. The differentially expressed miRNAs in inflammatory and tumor necrosis were associated with cancer-related pathways. These preliminary results might help in the differential diagnosis of cervical metastatic necrotic lymphadenopathy and avoiding unnecessary excisional biopsies.

摘要

颈部坏死性淋巴结通常与转移或良性炎症性疾病相关,如菊池病和结核病。超声引导下活检可用于鉴别诊断,但结果可能不明确。因此,本研究旨在鉴定用于鉴别炎症性和恶性坏死性淋巴结的靶微小RNA(miRNA)和基因。我们选取了6个显示内部坏死的炎症性淋巴结炎福尔马林固定石蜡包埋(FFPE)样本和5个癌性坏死FFPE样本。进行组织微阵列(TMA)以分离坏死和癌性部分。从6对分离的炎症性坏死、5对癌性坏死以及癌性部分中提取总RNA。通过比较炎症性坏死、癌组织和癌性坏死来分析差异表达的miRNA。与炎症性坏死相比,癌性坏死中有17种miRNA上调,并且有两种miRNA(hsa-miR-155-5p和hsa-miR-146b-5p)在癌性坏死细胞中表达较低。分析了在炎症性和癌性坏死之间差异表达的19种miRNA的靶基因表达;这些转录本与癌症表现出明确的关系。炎症性和肿瘤性坏死中差异表达的miRNA与癌症相关通路有关。这些初步结果可能有助于颈部转移性坏死性淋巴结病的鉴别诊断,并避免不必要的切除活检。

https://cdn.ncbi.nlm.nih.gov/pmc/blobs/a415/10525664/8254bda346a6/biomedicines-11-02407-g001.jpg

文献AI研究员

20分钟写一篇综述,助力文献阅读效率提升50倍。

立即体验

用中文搜PubMed

大模型驱动的PubMed中文搜索引擎

马上搜索

文档翻译

学术文献翻译模型,支持多种主流文档格式。

立即体验