Suppr超能文献

溶酶体功能的瞬时抑制增强了核酸疫苗的作用。

Transient inhibition of lysosomal functions potentiates nucleic acid vaccines.

机构信息

Department of Biomedical Engineering, Duke University, Durham, NC 27708.

Duke Human Vaccine Institute, Duke University, Durham, NC 27708.

出版信息

Proc Natl Acad Sci U S A. 2023 Oct 31;120(44):e2306465120. doi: 10.1073/pnas.2306465120. Epub 2023 Oct 23.

Abstract

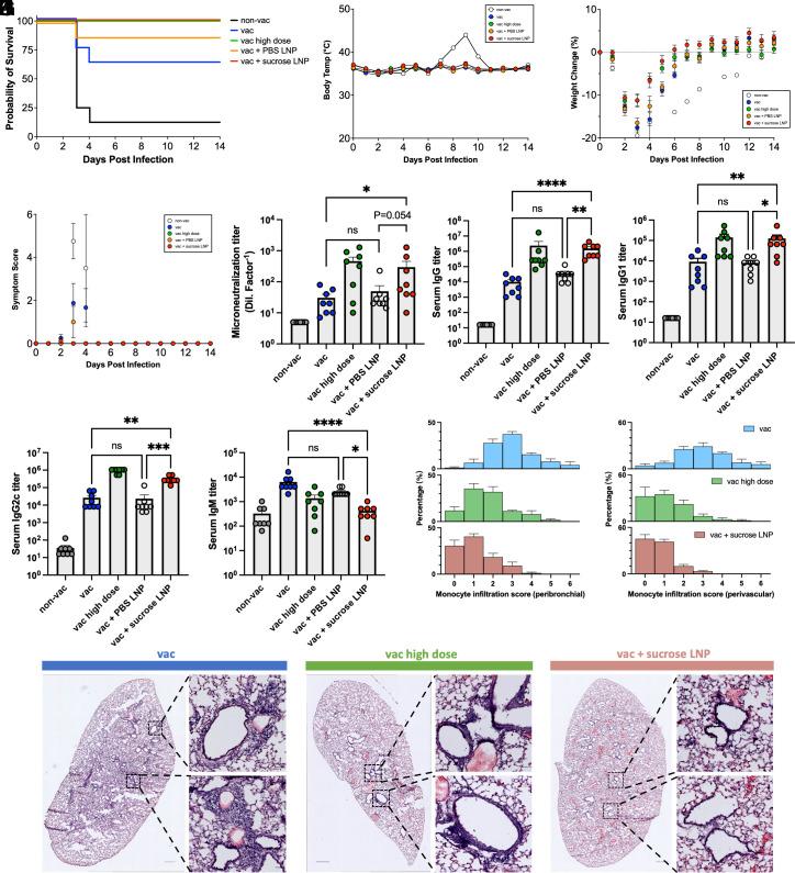
Nucleic acid vaccines have shown promising results in the clinic against infectious diseases and cancers. To robustly improve the vaccine efficacy and safety, we developed an approach to increase the intracellular stability of nucleic acids by transiently inhibiting lysosomal function in targeted tissues using sucrose. To achieve efficient and localized delivery of sucrose in animals, we designed a biomimetic lipid nanoparticle (LNP) to target the delivery of sucrose into mouse muscle cells. Using this approach, viral antigen expression in mouse muscle after DNA vaccination was substantially increased and prolonged without inducing local or systemic inflammation or toxicity. The same change in antigen expression would be achieved if the vaccine dose could be increased by 3,000 folds, which is experimentally and clinically impractical due to material restrictions and severe toxicity that will be induced by such a high dose of nucleic acids. The increase in antigen expression augmented the infiltration and activation of antigen-presenting cells, significantly improved vaccine-elicited humoral and T cell responses, and fully protected mice against the viral challenge at a low dose of vaccine. Based on these observations, we conclude that transient inhibition of lysosome function in target tissue by sucrose LNPs is a safe and potent approach to substantially improve nucleic acid-based vaccines.

摘要

核酸疫苗在临床治疗传染病和癌症方面显示出良好的效果。为了稳健地提高疫苗的疗效和安全性,我们开发了一种方法,通过在靶向组织中短暂抑制溶酶体功能来提高核酸的细胞内稳定性,使用的是蔗糖。为了在动物体内实现蔗糖的高效和局部递送,我们设计了一种仿生脂质纳米颗粒(LNP),将蔗糖靶向递送至小鼠肌肉细胞。使用这种方法,在 DNA 疫苗接种后,小鼠肌肉中的病毒抗原表达显著增加且持续时间延长,而不会引起局部或全身炎症或毒性。如果可以将疫苗剂量增加 3000 倍,则可以实现相同的抗原表达变化,但由于材料限制和如此高剂量的核酸会引起的严重毒性,这在实验和临床实践中是不切实际的。抗原表达的增加增强了抗原呈递细胞的浸润和激活,显著改善了疫苗诱导的体液和 T 细胞反应,并在低剂量疫苗下完全保护小鼠免受病毒攻击。基于这些观察结果,我们得出结论,蔗糖 LNP 瞬时抑制靶组织中的溶酶体功能是一种安全有效的方法,可以显著提高核酸疫苗的效果。

https://cdn.ncbi.nlm.nih.gov/pmc/blobs/ccd3/10622924/eda74960fbb8/pnas.2306465120fig01.jpg

文献AI研究员

20分钟写一篇综述,助力文献阅读效率提升50倍。

立即体验

用中文搜PubMed

大模型驱动的PubMed中文搜索引擎

马上搜索

文档翻译

学术文献翻译模型,支持多种主流文档格式。

立即体验