Suppr超能文献

遗传分离 Brca1 功能揭示突变依赖性 Polθ 易损性。

Genetic separation of Brca1 functions reveal mutation-dependent Polθ vulnerabilities.

机构信息

Nuclear Dynamics Program, Fox Chase Cancer Center, Philadelphia, PA, 19111, USA.

Division of Oncology, Department of Medicine, Washington University School of Medicine, St. Louis, MO, 63110, USA.

出版信息

Nat Commun. 2023 Nov 24;14(1):7714. doi: 10.1038/s41467-023-43446-1.

Abstract

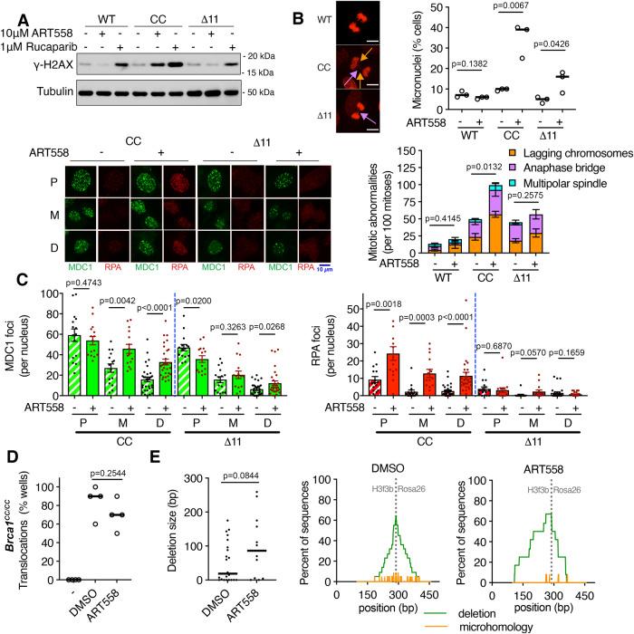
Homologous recombination (HR)-deficiency induces a dependency on DNA polymerase theta (Polθ/Polq)-mediated end joining, and Polθ inhibitors (Polθi) are in development for cancer therapy. BRCA1 and BRCA2 deficient cells are thought to be synthetic lethal with Polθ, but whether distinct HR gene mutations give rise to equivalent Polθ-dependence, and the events that drive lethality, are unclear. In this study, we utilized mouse models with separate Brca1 functional defects to mechanistically define Brca1-Polθ synthetic lethality. Surprisingly, homozygous Brca1 mutant, Polq cells were viable, but grew slowly and had chromosomal instability. Brca1 mutant cells proficient in DNA end resection were significantly more dependent on Polθ for viability; here, treatment with Polθi elevated RPA foci, which persisted through mitosis. In an isogenic system, BRCA1 null cells were defective, but PALB2 and BRCA2 mutant cells exhibited active resection, and consequently stronger sensitivity to Polθi. Thus, DNA end resection is a critical determinant of Polθi sensitivity in HR-deficient cells, and should be considered when selecting patients for clinical studies.

摘要

同源重组(HR)缺陷会导致对 DNA 聚合酶θ(Polθ/Polq)介导的末端连接的依赖性,并且正在开发 Polθ 抑制剂(Polθi)用于癌症治疗。BRCA1 和 BRCA2 缺陷细胞被认为与 Polθ 具有合成致死性,但不同的 HR 基因突变是否会导致等效的 Polθ 依赖性,以及导致致死的事件尚不清楚。在这项研究中,我们利用具有单独 Brca1 功能缺陷的小鼠模型,从机制上定义了 Brca1-Polθ 的合成致死性。令人惊讶的是,纯合 Brca1 突变体、Polq 细胞是存活的,但生长缓慢且具有染色体不稳定性。在 DNA 末端切除功能良好的 Brca1 突变细胞中,对 Polθ 的生存依赖性显著增加;在这里,Polθi 的处理会增加 RPA 焦点,这些焦点会持续到有丝分裂。在同基因系统中,BRCA1 缺失细胞有缺陷,但 PALB2 和 BRCA2 突变细胞表现出活跃的切除,因此对 Polθi 更敏感。因此,DNA 末端切除是 HR 缺陷细胞中对 Polθi 敏感性的关键决定因素,在为临床研究选择患者时应予以考虑。

https://cdn.ncbi.nlm.nih.gov/pmc/blobs/baa8/10673838/03967650c116/41467_2023_43446_Fig1_HTML.jpg

文献AI研究员

20分钟写一篇综述,助力文献阅读效率提升50倍。

立即体验

用中文搜PubMed

大模型驱动的PubMed中文搜索引擎

马上搜索

文档翻译

学术文献翻译模型,支持多种主流文档格式。

立即体验