Suppr超能文献

用于引导骨再生的新型多糖膜的研发:体外和体内评估

Development of Novel Polysaccharide Membranes for Guided Bone Regeneration: In Vitro and In Vivo Evaluations.

作者信息

Ahmed Omar Naïma, Roque Jéssica, Galvez Paul, Siadous Robin, Chassande Olivier, Catros Sylvain, Amédée Joëlle, Roques Samantha, Durand Marlène, Bergeaut Céline, Bidault Laurent, Aprile Paola, Letourneur Didier, Fricain Jean-Christophe, Fenelon Mathilde

机构信息

Laboratory for Tissue Bioengineering, University of Bordeaux, INSERM 1026, F-33076 Bordeaux, France.

Department of Oral Surgery, University Hospital of Bordeaux, F-33076 Bordeaux, France.

出版信息

Bioengineering (Basel). 2023 Oct 28;10(11):1257. doi: 10.3390/bioengineering10111257.

Abstract

INTRODUCTION

Guided bone regeneration (GBR) procedures require selecting suitable membranes for oral surgery. Pullulan and/or dextran-based polysaccharide materials have shown encouraging results in bone regeneration as bone substitutes but have not been used to produce barrier membranes. The present study aimed to develop and characterize pullulan/dextran-derived membranes for GBR.

MATERIALS AND METHODS

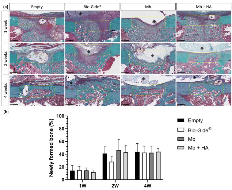
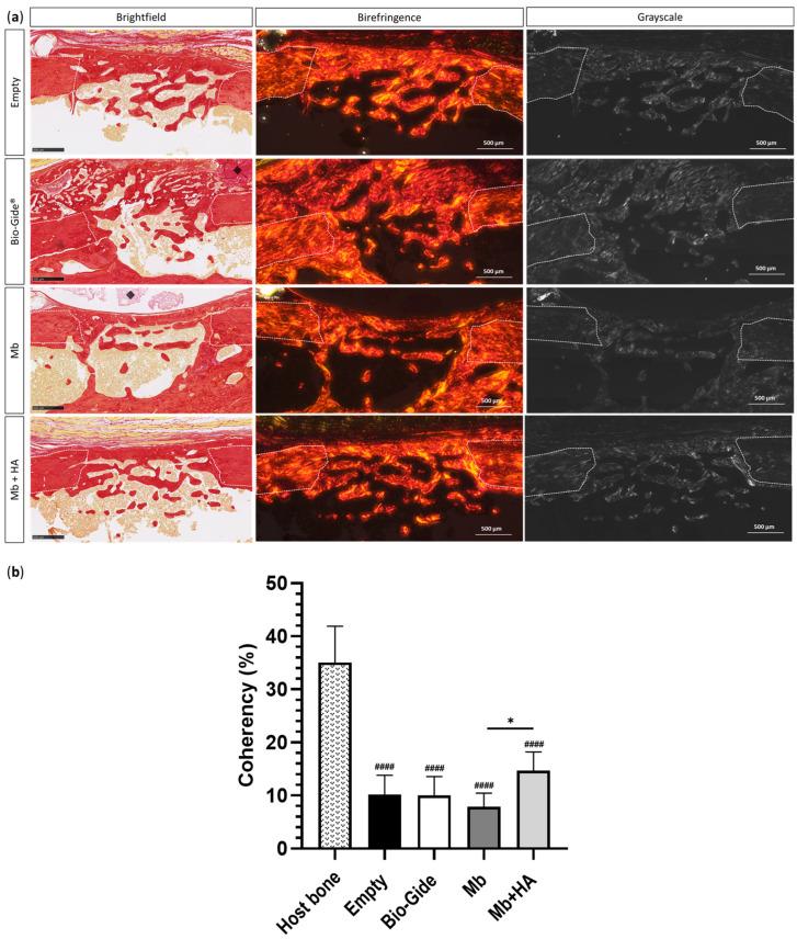
Two pullulan/dextran-based membranes, containing or not hydroxyapatite (HA) particles, were developed. In vitro, cytotoxicity evaluation was performed using human bone marrow mesenchymal stem cells (hBMSCs). Biocompatibility was assessed on rats in a subcutaneous model for up to 16 weeks. In vivo, rat femoral defects were created on 36 rats to compare the two pullulan/dextran-based membranes with a commercial collagen membrane (Bio-Gide). Bone repair was assessed radiologically and histologically.

RESULTS

Both polysaccharide membranes demonstrated cytocompatibility and biocompatibility. Micro-computed tomography (micro-CT) analyses at two weeks revealed that the HA-containing membrane promoted a significant increase in bone formation compared to Bio-Gide. At one month, similar effects were observed among the three membranes in terms of bone regeneration.

CONCLUSION

The developed pullulan/dextran-based membranes evidenced biocompatibility without interfering with bone regeneration and maturation. The HA-containing membrane, which facilitated early bone regeneration and offered adequate mechanical support, showed promising potential for GBR procedures.

摘要

引言

引导骨再生(GBR)手术需要为口腔外科选择合适的膜。基于普鲁兰多糖和/或葡聚糖的多糖材料作为骨替代物在骨再生方面已显示出令人鼓舞的结果,但尚未用于生产屏障膜。本研究旨在开发并表征用于GBR的普鲁兰多糖/葡聚糖衍生膜。

材料与方法

制备了两种基于普鲁兰多糖/葡聚糖的膜,一种含有羟基磷灰石(HA)颗粒,另一种不含。在体外,使用人骨髓间充质干细胞(hBMSCs)进行细胞毒性评估。在大鼠皮下模型中评估长达16周的生物相容性。在体内,对36只大鼠制造股骨缺损,以将两种基于普鲁兰多糖/葡聚糖的膜与商业胶原膜(Bio-Gide)进行比较。通过放射学和组织学评估骨修复情况。

结果

两种多糖膜均表现出细胞相容性和生物相容性。两周时的微计算机断层扫描(micro-CT)分析显示,与Bio-Gide相比,含HA的膜促进了骨形成的显著增加。在一个月时,就骨再生而言,三种膜之间观察到类似的效果。

结论

所开发的基于普鲁兰多糖/葡聚糖的膜证明具有生物相容性,且不干扰骨再生和成熟。含HA的膜促进了早期骨再生并提供了足够的机械支持,在GBR手术中显示出有前景的潜力。

https://cdn.ncbi.nlm.nih.gov/pmc/blobs/596d/10669683/f00221cb4fed/bioengineering-10-01257-g001.jpg

文献AI研究员

20分钟写一篇综述,助力文献阅读效率提升50倍。

立即体验

用中文搜PubMed

大模型驱动的PubMed中文搜索引擎

马上搜索

文档翻译

学术文献翻译模型,支持多种主流文档格式。

立即体验