Suppr超能文献

口腔鳞状细胞癌进展中 PD-L1 的动态上调。

Dynamic Up-Regulation of PD-L1 in the Progression of Oral Squamous Cell Carcinoma.

机构信息

Department of Oral and Cranio-Maxillofacial Surgery, Heidelberg University Hospital, 69120 Heidelberg, Germany.

Institute of Pathology, Heidelberg University Hospital, 69120 Heidelberg, Germany.

出版信息

Int J Mol Sci. 2023 Nov 16;24(22):16386. doi: 10.3390/ijms242216386.

Abstract

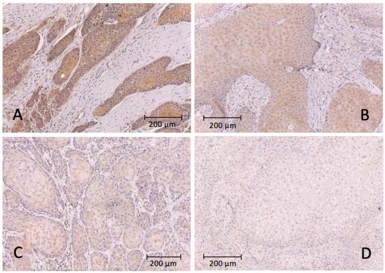
The introduction of immune checkpoint inhibition for recurrent and metastatic head and neck cancer has brought a new treatment option for patients suffering from advanced oral cancers without a chance for curation using surgery or radiotherapy. The application of immune checkpoint inhibitors in most cases is based on the expression levels of PD-L1 in the tumor tissue. To date, there is a lack of data on the dynamic regulation of PD-L1 during disease progression. Therefore, this study aimed to evaluate the expression levels of PD-L1 in a large cohort of patients (n = 222) with oral squamous cell carcinoma including primary and recurrent tumors. Semiautomatic digital pathology scoring was used for the assessment of PD-L1 expression levels in primary and recurrent oral squamous cell carcinoma. Survival analysis was performed to evaluate the prognostic significance of the protein expression at different stages of the disease. We found a significant up-regulation of PD-L1 expression from primary disease to recurrent tumors (mean PD-L1 H-scores: primary tumors: 47.1 ± 31.4; recurrent tumors: 103.5 ± 62.8, < 0.001). In several cases, a shift from low PD-L1 expression in primary tumors to high PD-L1 expression in recurrent tumors was identified. Multivariate Cox regression analysis did not reveal a significantly higher risk of death ( = 0.078) or recurrence ( = 0.926) in patients with higher PD-L1 expression. Our findings indicate that the exclusive analysis of primary tumor tissue prior to the application of checkpoint blockade may lead to the misjudgment of PD-L1 expression in recurrent tumors.

摘要

免疫检查点抑制在复发性和转移性头颈部癌症中的应用为无法通过手术或放疗治愈的晚期口腔癌患者提供了新的治疗选择。免疫检查点抑制剂的应用大多数情况下基于肿瘤组织中 PD-L1 的表达水平。迄今为止,关于 PD-L1 在疾病进展过程中的动态调节尚无数据。因此,本研究旨在评估包括原发性和复发性肿瘤在内的 222 例口腔鳞状细胞癌患者(n = 222)中 PD-L1 的表达水平。采用半自动数字病理学评分评估原发性和复发性口腔鳞状细胞癌中 PD-L1 的表达水平。进行生存分析以评估该蛋白在疾病不同阶段的表达的预后意义。我们发现 PD-L1 表达从原发性疾病到复发性肿瘤显著上调(平均 PD-L1 H 评分:原发性肿瘤:47.1 ± 31.4;复发性肿瘤:103.5 ± 62.8,<0.001)。在一些病例中,从原发性肿瘤中低 PD-L1 表达到复发性肿瘤中高 PD-L1 表达的转变。多变量 Cox 回归分析未发现高 PD-L1 表达患者的死亡风险(=0.078)或复发风险(=0.926)显著增加。我们的研究结果表明,在应用检查点阻断之前仅对原发性肿瘤组织进行分析可能导致对复发性肿瘤中 PD-L1 表达的错误判断。

https://cdn.ncbi.nlm.nih.gov/pmc/blobs/506f/10671831/69acabd2039b/ijms-24-16386-g001.jpg

文献AI研究员

20分钟写一篇综述,助力文献阅读效率提升50倍。

立即体验

用中文搜PubMed

大模型驱动的PubMed中文搜索引擎

马上搜索

文档翻译

学术文献翻译模型,支持多种主流文档格式。

立即体验