Suppr超能文献

富含亮氨酸α-2 糖蛋白 1 在复杂动脉粥样硬化中蓄积并促进钙化。

Leucine-Rich Alpha-2 Glycoprotein 1 Accumulates in Complicated Atherosclerosis and Promotes Calcification.

机构信息

Institut National de la Santé et de la Recherche Médicale (INSERM), U1297, Institute of Cardiovascular and Metabolic Disease, 31432 Toulouse, France.

Department of Biology, Université Toulouse III Paul-Sabatier, 31062 Toulouse, France.

出版信息

Int J Mol Sci. 2023 Nov 20;24(22):16537. doi: 10.3390/ijms242216537.

Abstract

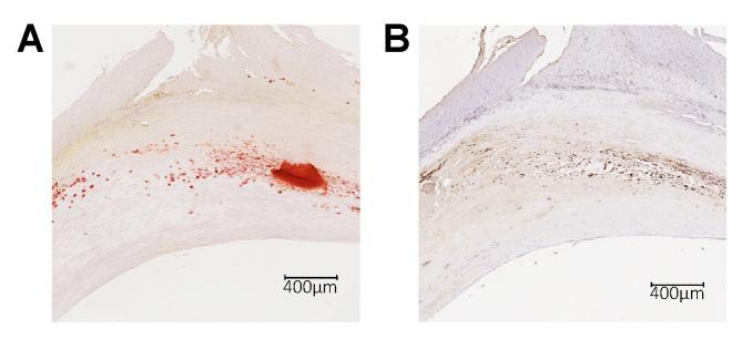
Atherosclerosis is the primary cause of cardiovascular disease. The development of plaque complications, such as calcification and neo-angiogenesis, strongly impacts plaque stability and is a good predictor of mortality in patients with atherosclerosis. Despite well-known risk factors of plaque complications, such as diabetes mellitus and chronic kidney disease, the mechanisms involved are not fully understood. We and others have identified that the concentration of circulating leucine-rich α-2 glycoprotein 1 (LRG1) was increased in diabetic and chronic kidney disease patients. Using apolipoprotein E knockout mice (ApoE-/-) (fed with Western diet) that developed advanced atherosclerosis and using human carotid endarterectomy, we showed that LRG1 accumulated into an atherosclerotic plaque, preferentially in calcified areas. We then investigated the possible origin of LRG1 and its functions on vascular cells and found that LRG1 expression was specifically enhanced in endothelial cells via inflammatory mediators and not in vascular smooth muscle cells (VSMC). Moreover, we identified that LRG1 was able to induce calcification and SMAD1/5-signaling pathways in VSMC. In conclusion, our results identified for the first time that LRG1 is a direct contributor to vascular calcification and suggest a role of this molecule in the development of plaque complications in patients with atherosclerosis.

摘要

动脉粥样硬化是心血管疾病的主要病因。斑块并发症的发展,如钙化和新生血管形成,强烈影响斑块的稳定性,是动脉粥样硬化患者死亡率的良好预测指标。尽管众所周知的斑块并发症风险因素,如糖尿病和慢性肾脏病,但涉及的机制尚未完全了解。我们和其他人已经发现,循环亮氨酸丰富的α-2 糖蛋白 1(LRG1)的浓度在糖尿病和慢性肾脏病患者中增加。我们使用载脂蛋白 E 基因敲除小鼠(ApoE-/-)(用西方饮食喂养),这些小鼠发展出了晚期动脉粥样硬化,并使用人颈动脉内膜切除术,表明 LRG1 积累到动脉粥样硬化斑块中,优先在钙化区域积累。然后,我们研究了 LRG1 的可能来源及其对血管细胞的功能,发现 LRG1 通过炎症介质特异性增强内皮细胞的表达,而不是血管平滑肌细胞(VSMC)。此外,我们发现 LRG1 能够诱导 VSMC 中的钙化和 SMAD1/5 信号通路。总之,我们的研究结果首次确定 LRG1 是血管钙化的直接贡献者,并提示该分子在动脉粥样硬化患者斑块并发症发展中的作用。

https://cdn.ncbi.nlm.nih.gov/pmc/blobs/e3c5/10671851/20c40ad7de12/ijms-24-16537-g001.jpg

文献AI研究员

20分钟写一篇综述,助力文献阅读效率提升50倍。

立即体验

用中文搜PubMed

大模型驱动的PubMed中文搜索引擎

马上搜索

文档翻译

学术文献翻译模型,支持多种主流文档格式。

立即体验