Suppr超能文献

长链非编码 RNA-PTCHD4-AS 通过 MSH2-MSH6 二聚体和 ATM-p53-p21 激活抑制胃癌。

Lnc-PTCHD4-AS inhibits gastric cancer through MSH2-MSH6 dimerization and ATM-p53-p21 activation.

机构信息

Henan Key Laboratory for Helicobacter pylori and Microbiota and GI Cancer, Marshall Medical Research Center, Fifth Affiliated Hospital of Zhengzhou University, Zhengzhou 450000, China.

Academy of Medical Science, Zhengzhou University, Zhengzhou 450000, China.

出版信息

Aging (Albany NY). 2023 Nov 27;15(22):13558-13578. doi: 10.18632/aging.205329.

Abstract

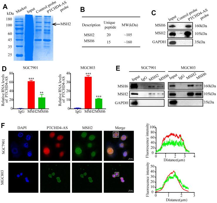
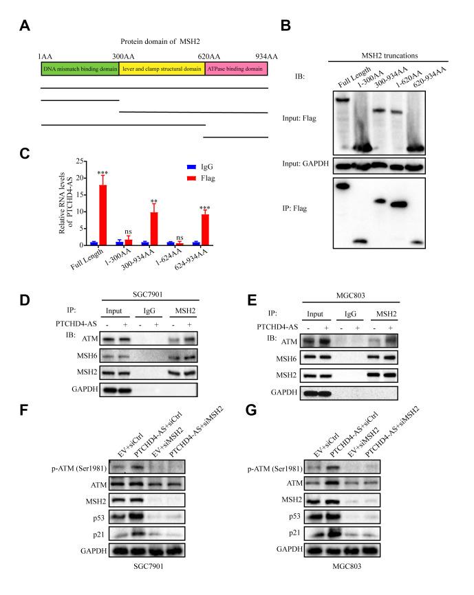
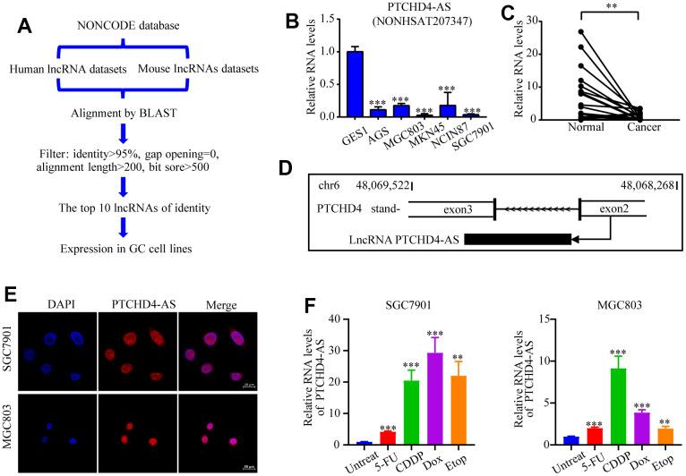
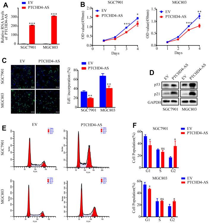
Conserved long non-coding RNAs (lncRNAs) have not thoroughly been studied in many cancers, including gastric cancer (GC). We have identified a novel lncRNA PTCHD4-AS which was highly conserved between humans and mice and naturally downregulated in GC cell lines and tissues. Notably, PTCHD4-AS was found to be transcriptionally induced by DNA damage agents and its upregulation led to cell cycle arrest at the G2/M phase, in parallel, it facilitated the cell apoptosis induced by cisplatin (CDDP) in GC. Mechanistically, PTCHD4-AS directly bound to the DNA mismatch repair protein MSH2-MSH6 dimer, and facilitated the binding of dimer to ATM, thereby promoting the expression of phosphorylated ATM, p53 and p21. Here we conclude that the upregulation of PTCHD4-AS inhibits proliferation and increases CDDP sensitivity of GC cells via binding with MSH2-MSH6 dimer, activating the ATM-p53-p21 pathway.

摘要

在许多癌症中,包括胃癌(GC),长链非编码 RNA(lncRNA)的保守性尚未得到彻底研究。我们已经鉴定出一种新型 lncRNA PTCHD4-AS,它在人类和小鼠之间高度保守,并且在 GC 细胞系和组织中自然下调。值得注意的是,PTCHD4-AS 被发现可被 DNA 损伤剂转录诱导,其上调导致细胞周期在 G2/M 期停滞,同时促进 GC 中顺铂(CDDP)诱导的细胞凋亡。从机制上讲,PTCHD4-AS 直接与 DNA 错配修复蛋白 MSH2-MSH6 二聚体结合,并促进二聚体与 ATM 的结合,从而促进磷酸化 ATM、p53 和 p21 的表达。在这里,我们得出结论,PTCHD4-AS 的上调通过与 MSH2-MSH6 二聚体结合,激活 ATM-p53-p21 通路,抑制 GC 细胞的增殖并增加 CDDP 敏感性。

https://cdn.ncbi.nlm.nih.gov/pmc/blobs/aace/10713396/2ac90c6c9877/aging-15-205329-g001.jpg

文献AI研究员

20分钟写一篇综述,助力文献阅读效率提升50倍。

立即体验

用中文搜PubMed

大模型驱动的PubMed中文搜索引擎

马上搜索

文档翻译

学术文献翻译模型,支持多种主流文档格式。

立即体验