Suppr超能文献

在帕金森病模型中,胰岛素样生长因子2可预防多巴胺能神经元丢失,并减少细胞内α-突触核蛋白的积累。

IGF2 prevents dopaminergic neuronal loss and decreases intracellular alpha-synuclein accumulation in Parkinson's disease models.

作者信息

Arcos Javiera, Grunenwald Felipe, Sepulveda Denisse, Jerez Carolina, Urbina Valentina, Huerta Tomas, Troncoso-Escudero Paulina, Tirado Daniel, Perez Angela, Diaz-Espinoza Rodrigo, Nova Esteban, Kubitscheck Ulrich, Rodriguez-Gatica Juan Eduardo, Hetz Claudio, Toledo Jorge, Ahumada Pablo, Rojas-Rivera Diego, Martín-Montañez Elisa, Garcia-Fernandez María, Vidal René L

机构信息

Center for Integrative Biology, Universidad Mayor, Santiago, Chile.

Biomedical Neuroscience Institute, University of Chile, Santiago, Chile.

出版信息

Cell Death Discov. 2023 Dec 2;9(1):438. doi: 10.1038/s41420-023-01734-1.

Abstract

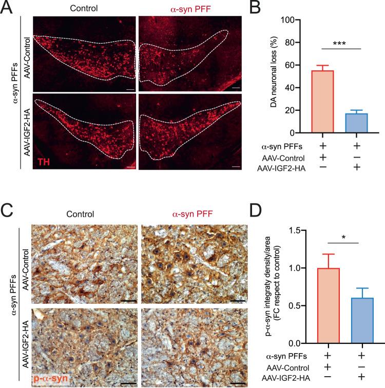
Parkinson's disease (PD) is the second most common late-onset neurodegenerative disease and the predominant cause of movement problems. PD is characterized by motor control impairment by extensive loss of dopaminergic neurons in the substantia nigra pars compacta (SNpc). This selective dopaminergic neuronal loss is in part triggered by intracellular protein inclusions called Lewy bodies, which are composed mainly of misfolded alpha-synuclein (α-syn) protein. We previously reported insulin-like growth factor 2 (IGF2) as a key protein downregulated in PD patients. Here we demonstrated that IGF2 treatment or IGF2 overexpression reduced the α-syn aggregates and their toxicity by IGF2 receptor (IGF2R) activation in cellular PD models. Also, we observed IGF2 and its interaction with IGF2R enhance the α-syn secretion. To determine the possible IGF2 neuroprotective effect in vivo we used a gene therapy approach in an idiopathic PD model based on α-syn preformed fibrils intracerebral injection. IGF2 gene therapy revealed a significantly preventing of motor impairment in idiopathic PD model. Moreover, IGF2 expression prevents dopaminergic neuronal loss in the SN together with a decrease in α-syn accumulation (phospho-α-syn levels) in the striatum and SN brain region. Furthermore, the IGF2 neuroprotective effect was associated with the prevention of synaptic spines loss in dopaminergic neurons in vivo. The possible mechanism of IGF2 in cell survival effect could be associated with the decrease of the intracellular accumulation of α-syn and the improvement of dopaminergic synaptic function. Our results identify to IGF2 as a relevant factor for the prevention of α-syn toxicity in both in vitro and preclinical PD models.

摘要

帕金森病(PD)是第二常见的晚发性神经退行性疾病,也是导致运动问题的主要原因。PD的特征是黑质致密部(SNpc)中多巴胺能神经元大量丧失,从而导致运动控制受损。这种选择性多巴胺能神经元丧失部分是由称为路易小体的细胞内蛋白质内含物引发的,路易小体主要由错误折叠的α-突触核蛋白(α-syn)组成。我们之前报道胰岛素样生长因子2(IGF2)是PD患者中下调的关键蛋白。在此,我们证明在细胞性PD模型中,IGF2治疗或IGF2过表达通过激活IGF2受体(IGF2R)减少了α-syn聚集体及其毒性。此外,我们观察到IGF2及其与IGF2R的相互作用增强了α-syn的分泌。为了确定IGF2在体内可能的神经保护作用,我们在基于脑内注射α-syn预形成纤维的特发性PD模型中采用了基因治疗方法。IGF2基因治疗显示在特发性PD模型中显著预防了运动障碍。此外,IGF2表达可预防SN中多巴胺能神经元的丧失,同时降低纹状体和SN脑区中α-syn的积累(磷酸化α-syn水平)。此外,IGF2的神经保护作用与体内预防多巴胺能神经元中突触棘的丧失有关。IGF2在细胞存活效应中的可能机制可能与α-syn细胞内积累的减少和多巴胺能突触功能的改善有关。我们的结果确定IGF2是在体外和临床前PD模型中预防α-syn毒性的相关因素。

https://cdn.ncbi.nlm.nih.gov/pmc/blobs/1a8c/10693583/668594339bd5/41420_2023_1734_Fig1_HTML.jpg

文献AI研究员

20分钟写一篇综述,助力文献阅读效率提升50倍。

立即体验

用中文搜PubMed

大模型驱动的PubMed中文搜索引擎

马上搜索

文档翻译

学术文献翻译模型,支持多种主流文档格式。

立即体验