Suppr超能文献

探索植物生物活性化合物防治男性不育症的潜力:一项计算机模拟和体内研究。

Exploring the Potential of Plant Bioactive Compounds against Male Infertility: An In Silico and In Vivo Study.

机构信息

Department of Biochemistry, Government College University Faisalabad, Faisalabad 38000, Pakistan.

School of Health Sciences, Department of Biomedical Laboratory Sciences, University of Management and Technology, Lahore 54782, Pakistan.

出版信息

Molecules. 2023 Nov 21;28(23):7693. doi: 10.3390/molecules28237693.

Abstract

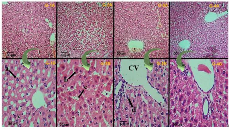
Infertility is a well-recognized multifactorial problem affecting the majority of people who struggle with infertility issues. In recent times, among infertility cases, the male factor has acquired importance, and now it contributes to approximately half of the infertility cases because of different abnormalities. In the current study, we used natural phytochemicals as potential drug-lead compounds to target different receptor proteins that are involved in the onset of male infertility. A set of 210 plant phytochemicals were docked counter to active site residues of sex hormone-binding globulin, a disintegrin and metalloproteinase 17, and DNase I as receptor proteins. On the basis of binding scores and molecular dynamics simulation, the phytochemicals tricin, quercetin, malvidin, rhamnetin, isorhamnetin, gallic acid, kaempferol, esculin, robinetin, and okanin were found to be the potential drug candidates to treat male infertility. Molecular dynamics simulation showed tricin as a strong inhibitor of all selected receptor proteins because the ligand-protein complexes remained stabilized during the entire simulation time of 100 ns. Further, an in vivo study was designed to evaluate the effect of tricin in male rats with nicotine-induced infertility. It was explored that a high dose of tricin significantly reduced the levels of alanine transaminase, aspartate transaminase, urea, creatinine, cholesterol, triglyceride, and low-density lipoprotein and raised the level of high-density lipoprotein in intoxicated male rats. A high dose of tricin also increased the reproductive hormones (i.e., testosterone, luteinizing hormone, follicle-stimulating hormone, and prolactin) and reduced the level of DHEA-SO4. The phytochemical (tricin, 10 mg/kg body weight) also showed significant improvement in the histo-architecture after nicotine intoxication in rats. From the current study, it is concluded that the phytochemical tricin could serve as a potential drug candidate to cure male infertility.

摘要

不育症是一个广为人知的多因素问题,影响着大多数有不育问题的人。最近,在不育病例中,男性因素变得更为重要,现在它约占不育病例的一半,这是由于不同的异常情况导致的。在目前的研究中,我们使用天然植物化学物质作为潜在的药物先导化合物,针对参与男性不育症发病的不同受体蛋白。一组 210 种植物植物化学物质与性激素结合球蛋白、解整合素和金属蛋白酶 17 以及 DNA 酶 I 等受体蛋白的活性位点残基对接。根据结合评分和分子动力学模拟,植物化学物质荞麦素、槲皮素、矢车菊素、鼠李糖苷、异鼠李素、没食子酸、山奈酚、秦皮素、罗宾丁和奥卡宁被发现是治疗男性不育症的潜在药物候选物。分子动力学模拟表明,荞麦素是所有选定受体蛋白的强抑制剂,因为配体-蛋白复合物在整个 100 纳秒的模拟时间内保持稳定。此外,还设计了一项体内研究来评估荞麦素对尼古丁引起不育的雄性大鼠的影响。研究发现,高剂量的荞麦素可显著降低丙氨酸转氨酶、天冬氨酸转氨酶、尿素、肌酐、胆固醇、甘油三酯和低密度脂蛋白的水平,提高中毒雄性大鼠中高密度脂蛋白的水平。高剂量的荞麦素还可增加生殖激素(即睾酮、促黄体生成素、卵泡刺激素和催乳素)并降低 DHEA-SO4 的水平。该植物化学物质(荞麦素,10mg/kg 体重)也显示出在尼古丁中毒后对大鼠的组织形态结构有显著改善。从目前的研究中可以得出结论,植物化学物质荞麦素可能是治疗男性不育症的潜在药物候选物。

https://cdn.ncbi.nlm.nih.gov/pmc/blobs/1db6/10707554/69046beed8a9/molecules-28-07693-g001.jpg

文献AI研究员

20分钟写一篇综述,助力文献阅读效率提升50倍。

立即体验

用中文搜PubMed

大模型驱动的PubMed中文搜索引擎

马上搜索

文档翻译

学术文献翻译模型,支持多种主流文档格式。

立即体验