Suppr超能文献

帕金森病 VPS35[D620N]突变诱导 LRRK2 介导的 RILPL1 和 TMEM55B 溶酶体相关。

Parkinson's VPS35[D620N] mutation induces LRRK2-mediated lysosomal association of RILPL1 and TMEM55B.

机构信息

MRC Protein Phosphorylation and Ubiquitylation Unit, School of Life Sciences, University of Dundee, Dundee DD1 5EH, UK.

Aligning Science Across Parkinson's (ASAP) Collaborative Research Network, Chevy Chase, MD 20815, USA.

出版信息

Sci Adv. 2023 Dec 15;9(50):eadj1205. doi: 10.1126/sciadv.adj1205. Epub 2023 Dec 13.

Abstract

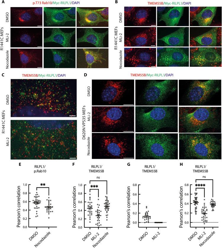
We demonstrate that the Parkinson's VPS35[D620N] mutation alters the expression of ~220 lysosomal proteins and stimulates recruitment and phosphorylation of Rab proteins at the lysosome. This recruits the phospho-Rab effector protein RILPL1 to the lysosome where it binds to the lysosomal integral membrane protein TMEM55B. We identify highly conserved regions of RILPL1 and TMEM55B that interact and design mutations that block binding. In mouse fibroblasts, brain, and lung, we demonstrate that the VPS35[D620N] mutation reduces RILPL1 levels, in a manner reversed by LRRK2 inhibition and proteasome inhibitors. Knockout of RILPL1 enhances phosphorylation of Rab substrates, and knockout of TMEM55B increases RILPL1 levels. The lysosomotropic agent LLOMe also induced LRRK2 kinase-mediated association of RILPL1 to the lysosome, but to a lower extent than the D620N mutation. Our study uncovers a pathway through which dysfunctional lysosomes resulting from the VPS35[D620N] mutation recruit and activate LRRK2 on the lysosomal surface, driving assembly of the RILPL1-TMEM55B complex.

摘要

我们证明,帕金森病的 VPS35[D620N]突变改变了约 220 种溶酶体蛋白的表达,并刺激了溶酶体上 Rab 蛋白的募集和磷酸化。这将磷酸化的 Rab 效应蛋白 RILPL1 招募到溶酶体,在那里它与溶酶体整合膜蛋白 TMEM55B 结合。我们确定了 RILPL1 和 TMEM55B 相互作用的高度保守区域,并设计了阻断结合的突变。在小鼠成纤维细胞、大脑和肺中,我们证明 VPS35[D620N]突变以 LRRK2 抑制和蛋白酶体抑制剂逆转的方式降低了 RILPL1 水平。RILPL1 的敲除增强了 Rab 底物的磷酸化,而 TMEM55B 的敲除增加了 RILPL1 的水平。溶酶体变应原 LLOMe 也诱导了 LRRK2 激酶介导的 RILPL1 与溶酶体的关联,但程度低于 D620N 突变。我们的研究揭示了一条途径,即由于 VPS35[D620N]突变导致的功能失调的溶酶体通过该途径在溶酶体表面募集并激活 LRRK2,从而驱动 RILPL1-TMEM55B 复合物的组装。

https://cdn.ncbi.nlm.nih.gov/pmc/blobs/83fe/10848721/1dfa35441015/sciadv.adj1205-f1.jpg

文献AI研究员

20分钟写一篇综述,助力文献阅读效率提升50倍。

立即体验

用中文搜PubMed

大模型驱动的PubMed中文搜索引擎

马上搜索

文档翻译

学术文献翻译模型,支持多种主流文档格式。

立即体验