Suppr超能文献

累及中枢神经系统的血吸虫病:一例罕见并发症的病例报告

Schistosomiasis Involving the Central Nervous System: Case Report of a Rare Complication.

作者信息

Alanazi Rahaf F, Al Karawi Maryam, Almalki Abdulrahman, Sufiani Fahd, Al Karawi Sarmad

机构信息

College of Medicine, King Saud bin Abdulaziz University for Health Sciences, Riyadh, Saudi Arabia.

King Abdullah International Medical Research Center, Riyadh, Saudi Arabia.

出版信息

Case Rep Surg. 2023 Dec 12;2023:9968155. doi: 10.1155/2023/9968155. eCollection 2023.

Abstract

INTRODUCTION

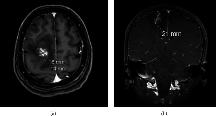
Schistosomiasis is a parasitic infection caused by schistosome invasion of blood circulation. Neuroschistosomiasis is a severe cerebral complication that accounts for less than 2.3% of reported cases. Patients present with progressive encephalitis, seizures, or both. Management includes antiparasitic medications, steroids, and surgical intervention. . We report a case of a 44-year-old female who presented to the ER with a history of transient loss of consciousness (LOC) and seizure. Radiological investigations revealed a right frontal brain lesion. Histopathological results confirmed the diagnosis of schistosomiasis.

CONCLUSION

Schistosomiasis is a parasitic infection commonly diagnosed in patients who live in tropical areas. Early diagnosis with radiological and histopathological evaluation is required to identify patients at risk of developing severe neurological complications.

摘要

引言

血吸虫病是由血吸虫侵入血液循环引起的寄生虫感染。神经血吸虫病是一种严重的脑部并发症,在报告病例中占比不到2.3%。患者表现为进行性脑炎、癫痫发作或两者皆有。治疗包括抗寄生虫药物、类固醇和手术干预。我们报告一例44岁女性病例,该患者因短暂意识丧失(LOC)和癫痫发作史就诊于急诊室。影像学检查发现右侧额叶脑部病变。组织病理学结果确诊为血吸虫病。

结论

血吸虫病是一种在热带地区生活的患者中常见的寄生虫感染。需要通过影像学和组织病理学评估进行早期诊断,以识别有发生严重神经并发症风险的患者。

https://cdn.ncbi.nlm.nih.gov/pmc/blobs/a970/10730249/2a8dd9e47f4d/CRIS2023-9968155.001.jpg

文献AI研究员

20分钟写一篇综述,助力文献阅读效率提升50倍。

立即体验

用中文搜PubMed

大模型驱动的PubMed中文搜索引擎

马上搜索

文档翻译

学术文献翻译模型,支持多种主流文档格式。

立即体验