Suppr超能文献

致命污染物:1例路邓葡萄球菌心内膜炎病例

The Deadly Contaminant: A Case of Staphylococcus lugdunensis Endocarditis.

作者信息

Ibrahim Sammudeen, Allihien Saint-Martin, Akpan Inemesit, Akinboboye Olawole, Seffah Kofi D

机构信息

Graduate Medical Education, Piedmont Athens Regional Medical Center, Athens, USA.

Internal Medicine, Piedmont Athens Regional Medical Center, Athens, USA.

出版信息

Cureus. 2023 Nov 30;15(11):e49748. doi: 10.7759/cureus.49748. eCollection 2023 Nov.

Abstract

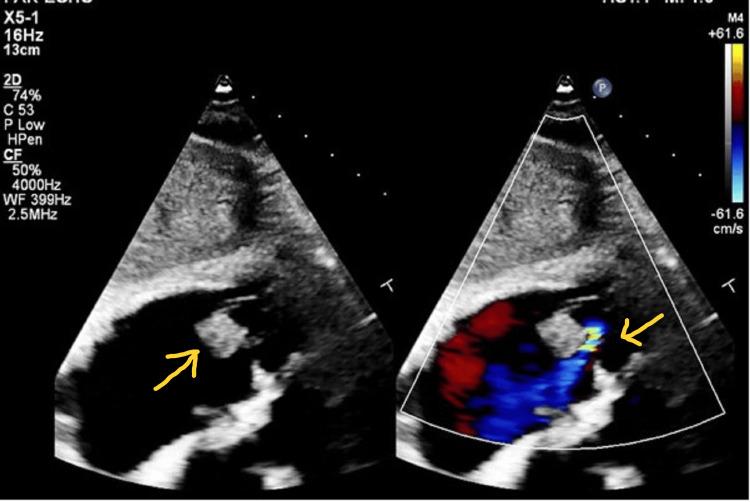
The incidence of infective endocarditis (IE) has been on the rise since it was first reported a century ago, and the associated mortality remains unchanged despite advances in medical and surgical management. To diagnose IE, the modified Duke criteria are used, which rely on isolating the causative organism. However, this can be challenging if the micro-organism is considered a contaminant. Staphylococcus lugdunensis (SL) is one such organism. In this case, an elderly female presented with intermittent chest pain, palpitation, and diaphoresis, for which she underwent left heart catheterization. Her hospital course was complicated by persistent fever and night sweats, leading to blood cultures isolating methicillin sensitivity. It was initially reported as a contaminant. However, an extensive workup was unremarkable, and a transthoracic echocardiogram was done, which revealed tricuspid vegetations with moderate regurgitation. The patient was treated with cefazolin, repeat cardiac imaging at the end of treatment revealed no vegetation, and the patient remained asymptomatic. Despite being associated with fulminant IE with higher mortality than Staphylococcus aureus (S. aureus), which requires surgical management in most cases, SL is still often reported as a contaminant. Isolation of SL should warrant further investigation beyond mere contaminants, and prompt treatment should be initiated in the appropriate clinical scenario to avoid poor outcomes.

摘要

自一个世纪前首次报道以来,感染性心内膜炎(IE)的发病率一直在上升,尽管在医学和外科治疗方面取得了进展,但其相关死亡率仍未改变。为了诊断IE,采用了改良的杜克标准,该标准依赖于分离致病微生物。然而,如果微生物被认为是污染物,这可能具有挑战性。路邓葡萄球菌(SL)就是这样一种微生物。在这个病例中,一位老年女性出现间歇性胸痛、心悸和多汗,为此她接受了左心导管检查。她的住院过程因持续发热和盗汗而复杂化,导致血培养分离出对甲氧西林敏感的菌株。最初它被报告为污染物。然而,全面检查未发现异常,并进行了经胸超声心动图检查,结果显示三尖瓣有赘生物并伴有中度反流。患者接受了头孢唑林治疗,治疗结束时重复心脏成像显示没有赘生物,患者仍无症状。尽管SL与暴发性IE相关,其死亡率高于金黄色葡萄球菌(S. aureus),在大多数情况下需要手术治疗,但SL仍经常被报告为污染物。分离出SL应保证除了单纯作为污染物之外进行进一步调查,并且在适当的临床情况下应立即开始治疗,以避免不良后果。

https://cdn.ncbi.nlm.nih.gov/pmc/blobs/d091/10757652/6b6c4b30b928/cureus-0015-00000049748-i01.jpg

文献AI研究员

20分钟写一篇综述,助力文献阅读效率提升50倍。

立即体验

用中文搜PubMed

大模型驱动的PubMed中文搜索引擎

马上搜索

文档翻译

学术文献翻译模型,支持多种主流文档格式。

立即体验