Suppr超能文献

ERK1/2 信号失活介导实验性硬脑膜下血肿中基底脑膜淋巴管功能障碍。

Inactivation of ERK1/2 signaling mediates dysfunction of basal meningeal lymphatic vessels in experimental subdural hematoma.

机构信息

Department of Neurosurgery, Tianjin Medical University General Hospital, Tianjin 300052, China.

Tianjin Neurological Institute, Key Laboratory of Post Neuro-injury Neuro-repair and Regeneration in Central Nervous System, Ministry of Education and Tianjin, Tianjin 300052, China.

出版信息

Theranostics. 2024 Jan 1;14(1):304-323. doi: 10.7150/thno.87633. eCollection 2024.

Abstract

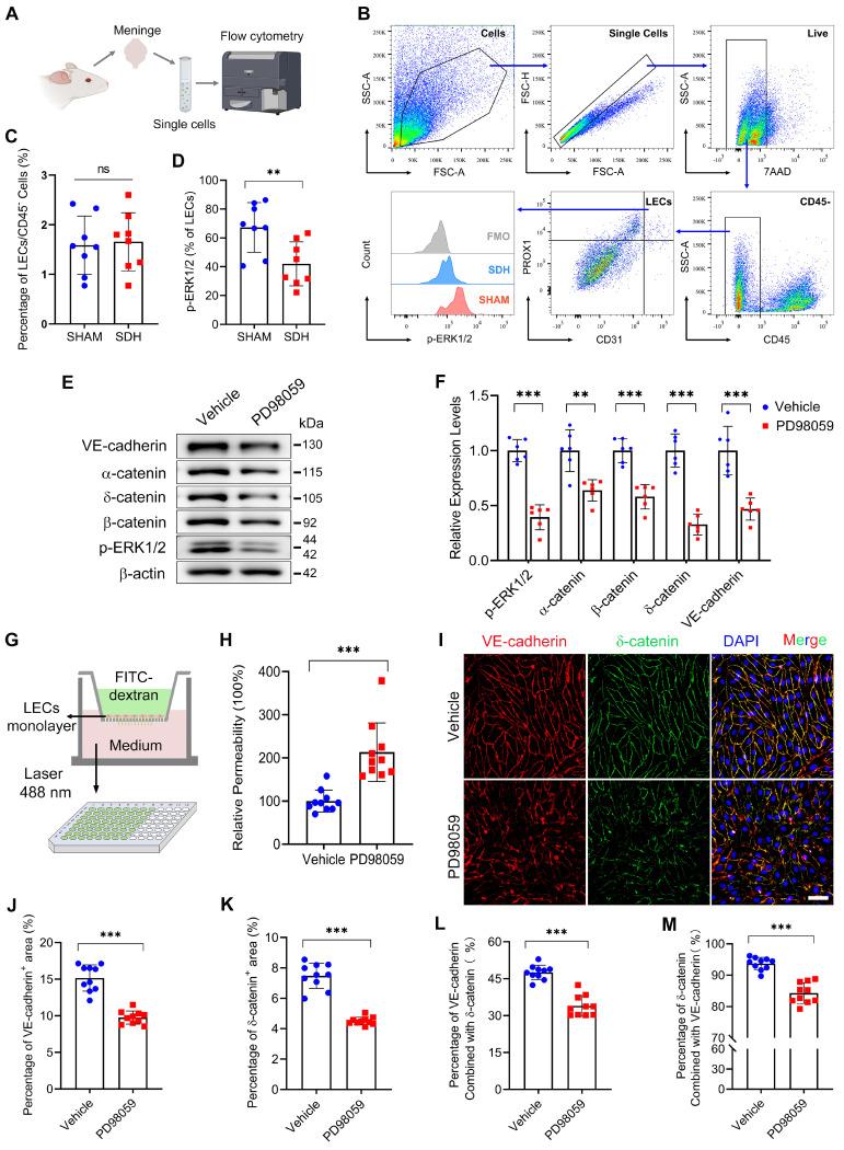
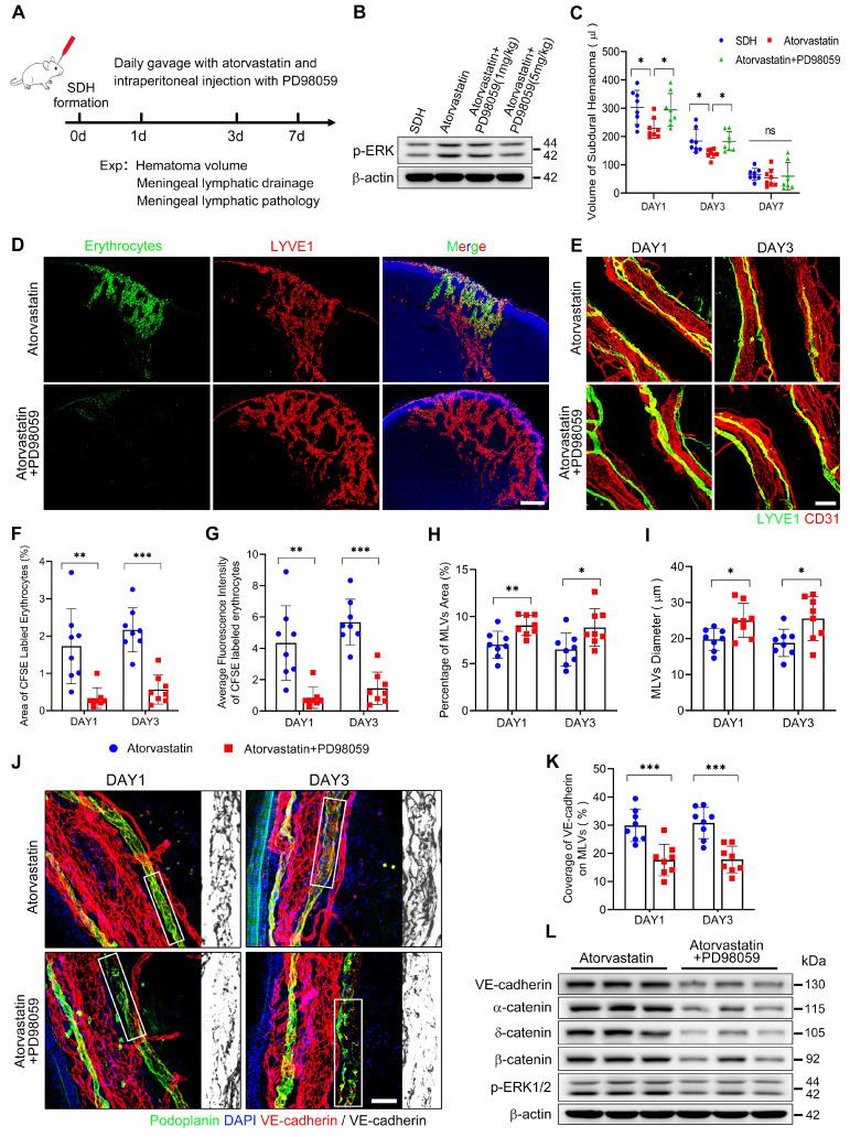
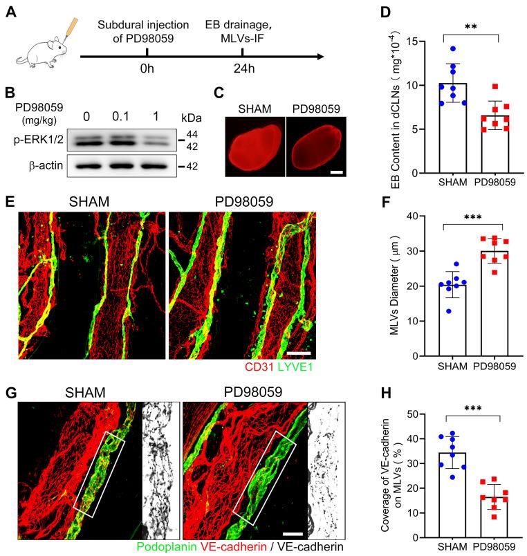
: Meningeal lymphatic vessels (MLVs) are essential for the clearance of subdural hematoma (SDH). However, SDH impairs their drainage function, and the pathogenesis remains unclear. Herein, we aimed to understand the pathological mechanisms of MLV dysfunction following SDH and to test whether atorvastatin, an effective drug for SDH clearance, improves meningeal lymphatic drainage (MLD). : We induced SDH models in rats by injecting autologous blood into the subdural space and evaluated MLD using Gadopentetate D, Evans blue, and CFSE-labeled erythrocytes. Whole-mount immunofluorescence and transmission electron microscopy were utilized to detect the morphology of MLVs. Phosphoproteomics, western blot, flow cytometry, and experiments were performed to investigate the molecular mechanisms underlying dysfunctional MLVs. : The basal MLVs were detected to have abundant valves and play an important role in draining subdural substances. Following SDH, these basal MLVs exhibited disrupted endothelial junctions and dilated lumen, leading to impaired MLD. Subsequent proteomics analysis of the meninges detected numerous dephosphorylated proteins, primarily enriched in the adherens junction, including significant dephosphorylation of ERK1/2 within the meningeal lymphatic endothelial cells (LECs). Subdural injection of the ERK1/2 kinase inhibitor PD98059 resulted in dilated basal MLVs and impaired MLD, resembling the dysfunctional MLVs observed in SDH. Moreover, inhibiting ERK1/2 signaling severely disrupted intercellular junctions between cultured LECs. Finally, atorvastatin was revealed to protect the structure of basal MLVs and accelerate MLD following SDH. However, these beneficial effects of atorvastatin were abolished when combined with PD98059. : Our findings demonstrate that SDH induces ERK1/2 dephosphorylation in meningeal LECs, leading to disrupted basal MLVs and impaired MLD. Additionally, we reveal a beneficial effect of atorvastatin in improving MLD.

摘要

脑脊膜淋巴管(MLV)对于清除硬脑膜下血肿(SDH)至关重要。然而,SDH 会损害其引流功能,其发病机制尚不清楚。在此,我们旨在了解 SDH 后 MLV 功能障碍的病理机制,并测试阿托伐他汀(一种有效清除 SDH 的药物)是否能改善脑膜淋巴引流(MLD)。

我们通过向硬脑膜下腔注射自体血来诱导大鼠 SDH 模型,并使用钆喷酸葡胺、伊文思蓝和 CFSE 标记的红细胞评估 MLD。通过全组织免疫荧光和透射电镜观察 MLV 的形态。利用磷酸化蛋白质组学、western blot、流式细胞术和细胞实验来研究 MLV 功能障碍的分子机制。

检测到基础 MLV 具有丰富的瓣膜,在引流硬脑膜下物质方面发挥重要作用。在 SDH 后,这些基础 MLV 表现出内皮细胞连接中断和管腔扩张,导致 MLD 受损。随后对脑膜进行蛋白质组学分析,发现许多去磷酸化蛋白,主要富集在黏附连接中,包括脑膜淋巴管内皮细胞(LECs)中 ERK1/2 的显著去磷酸化。向硬脑膜下腔注射 ERK1/2 激酶抑制剂 PD98059 导致基础 MLV 扩张和 MLD 受损,类似于在 SDH 中观察到的功能障碍的 MLV。此外,抑制 ERK1/2 信号严重破坏了培养的 LECs 之间的细胞间连接。最后,阿托伐他汀被证明可以保护基础 MLV 的结构并加速 SDH 后的 MLD。然而,当与 PD98059 联合使用时,阿托伐他汀的这些有益作用被消除。

我们的研究结果表明,SDH 导致脑膜 LEC 中 ERK1/2 去磷酸化,导致基础 MLV 破坏和 MLD 受损。此外,我们发现阿托伐他汀在改善 MLD 方面具有有益作用。

https://cdn.ncbi.nlm.nih.gov/pmc/blobs/2051/10750213/9b42005b174a/thnov14p0304g001.jpg

文献AI研究员

20分钟写一篇综述,助力文献阅读效率提升50倍。

立即体验

用中文搜PubMed

大模型驱动的PubMed中文搜索引擎

马上搜索

文档翻译

学术文献翻译模型,支持多种主流文档格式。

立即体验