Suppr超能文献

一种含有双狂犬病病毒 G 表达盒的改良重组腺病毒载体在小鼠、猫和狗中产生强大而持久的体液免疫。

A modified recombinant adenovirus vector containing dual rabies virus G expression cassettes confers robust and long-lasting humoral immunity in mice, cats, and dogs.

机构信息

National Key Laboratory of Agricultural Microbiology, Huazhong Agricultural University, Wuhan, People's Republic of China.

Frontiers Science Center for Animal Breeding and Sustainable Production, Wuhan, People's Republic of China.

出版信息

Emerg Microbes Infect. 2024 Dec;13(1):2300461. doi: 10.1080/22221751.2023.2300461. Epub 2024 Jan 22.

Abstract

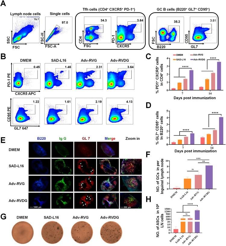
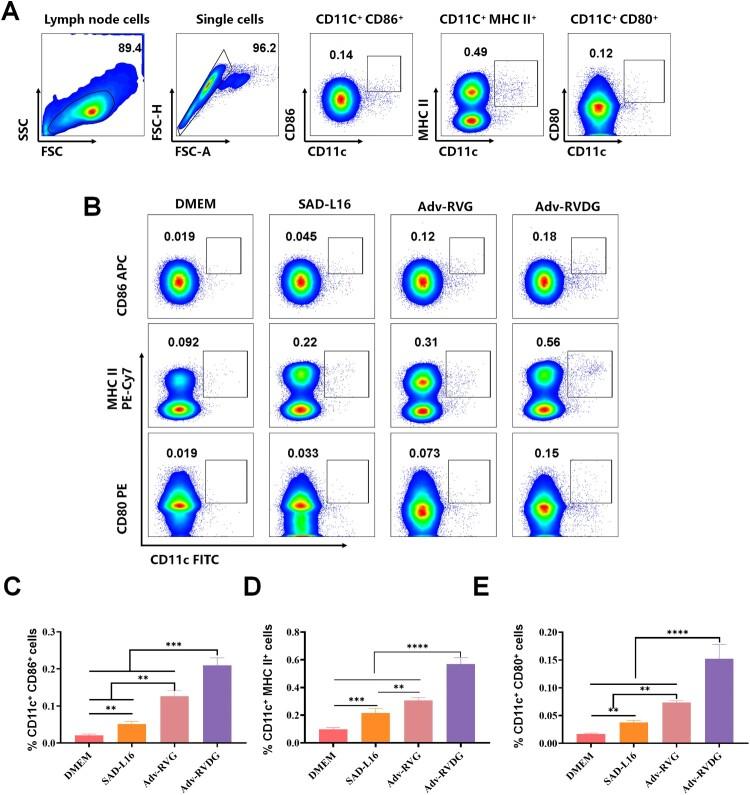
During the COVID-19 epidemic, the incidence of rabies has increased in several countries, especially in remote and disadvantaged areas, due to inadequate surveillance and declining immunization coverage. Multiple vaccinations with inactivated rabies virus vaccines for pre- or post-exposure prophylaxis are considered inefficient, expensive and impractical in developing countries. Herein, three modified human recombinant adenoviruses type 5 designated Adv-RVG, Adv-E1-RVG, and Adv-RVDG, carrying rabies virus G (RVG) expression cassettes in various combinations within or genomic regions, were constructed to serve as rabies vaccine candidates. Adv-RVDG mediated greater RVG expression both and and induced a more robust and durable humoral immune response than the rabies vaccine strain SAD-L16, Adv-RVG, and Adv-E1-RVG by more effectively activating the dendritic cells (DCs) - follicular helper T (Tfh) cells - germinal centre (GC) / memory B cells (MBCs) - long-lived plasma cells (LLPCs) axis with 100% survival after a lethal RABV challenge in mice during the 24-week study period. Similarly, dogs and cats immunized with Adv-RVDG showed stronger and longer-lasting antibody responses than those vaccinated with a commercial inactivated rabies vaccine and showed good tolerance to Adv-RVDG. In conclusion, our study demonstrated that simultaneous insertion of protective antigens into the and genomic regions of adenovirus vector can significantly enhance the immunogenicity of adenoviral-vectored vaccines, providing a theoretical and practical basis for the subsequent development of multivalent and multi-conjugated vaccines using recombinant adenovirus platform. Meanwhile, our data suggest Adv-RVDG is a safe, efficient, and economical vaccine for mass-coverage immunization.

摘要

在 COVID-19 疫情期间,由于监测不足和免疫覆盖率下降,狂犬病的发病率在几个国家,特别是在偏远和贫困地区有所增加。在发展中国家,对暴露前或暴露后进行多次狂犬病病毒灭活疫苗接种被认为是低效、昂贵和不切实际的。在此,构建了三种修饰的人 5 型重组腺病毒(Adv-RVG、Adv-E1-RVG 和 Adv-RVDG),它们在或基因组区域内携带狂犬病病毒 G(RVG)表达盒,用作狂犬病疫苗候选物。Adv-RVDG 在和中介导了更高的 RVG 表达,并通过更有效地激活树突状细胞(DC)-滤泡辅助 T(Tfh)细胞-生发中心(GC)/记忆 B 细胞(MBC)-长寿浆细胞(LLPC)轴,诱导更强大和更持久的体液免疫反应,比狂犬病疫苗株 SAD-L16、Adv-RVG 和 Adv-E1-RVG 更有效,在 24 周的研究期间,在致命 RABV 攻击后,小鼠的存活率为 100%。同样,用 Adv-RVDG 免疫的狗和猫表现出比用商业灭活狂犬病疫苗接种更强和更持久的抗体反应,并且对 Adv-RVDG 具有良好的耐受性。总之,我们的研究表明,将保护性抗原同时插入腺病毒载体的和基因组区域可以显著增强腺病毒载体疫苗的免疫原性,为随后使用重组腺病毒平台开发多价和多缀合疫苗提供了理论和实践基础。同时,我们的数据表明 Adv-RVDG 是一种安全、高效、经济的大规模免疫接种疫苗。

https://cdn.ncbi.nlm.nih.gov/pmc/blobs/4b93/10810672/c4d6290b50e4/TEMI_A_2300461_F0001_OC.jpg

文献AI研究员

20分钟写一篇综述,助力文献阅读效率提升50倍。

立即体验

用中文搜PubMed

大模型驱动的PubMed中文搜索引擎

马上搜索

文档翻译

学术文献翻译模型,支持多种主流文档格式。

立即体验